Recuperación de la inversión atenuada de fluido
La recuperación de la inversión atenuada de fluido (FLAIR, del inglés: FLuid-Attenuated Inversion Recovery) es una secuencia de resonancia magnética con una recuperación de la inversión que neutraliza los fluidos. Por ejemplo, se puede usar en imágenes cerebrales para suprimir los efectos del líquido cefalorraquídeo (LCR) con el fin de resaltar las lesiones hiperintensas periventriculares, como las placas de esclerosis múltiple (EM).[1] Esta secuencia fue desarrollada por el Dr. Graeme Bydder. Puede usarse tanto con imágenes tridimensionales (3D FLAIR) como bidimensionales (2D FLAIR).

Técnica
Seleccionando cuidadosamente el tiempo de inversión (TI), la señal de cualquier tejido en particular puede anularse. El TI apropiado depende del tejido a través de la fórmula:
En otras palabras, normalmente se debería usar un TI de alrededor del 70% del valor de T1. En el caso de la supresión del LCR, las imágenes deben ponderarse en T1, que priorizan la señal de grasa sobre la del agua. Por lo tanto, si el TI largo (tiempo de inversión) se ajusta a un punto de cruce cero para el agua (ninguna de sus señales es visible), la señal del LCR se debería "borrar" de la imagen.[2]
Aplicaciones clínicas
El análisis de secuencia FLAIR resulta especialmente útil en la evaluación y estudio de determinadas alteraciones como:
- Infartos lacunares
- Placas de esclerosis múltiple
- Hemorragia subaracnoidea
- Traumatismo craneoencefálico
- Meningitis y otras enfermedades leptomeníngeas*
* Imágenes post-contraste de FLAIR han sido añadidas al protocolo de diagnóstico para una adecuada valoración.
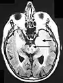
- Imagen de RM en secuencia FLAIR que demuestra infiltración relacionada con tumor que involucra núcleos lenticulares (Flecha).
- Imagen de RM en secuencia FLAIR que demuestra la infiltración relacionada con el tumor que afecta tanto a los lóbulos temporales (flecha corta) como a la sustancia negra (flecha larga).
Véase también
Referencias
- Bakshi R, Ariyaratana S, Benedict RH, Jacobs L. Fluid-attenuated inversion recovery magnetic resonance imaging detects cortical and juxtacortical multiple sclerosis lesions PubMed
- «Fluid attenuation inversion recovery | Radiology Reference Article | Radiopaedia.org». radiopaedia.org. Consultado el 3 de diciembre de 2015.