Teratoma

Un teratoma (del griego teras-, teratos 'pesadilla', 'monstruo', y -oma 'tumor', 'hinchazón') es un tumor encapsulado con componentes de tejidos u órganos que recuerdan los derivados «normales» de las tres capas germinales.

Teratoma

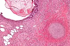
Micrografía de un teratoma con componentes gastrointestinales (arriba a la derecha) cartílago (abajo, a la derecha) y tejido adiposo (abajo a la izquierda). Tinción con hematoxilina-Eosina.
Especialidad oncología
 Aviso médico 

Histología

Es fácil identificar las tres capas que la conforman. Los tejidos del teratoma pueden ser muy similares a los tejidos que los rodean. Se ha informado de teratomas que contienen pelo, dientes, hueso, y muy raramente órganos más complejos como el corazón,[1][2] torso,[3][4] manos, pies, y otros miembros.[5] Normalmente, un teratoma no contendrá órganos, sino uno o más tejidos que normalmente se encuentran en el cerebro, la tiroides, el hígado y los pulmones.

A veces el teratoma contiene en su cápsula uno o más quistes llenos de fluido y cuando se produce un quiste de gran tamaño el teratoma puede potencialmente producir una estructura que recuerda a un feto. Puesto que están encapsulados, los teratomas son habitualmente benignos, aunque se conocen algunas formas de teratoma maligno. Un teratoma maduro es típicamente benigno y se encuentra más habitualmente en mujeres, mientras que un teratoma inmaduro es típicamente maligno y se encuentra más a menudo en varones.

Se piensa que los teratomas ya están presentes en el nacimiento (congénitos), pero los de pequeño tamaño no son descubiertos hasta mucho más tarde en la vida del individuo.

Véase también

Referencias

  1. Chi JG, Lee YS, Park YS, Chang KY (julio de 1984). «Fetus-in-fetu: report of a case». American Journal of Clinical Pathology 82 (1): 115-9. PMID 6540049.
  2. Sergi C, Ehemann V, Beedgen B, Linderkamp O, Otto HF (1999). «Huge fetal sacrococcygeal teratoma with a completely formed eye and intratumoral DNA ploidy heterogeneity». Pediatric and Developmental Pathology: the Official Journal of the Society for Pediatric Pathology and the Paediatric Pathology Society 2 (1): 50-7. PMID 9841706.
  3. Kuno N, Kadomatsu K, Nakamura M, Miwa-Fukuchi T, Hirabayashi N, Ishizuka T (enero de 2004). «Mature ovarian cystic teratoma with a highly differentiated homunculus: a case report». Birth Defects Research. Part a, Clinical and Molecular Teratology 70 (1): 40-6. PMID 14745894. doi:10.1002/bdra.10133.
  4. Arlikar JD, Mane SB, Dhende NP, Sanghavi Y, Valand AG, Butale PR (marzo de 2009). «Fetus in fetu: two case reports and review of literature». Pediatric Surgery International 25 (3): 289-92. PMID 19184054. doi:10.1007/s00383-009-2328-8.
  5. «Tumor in baby’s brain contained tiny foot». msnbc.msn.com. 18 de diciembre de 2008. Consultado el 19 de diciembre de 2008.

Enlaces externos

Este artículo ha sido escrito por Wikipedia. El texto está disponible bajo la licencia Creative Commons - Atribución - CompartirIgual. Pueden aplicarse cláusulas adicionales a los archivos multimedia.