Trombosis venosa profunda
La trombosis venosa profunda —generalmente abreviada como TVP— consiste en la formación de un coágulo sanguíneo o trombo en una vena profunda.[1] Es una forma de trombosis venosa que usualmente afecta las venas en la parte inferior de la pierna y el muslo, como la vena femoral o la vena poplítea, o las venas profundas de la pelvis. De vez en cuando las venas del brazo se ven afectadas que si es de aparición espontánea, se conoce como enfermedad de Paget-Schrötter. Puede presentarse a cualquier edad, aunque es frecuente en personas mayores de 50 años. Es característico la presencia de este evento en el Síndrome antifosfolípidos (SAFL) o Síndrome de Hughes. A diferencia de las venas superficiales, cercanas a la piel, las venas profundas se encuentran entretejidas en los grupos de músculos.
Trombosis venosa profunda | ||
---|---|---|
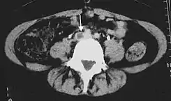
![]() Tomografía computarizada abdominal que muestra trombosis en una vena ilíaca común. La flecha indica el defecto de llenado en la vena que se visualiza usando un radiocontraste. | ||
Especialidad | Danmarks Radio | |
![]() | ||
Un TVP puede ocurrir sin síntomas, pero en muchos casos la extremidad afectada se volverá dolorosa, hinchada, roja, caliente y las venas superficiales puede distenderse repletas de sangre que circula mal. La mayor complicación de una TVP es que podría desalojar el coágulo y viajar a los pulmones, causando una embolia pulmonar. Por lo tanto, la TVP es una emergencia médica, que si está presente en la extremidad inferior hay un 3% de probabilidad de que sea letal para el individuo.[2] Una complicación tardía de la TVP es el síndrome postflebítico, que puede manifestarse como edema, dolor o malestar y trastornos en la piel.
Según la tríada de Virchow, la trombosis venosa se produce a través de tres mecanismos: disminución del flujo sanguíneo, daños a la pared de los vasos sanguíneos y una mayor tendencia de la sangre a que se coagule (hipercoagulabilidad). Varias condiciones médicas pueden conducir a la TVP, como la compresión de las venas, trauma físico, el cáncer, infecciones, enfermedades inflamatorias y algunas condiciones específicas, tales como accidentes cerebrovasculares, insuficiencia cardíaca o el síndrome nefrótico. Hay varios factores que pueden aumentar el riesgo de TVP, incluyendo la cirugía, hospitalización, inmovilización —por ejemplo, cuando se utilizan moldes ortopédicos, o durante los vuelos de largo recorrido, conocida como el síndrome de clase turista—, el tabaquismo, la obesidad, la edad, ciertos medicamentos, como el estrógeno o la eritropoyetina y la tendencia innata a formar coágulos conocida como trombofilia como en el caso de portadores de factor V Leiden.[3] Las mujeres tienen un mayor riesgo durante el embarazo y el período postnatal.
La prueba diagnóstica más utilizada para el diagnóstico de la TVP incluye un examen de sangre llamada Dímero-D y el ultrasonido doppler de las venas afectadas. A veces, se requiere la realización de otros exámenes para encontrar la causa de la TVP. En determinados casos, puede indicarse un intento para romper el coágulo con agentes trombolíticos. Para evitar más acumulación y formación de nuevos coágulos, con el riesgo de embolismo pulmonar o un coágulo que se puede atascar en el cerebro, el corazón o en otra área, llevando a daño grave,[1] se administran anticoagulantes (también conocidos como fluidificante de la sangre) y si no es posible, se puede indicar la colocación de un filtro en la vena cava inferior. Para la prevención de la TVP se recomienda el uso de anticoagulantes, compresión graduada (también conocido como medias tromboembólicas) o dispositivos de compresión neumática intermitente.
