Rotura prematura de membrana
La rotura prematura de membranas (RPM) es un trastorno que se produce en el embarazo cuando el saco amniótico se rompe más de una hora antes del inicio del trabajo de parto.[1] En este sentido, la rotura de membranas es prematura cuando se produce antes del primer período del parto o período de dilatación.
Rotura prematura de membrana | ||
---|---|---|
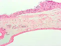
![]() Micrografía de una corioamnionitis caracterizada por infiltrado granulocítico (puntos violeta), uno de los factores de riesgo para una ruptura prematura de membranas ovulares. | ||
Especialidad | obstetricia | |
Síntomas | Chorro indoloro repentino de líquido a través de la vagina | |
Complicaciones |
Bebé : parto prematuro , compresión del cordón , infección Madre : desprendimiento de placenta , endometritis posparto | |
Tipos | A término, pretérmino | |
Factores de riesgo | Infección del líquido amniótico , RPM previa, hemorragia en las últimas etapas del embarazo , tabaquismo, madre con bajo peso | |
Sinónimos | ||
Ruptura prematura de membranas | ||
![]() | ||
La rotura prematura de membranas puede suceder tanto en un embarazo a término (edad gestacional ≥ a 37 semanas) o en uno pretérmino (edad gestacional < 37 semanas), caso último donde se denomina como rotura prematura de membranas pretérmino.[2]
Una RPM se prolonga cuando se produce más de 18 horas antes del trabajo de parto.[3] La rotura prematura de membranas suele ser causada por una infección bacteriana, por el tabaquismo o por un defecto en la estructura del saco amniótico, el útero o cérvix y también por las relaciones sexuales y la presencia de dispositivos intrauterinos (DIU).
En algunos casos, la ruptura se puede curar espontáneamente, pero en la mayoría de los casos de RPM, el trabajo de parto comienza en las primeras 48 horas. Cuando esto ocurre, es necesario que la madre reciba tratamiento para evitar una posible infección en el recién nacido.[4]
Etiología
Se ha observado que la zona donde se produce la rotura de las membranas ovulares es pobre en colágeno III, está edematizada con depósito de material fibrinoide, un adelgazamiento en la capa trofoblástica y decidua.[1] Bajo esas circunstancias de estimulación inmune, resulta que la elastasa de los granulocitos es específica para digerir ese tipo de colágeno, un cuadro característico en la corioamnitis.[5] Adicionalmente, las células deciduales, especialmente si hay bacterias, sintetizan prostaglandinas E2 y F2-alfa,[1] que estimulan las contracciones uterinas, por lo que una combinación de corioamnitis e infección bacteriana son factores altamente predisponentes a una RPM.[5]
Se ha encontrado asociación entre estados emocionales de miedo en una población y rotura prematura de membranas.[6]
Las mutaciones en los genes COL5A1, COL5A2, COL3A1, COL1A1, COL1A2, TNXB, PLOD1, ADAMTS2, CRTAP, LEPRE1 y ZMPSTE24 puede aumentar el riesgo de rotura prematura de membranas.[7]
Clínica
Usualmente a nivel clínico solamente se evidencia pérdida de un chorro indoloro repentino de líquido a través de la vagina;[8][2] sin embargo, es sugestivo de corioamnionitis la presencia de fiebre, dolor abdominal, flujo vaginal abundante o fétido y taquicardia fetal, sobre todo si no existe correlación con la temperatura materna.[2]
Diagnóstico
La evaluación inicial de la rotura prematura de membranas en un feto pretérmino debe incluir un examen con espéculo estéril para documentar hallazgos sospechosos de la patología. También es frecuente que se envien cultivos cervicales, incluyendo Chlamydia trachomatis y Neisseria gonorrhoeae, así como cultivos anovaginales para Streptococcus agalactiae.[9]
Con la ecografía se documenta la edad gestacional, peso fetal, presentación fetal y se establece el índice de líquido amniótico. También se puede realizar la determinación del pH vaginal con papel de tornasol o nitracina, el que cambia de color ante la presencia de líquido amniótico. En estas pacientes se evita el tacto digital, pero la inspección visual del cuello uterino puede estimar con precisión la dilatación del mismo.[9]
Otras pruebas de diagnóstico son la prueba de cristalización de Neuhaus y la de evaporizacion ante la sospecha de RPM. Se ha demostrado que el tacto manual y digital del cuello uterino con en pacientes con RPM reduce el período de latencia y aumenta el riesgo de infecciones, sin aportar información de verdadera utilidad clínica.[9]
Tratamiento
Un estudio ha determinado que cuando se registra una alta concentración de lactato en la filtración del líquido amniótico resulta ser un fuerte indicador de que una mujer que con una RPM también comenzará su trabajo de parto dentro de las próximas 48 horas.[10] Esta asociación puede llevar a pruebas cuantitativas de ácido láctico que podría ayudar al médico a tomar la decisión de mantener o no en el hospital a una mujer que refiere una RPM.