Etiología
Según la tríada de Virchow, la trombosis venosa se produce a través de tres mecanismos: disminución del flujo sanguíneo, daños a la pared de los vasos sanguíneos y una mayor tendencia de la sangre a que se coagule (hipercoagulabilidad). Varias condiciones médicas pueden conducir a la TVP, como la compresión de las venas, trauma físico, el cáncer, infecciones, enfermedades inflamatorias y algunas condiciones específicas, tales como accidentes cerebrovasculares, insuficiencia cardíaca o el síndrome nefrótico. Hay varios factores que pueden aumentar el riesgo de TVP, incluyendo la cirugía, hospitalización, inmovilización —por ejemplo, cuando se utilizan moldes ortopédicos, o durante los vuelos de largo recorrido, conocida como el síndrome de clase económica—, el tabaquismo, la obesidad, la edad, ciertos medicamentos, como el estrógeno o la eritropoyetina y la tendencia innata a formar coágulos conocida como trombofilia como en el caso de portadores de factor V Leiden.[3] Las mujeres tienen un mayor riesgo durante el embarazo y el período postnatal.
Cuadro clínico
Los síntomas que produce una trombosis venosa profunda son muy variables, van desde formas asintomáticas en un 25% de los casos, en las que se descubre al buscar el origen de sus complicaciones (tromboembolismo pulmonar, úlcera en las extremidades) o de forma casual al explorar pacientes con alto riesgo de presentarla (cáncer, intervenciones ortopédicas). La forma típica de presentación es caracterizada por tumefacción (edema) y dolor en una extremidad, acompañada de piel caliente, enrojecida, brillante y brusca aparición de venas dilatadas.[1] Su presencia se demuestra sólo en el 20% de los casos en que se tiene la sospecha clínica de su existencia. Así pues la clínica sirve para sospecharla, pero siempre es necesario realizar una exploración por la imagen que la confirme y la evidencie (eco-doppler, flebografía, TAC).
Existen varias técnicas durante el examen físico para aumentar la probabilidad de detección de la TVP, como la medición de la circunferencia de la extremidad afectada y compararla con la contralateral en un punto fijo y determinar un aumento de volumen. Por su parte, la palpación de la vía de trayectoria de la vena a menudo es dolorosa. El examen físico no es fiable para excluir el diagnóstico de trombosis venosa profunda.
En la flegmasia alba dolens, la pierna se torna pálida y fría, con una disminución de pulso arterial, debido al espasmo vascular. Por lo general, la TVP resulta en la oclusión aguda de las venas femoral o ilíaca.
En la flegmasia cerulea dolens, hay una grave y casi total oclusión venosa de la extremidad, incluyendo las venas iliaca y femoral. La pierna está generalmente dolorosa, con cianosis y edematosa. La gangrena venosa puede aparecer como resultado de la incompetencia circulatoria.
Es fundamental que se incluya en la historia la posibilidad de un tromboembolismo pulmonar, ya que esto puede justificar una investigación más a fondo.
Se ha de tomar una cuidadosa historia que tenga en cuenta los factores de riesgo, incluido el uso de estrógenos —contenidos en los métodos de anticoncepción hormonal—, vuelos recientes de larga distancia, el uso de drogas intravenosas y antecedentes de aborto involuntario (que es un antecedente en varios trastornos que también pueden causar trombosis). Los antecedentes familiares pueden revelar un trastorno genético en el desarrollo de la TVP. Aproximadamente el 35 por ciento de los pacientes con TVP tienen al menos una mutación genética que favorezca la trombofilia, por ejemplo, deficiencias en los factores de anticoagulación proteína C, proteína S, antitrombina, o mutaciones en el factor V de coagulación y la protrombina.
Diagnóstico
El estándar de oro para el diagnóstico de la trombosis venosa profunda es la flebografía por vía intravenosa, que implica la inyección en una vena periférica de la extremidad afectada con un agente de contraste y tomándose una radiografía, para ver si la oferta sanguínea se ha obstruido en las venas del lado afectado. Debido a su agresividad, esta prueba se realiza muy infrecuentemente. Es invasiva, técnico-dependiente, el contraste tiene efectos secundarios, y está indicada al poner un filtro de la vena cava inferior. También está la flebografía por TC. El Eco-Doppler es fiable para trombosis proximales.
Examen físico
Signos semiologicos de TVP :
- Signo de Homans: dolor y sensibilidad en los músculos de la pierna afectada cuando se realiza dorsiflexión forzada del pie con la rodilla flejada a 90 grados
- Signo de Olow: incluye el apretar la pantorrilla posterior en busca de dolor con la maniobra.
- Signo de Pratt: presencia de tres venas dilatadas (centinelas) en la región pretibial de la pierna afectada, que persisten cuando se eleva la extremidad a 45 grados
- Signo de Peabody: espasmo leve que aparece en los músculos de la pantorrilla al flexionar el pie del miembro afectado con la pierna levantada.
- Signo de Loewenberg: requiere el uso de un baumanómetro, en donde se evidencia aumento del umbral del dolor (60 a 150 mmHg).[4][5]
Probabilidad por puntuación
Criterios de Wells para el diagnóstico de la TVP[6] | |||||||
---|---|---|---|---|---|---|---|
Factores | Puntos | ||||||
Cáncer activo (tratamiento en los últimos 6 meses o paliativo) | 1 punto | ||||||
Inflamación pantorrilla >3 cm | 1 punto | ||||||
Con respecto a la no sintomática (medido 10 cm por debajo de la protuberancia tibial) | |||||||
Venas superficiales colaterales, no varicosas | 1 punto | ||||||
Edema con fóvea limitado a la pierna sintomática | 1 punto | ||||||
Hinchazón global de una pierna | 1 punto | ||||||
Sensibilidad a la palpación localizado a lo largo del sistema venoso profundo | 1 punto | ||||||
Parálisis, paresia o reciente inmovilización con férula de los miembros inferiores | 1 punto | ||||||
Inmovilización en cama > 3 días reciente | 1 punto | ||||||
o cirugía mayor con anestesia general o regional en las últimas 12 semanas | |||||||
El diagnóstico alternativo es tanto o más probable que el de TVP | — 2 ptos | ||||||
En 2006, Wells y Scarvelis presentaron un conjunto de reglas de predicción clínica de TVP, utilizando una fórmula generalizada de criterios clínicos para el embolismo pulmonar.[7][8] Criterios de puntuación: desde -2 hasta un puntaje posible de 9 puntos.
- Interpretación
Una puntuación de 2 o superior hace probable una trombosis venosa profunda. Por lo general, se considera el aporte de imágenes radiológicas de las venas de la pierna. Una puntuación menor de 2 hace que sea poco probable el diagnóstico de una trombosis venosa profunda. Para descartar la posibilidad de una TVP se puede recurrir a un análisis de sangre, como la prueba del dímero-D.
Dímero-D
En una situación en que un paciente tenga una baja probabilidad de tener una TVP, la conducta actual consiste en iniciar las investigaciones por las pruebas de los niveles de dímero-D. Es un producto de la degradación de la fibrina, una indicación de que se está produciendo una trombosis en algún punto del cuerpo del sujeto, y que el coágulo fue disuelto por la plasmina. Un nivel bajo o negativo del dímero-D debe exhortar a otros posibles diagnósticos, como la rotura de un quiste de Baker, si el paciente tiene una suficientemente baja probabilidad clínica de TVP.[9][10]
El dimero D tiene un alto valor predictivo negativo, pero esto no justifica el uso rutinario de la medición del Dimero D para la TVP, ya que la TVS, celulitis y el hematoma intramuscular también lo elevan, haciendo necesario ampliar los estudios.