En caso de que se presente una corioamnionitis en el momento de la RPM, se indica terapia con antibióticos para evitar la sepsis neonatal, y se indica el parto. Si no se ha instalado una corioamnionitis, la pronta terapia con antibióticos puede retrasar el parto, lo que le da al feto tiempo crucial para terminar de madurar.[11]
Si después de la evaluación inicial de la madre y el feto, se determina que ambos se encuentran clínicamente estables, se suele preferir una conducta expectante ante una RPM pretérmino —especialmente entre las 28 y 34 semanas—, pues se ha demostrado que mejora los resultados fetales.[12]
Complicaciones
Una de las complicaciones más frecuentes de parto prematuro es el parto pretérmino.[2] El período de latencia, que es el tiempo de rotura de membranas hasta el parto, por lo general es inversamente proporcional a la edad gestacional en que se produce la RPM. Por ejemplo, un extenso estudio en pacientes con embarazos a término reveló que el 95 por ciento de las pacientes dieron a luz dentro de aproximadamente un día del RPM, mientras que un análisis que incluía la evaluación de pacientes con embarazos pretérminos entre 16 y 26 semanas de gestación determinó que el 57 por ciento de los pacientes dio a luz al cabo de una semana promedio, y 22 por ciento tenían un periodo de latencia de cuatro semanas.[13]
Cuando la RPM ocurre demasiado pronto, los recién nacidos que sobreviven pueden desarrollar secuelas como la compresión del cordón, oligohidramnios, enterocolitis necrotizante, deterioro neurológico, hemorragia intraventricular, y síndrome de dificultad respiratoria neonatal.
El principal riesgo materno con el manejo expectante de una RPM pretérmino es la infección, que incluye corioamnionitis (13-60 % de los casos), endometritis (2-13 % de los casos), sepsis (<1 %), y la muerte materna (1-2 casos por cada 1000).[9]
Las complicaciones relacionadas con la placenta incluyen placenta previa (4-12 % de los casos) y placenta retenida o hemorragias postparto que requieren curetaje uterino (12 % de los casos).[9]
Véase también
Referencias
- RIVERA Z, René et al. FISIOPATOLOGÍA DE LA ROTURA PREMATURA DE LAS MEMBRANAS OVULARES EN EMBARAZOS DE PRETÉRMINO. Rev. chil. obstet. ginecol. [online]. 2004, vol. 69, nº 3 [citado 18 de mayo de 2009], pp. 249-255. Disponible en: . ISSN 0717-7526.
- Moldenhauer, Julie. «Rotura prematura de membranas (RPM) - Ginecología y obstetricia». Manual MSD versión para profesionales. Consultado el 26 de diciembre de 2020.
- Deering SH, Patel N, Spong CY, Pezzullo JC, Ghidini A (2007). «Fetal growth after preterm premature rupture of membranes: is it related to amniotic fluid volume?». J. Matern. Fetal. Neonatal. Med. 20 (5): 397-400. PMID 17674244. doi:10.1080/14767050701280249.
- José Botella Llusiá; José A. Clavero Núñez (1993). Tratado de ginecología: fisiología, obstetricia, perinatología, ginecología, reproducción (14va edición). Ediciones Díaz de Santos. p. 461. ISBN 8479780924. Consultado el 18 de mayo de 2009.
- Santos Leal, Emilio; Odent, Michel R; Coronado Martin, Pluvio; Herráiz Martínez, Miguel Ángel; Vidart Aragón, Juan Antonio (diciembre de 2006). «Premature Rupture of Membranes and Madrid Terrorist Attack». Birth 33 (4): 341.
- Anum EA., Hill LD., Pandya A., Strauss JF. Connective Tissue and Related Disorders and Preterm Birth: Clues to Genes Contributing to Prematurity en inglés. Placenta (2009). doi:10.1016/j.placenta.2008.12.007. PMID 19152976.
- Norwitz, Errol R.; Arulkumaran, S.; Symonds, I. (2007). Oxford American Handbook of Obstetrics and Gynecology (en inglés). Oxford University Press, USA. p. 268. ISBN 9780195189384.
- Jazayeri, Allahyar (septiembre de 2008). «Premature Rupture of Membranes». Infectious Diseases (en inglés). eMedicine.com. Consultado el 18 de mayo de 2009.
- Wiberg-Itzel E, et al (diciembre de 2006). «Test 'predicts preterm baby risk' (BBC News article summarizing results)». BJOG. 19 Suppl 2 (113(12)): 1426-30. PMID 17010116.
- Melis GB, Orrù M, Uras R, et al (octubre de 2007). «Chorioamnionitis». J Chemother. 19 Suppl 2: 17-9. PMID 18073173.
- K Niswander (1987). Obstetricia. Reverte. p. 248. ISBN 8429155546.
- TANYA M. MEDINA; D. ASHLEY HILL (febrero de 2006). «Preterm Premature Rupture of Membranes: Diagnosis and Management». American Family Physician®; Vol. 73/No. 4 (en inglés). Consultado el 19 de mayo de 2009.