Imagenología
Pletismografía de impedancia, la ecografía Doppler, la ecografía de compresión de las venas de la pierna, junto con mediciones dúplex (para determinar el flujo de sangre), puede revelar un coágulo de sangre y su alcance (es decir, si está por debajo o por encima de la rodilla). La ecografía doppler color, debido a su alta sensibilidad (100%), especificidad (62 a 83%) y reproducibilidad, ha sustituido venografía como la prueba más utilizada en la evaluación de la enfermedad. Esta prueba consiste en una imagen en modo B y el análisis del flujo Doppler.
Tratamiento
La mayoría de las trombosis venosas profundas, que se localizan en zonas distales de la extremidad, desaparecen sin dificultad, aunque pueden crecer y extenderse a zonas más proximales donde es más fácil que se fragmenten y embolicen en el pulmón. Las trombosis venosas no producen embolias cerebrales, a excepción de aquellos pacientes que posean una comunicación permeable interauricular. Cuando se diagnostica una trombosis venosa profunda, cualquiera que sea su localización, debe tratarse primero con heparina, durante un mínimo de 5 días (por vía endovenosa o, lo más habitual, por vía subcutánea) y luego puede o bien prolongarse este tratamiento o bien administrarse anticoagulantes orales por un período variable.
Hospitalización
El tratamiento en el hogar del individuo es una opción de acuerdo a un metaanálisis publicado por la Colaboración Cochrane.[11] Se considera la hospitalización de pacientes que tengan dos o más de los siguientes factores de riesgo debido a que pueden tener una mayor probabilidad de complicaciones durante su tratamiento:[12]
- TVP bilateral, insuficiencia renal, peso corporal <70 kg, inmovilidad extensa de reciente fecha, insuficiencia cardíaca crónica y cáncer.
Anticoagulación
El uso de anticoagulantes es el tratamiento rutinario de la trombosis venosa profunda. Durante años, el tratamiento estándar ha sido un medicamento denominado heparina, que impide la formación de coágulos.[1] Por lo general, se inicia con un curso breve, menor de una semana, de heparina mientras se comienza al mismo tiempo un curso de 3 a 6 meses con warfarina o un inhibidor de la vitamina K relacionado. Se prefiere el uso de una heparina de bajo peso molecular (HBPM),[13] a pesar de que se administra la heparina no fraccionada en pacientes que tienen una contraindicación para la HBPM, por ejemplo, pacientes con insuficiencia renal o inminente necesidad de un procedimiento invasivo. En aquellos pacientes que han tenido TVP recurrentes (dos o más), la anticoagulación es por lo general una terapia indicada a lo largo de la vida. Un metaanálisis por la Colaboración Cochrane ha relacionado los riesgos y los beneficios de una anticoagulación prolongada.[14]
Los valores anormales del Dímero-D al final del tratamiento médico suele indicar la necesidad de continuar la terapia entre aquellos que tuvieron un primer evento de TVP espontánea.[15]
Trombolisis
La trombolisis es un procedimiento realizado por radiólogos intervencionistas que generalmente se reserva en casos de un coágulo bastante amplio, como en los casos de trombosis iliofemoral extensa. Un metaanálisis de ensayos controlados aleatorios de la Colaboración Cochrane muestra mejorías en los resultados con la trombolisis,[16] a corto y largo plazo principalmente en la disminución del síndrome posttrombotico. En julio de 2008, el Colegio Americano de Médicos de Pecho publicó nuevas pruebas basadas en las directrices clínicas para el tratamiento del tromboembolismo venoso (TEV), enfermedad que por primera vez sugirió la utilización de trombolisis farmacomecánica en el tratamiento de ciertos casos de trombosis venosa profunda aguda.[17]
Medias de compresión
El uso de medias de compresión elásticas deben aplicarse sistemáticamente en el plazo de 1 mes desde el diagnóstico de TVP proximal y se continúa por un mínimo de un año después del diagnóstico.[13] El iniciar el uso de las medias antes de la semana del diagnóstico puede resultar más efectivo.[18] En casi todos estos estudios, las medias usadas eran más resistentes que las que venden en el mercado, creando una presión entre 20-30 mmHg o 30-40 mmHg y la mayoría llegaban hasta la rodilla.
Un metaanálisis de ensayos controlados aleatorios de la Colaboración Cochrane mostró menor incidencia de síndrome posflebítico en pacientes que usaban las medias de compresión.[19] El número de pacientes que requerían del uso de las medias de compresión es proporcionalmente elevado, específicamente, se requiere la terapia en 4 o 5 pacientes para prevenir cada caso de síndrome posflebítico.[20]
Filtro de la vena cava inferior
Los filtros que se colocan en la vena cava inferior reducen la aparición de embolismos pulmonares[21] y es una opción para los pacientes con una contraindiciación absoluta al tratamiento anticoagulante, por ejemplo, pacientes con hemorragia intracraneal o los pocos pacientes que han documentado objetivamente recurrencias periódicas de embolismo pulmonar durante la anticoagulación. Un filtro de la vena cava inferior, también conocido como filtro Greenfield, puede impedir embolización pulmonar proveniente de un coágulo de la pierna. Sin embargo, los filtros mismos son posibles focos de trombosis,[22] por lo que los filtros de la VCI son usados como medida para la prevención de un embolismo pulmonar inminente que le ponga en peligro la vida del paciente.[23]
Prevención
Se debe evitar estar inactivo o inmovilizado por largos períodos como es permanecer sentado, reposar en cama, viajes largos en avión o en automóvil. Por lo general se prescriben anticoagulantes como medida preventiva.
Pacientes hospitalizados
En cuanto a los pacientes gravemente enfermos que han sido admitidos en el hospital con insuficiencia cardíaca congestiva grave o enfermedad respiratoria, o que se limitan a la cama y tienen uno o más factores de riesgo adicionales, incluyendo cáncer activo, antecedentes de tromboembolismo venoso, sepsis, enfermedad neurológica grave, o enfermedad inflamatoria intestinal, se recomienda la profilaxis con heparina no fraxionada a dosis bajas o HBPM. Se puede utilizar enoxaparina o heparina no fraccionada. La heparina de bajo peso molecular (HBPM) puede ser más eficaz que la no fraccionada. Si se utiliza heparina no fraxionada a 5000 U, se administra 3 veces al día.
En un ensayo controlado aleatorio y metaanálisis concluyeron que la profilaxis anticoagulante es eficaz en la prevención del tromboembolismo venoso sintomático en pacientes hospitalizados en situación de alto riesgo. Se necesitan nuevas investigaciones para determinar el riesgo de tromboembolismo venoso en estos pacientes después de la profilaxis se ha detenido. En lo que respecta a que los pacientes están en situación de riesgo, la mayoría de los estudios en el metaanálisis fueron de pacientes con clasificación de Nueva York Heart Association (NYHA) III-IV de insuficiencia cardiaca. Estos estudios y otros más recientes permanecen inconclusos en cuanto al efecto en pacientes hospitalizados con menor riesgo de TVP.
Los pacientes sometidos a diálisis renal crónica pueden estar en mayor riesgo de tromboembolismo [30], pero los ensayos controlados aleatorios no han abordado los riesgos y beneficios de la profilaxis.
Pacientes quirúrgicos
En los pacientes que se han sometido a cirugía, la heparina de bajo peso molecular (HBPM) suele ser rutinariamente administrada para prevenir futuras trombosis. La HBPM actualmente sólo puede ser administrada por inyección subcutánea. La profilaxis para las mujeres embarazadas que tienen antecedentes de trombosis puede limitarse a las inyecciones de HBPM o puede que no sea necesario si sus factores de riesgo son principalmente de carácter temporal.
La deambulación temprana y regular es parte de la terapia que tiene sus inicios antes del descubrimiento de los anticoagulantes y sigue siendo reconocido y utilizado en la actualidad. El caminar activa los músculos de las piernas para que actúen como bombas, lo que causa un aumento en la velocidad del flujo venoso y ello previene el estancamiento que promueve la coagulación intravascular. Los dispositivos de compresión neumática intermitente (IPC) han demostrado protección durante la estadía en la cama o silla para pacientes con un muy alto riesgo o con contraindicaciones para heparina. Los dispositivos IPC usan vejigas llenas de air que se envuelven alrededor del muslo y/o la pantorrilla. Las vejigas se inflan y desinflan alternativamente, apretando los músculos y aumentando la velocidad hasta en un 500%. Los dispositivos IPC han demostrado ser eficaces en pacientes con cirugía de rodilla y de cadera (una población con un riesgo de TVP y EP tan alto como el 80% sin tratamiento). Alternativamente, entre 150-300mg de aspirina se puede tomar.
Viajeros
Existe evidencia clínica que sugiere que el uso de medias de compresión durante el viaje también reduce la incidencia de trombosis en las personas en vuelos de larga distancia. Un estudio aleatorizado en el 2001 comparado dos grupos de pasajeros de líneas aéreas de larga distancia, un grupo de viajeros llevaban medias de compresión, otros no. Los pasajeros fueron escaneados y una prueba de sangre para comprobar la incidencia de TVP. Los resultados mostraron que la TVP asintomática se produjo en el 10% de los pasajeros que no usan medias de compresión. El grupo que llevaba medias de compresión no tenían TVP. Los autores concluyeron que el uso de medias elásticas de compresión reduce la incidencia de TVP en pasajeros de líneas aéreas de larga distancia.
Complicaciones
El coágulo sanguíneo o trombo situado en el interior de las venas, produce alteraciones de su pared y de las múltiples válvulas que existen en su trayecto, pudiendo por un lado desprenderse e impactar en el árbol pulmonar provocando la aparición de un embolismo pulmonar o bien disolverse, pero perdurando la lesión causada en la pared de la vena y produciendo meses o años después el denominado síndrome postrombótico.
Referencias
- por MedlinePlus (enero de 2009). «Trombosis venosa profunda». Enciclopedia médica en español. Consultado el 25 de abril de 2009.
- by Alexander G.G. Turpie, MD (last modified March 2008). «Deep Venous Thrombosis - The Merck's Manuals Online Medical Library».
- Rosendall FR. (2005). «Venous Thrombosis: the role of genes, environment, and behavior.». Hematology Am Soc Hematol Educ Program: 1-12. PMID 16304352.
- balbina suarez-muñiz, maria paz (junio de 2011). «trombosis venosa profunda en obstetricia». revista mexicana de anestesiologia.
- Wells PS, Owen C, Doucette S, Fergusson D, Tran H (2006). «Does this patient have deep vein thrombosis?». JAMA 295 (2): 199-207. PMID 16403932. doi:10.1001/jama.295.2.199.
- Scarvelis D, Wells P (2006). «Diagnosis and treatment of deep-vein thrombosis». CMAJ 175 (9): 1087-92. PMID 17060659.
- Neff MJ. ACEP releases clinical policy on evaluation and management of pulmonary embolism. American Family Physician. 2003; 68(4):759-?. Available at: http://www.aafp.org/afp/20030815/practice.html. Accessed on: December 8, 2006.
- Wells P, Anderson D, Rodger M, Ginsberg J, Kearon C, Gent M, Turpie A, Bormanis J, Weitz J, Chamberlain M, Bowie D, Barnes D, Hirsh J (2000). «Derivation of a simple clinical model to categorize patients probability of pulmonary embolism: increasing the models utility with the SimpliRED D-dimer». Thromb Haemost 83 (3): 416-20. PMID 10744147.
- Wells PS, Anderson DR, Rodger M, et al (2003). «Evaluation of D-dimer in the diagnosis of suspected deep-vein thrombosis». N. Engl. J. Med. 349 (13): 1227-35. PMID 14507948. doi:10.1056/NEJMoa023153.
- Bates SM, Kearon C, Crowther M, et al (2003). «A diagnostic strategy involving a quantitative latex D-dimer assay reliably excludes deep venous thrombosis». Ann. Intern. Med. 138 (10): 787-94. PMID 12755550.
- Othieno R, Abu Affan M, Okpo E (2007). «Home versus in-patient treatment for deep vein thrombosis». Cochrane database of systematic reviews (Online) (3): CD003076. PMID 17636714. doi:10.1002/14651858.CD003076.pub2.
- Trujillo-Santos J, Herrera S, Page MA, et al (2006). «Predicting adverse outcome in outpatients with acute deep vein thrombosis. findings from the RIETE Registry». J. Vasc. Surg. 44 (4): 789-93. PMID 16926081. doi:10.1016/j.jvs.2006.06.032.
- Snow V, Qaseem A, Barry P, et al (2007). «Management of venous thromboembolism: a clinical practice guideline from the American College of Physicians and the American Academy of Family Physicians». Ann. Intern. Med. 146 (3): 204-10. PMID 17261857.
- Hutten BA, Prins MH (2006). «Duration of treatment with vitamin K antagonists in symptomatic venous thromboembolism». Cochrane database of systematic reviews (Online) (1): CD001367. PMID 16437432. doi:10.1002/14651858.CD001367.pub2.
- Palareti G, Cosmi B, Legnani C, et al (2006). «D-dimer testing to determine the duration of anticoagulation therapy». N. Engl. J. Med. 355 (17): 1780-9. PMID 17065639. doi:10.1056/NEJMoa054444.
- Watson L, Armon M (2004). «Thrombolysis for acute deep vein thrombosis». Cochrane Database Syst Rev: CD002783. PMID 15495034. doi:10.1002/14651858.CD002783.pub2.
- Las directrices pueden ser bajadas online sin costo en: TheNewGuidelines.org Archivado el 23 de marzo de 2018 en Wayback Machine.
- Prandoni P, Lensing AW, Prins MH, et al (2004). «Below-knee elastic compression stockings to prevent the post-thrombotic syndrome: a randomized, controlled trial». Ann. Intern. Med. 141 (4): 249-56. PMID 15313740.
- Kolbach D, Sandbrink M, Hamulyak K, Neumann H, Prins M (2003). «Non-pharmaceutical measures for prevention of post-thrombotic syndrome». Cochrane Database Syst Rev: CD004174. PMID 14974060. doi:10.1002/14651858.CD004174.pub2.
- Kakkos S, Daskalopoulou S, Daskalopoulos M, Nicolaides A, Geroulakos G (2006). «Review on the value of graduated elastic compression stockings after deep vein thrombosis». Thromb Haemost 96 (4): 441-5. PMID 17003920.
- Decousus H, Leizorovicz A, Parent F, Page Y, Tardy B, Girard P, Laporte S, Faivre R, Charbonnier B, Barral F, Huet Y, Simonneau G (1998). «A clinical trial of vena caval filters in the prevention of pulmonary embolism in patients with proximal deep-vein thrombosis. Prévention du Risque d'Embolie Pulmonaire par Interruption Cave Study Group». N Engl J Med 338 (7): 409-15. PMID 9459643. doi:10.1056/NEJM199802123380701.
- «Eight-year follow-up of patients with permanent vena cava filters in the prevention of pulmonary embolism: the PREPIC (Prevention du Risque d'Embolie Pulmonaire par Interruption Cave) randomized study». Circulation 112 (3): 416-22. 2005. PMID 16009794. doi:10.1161/CIRCULATIONAHA.104.512834.
- Young T, Aukes J, Hughes R, Tang H (2007). «Vena caval filters for the prevention of pulmonary embolism». Cochrane database of systematic reviews (Online) (3): CD006212. PMID 17636834. doi:10.1002/14651858.CD006212.pub2.