Quiste aracnoideo

Los quistes aracnoideos, llamados también leptomeníngeos,[1] son sacos de líquido cefalorraquídeo cubiertos de células aracnoideas y colágeno[2] que aparecen entre la superficie del cerebro humano y la base del cráneo o en la membrana aracnoidea, una de las tres membranas que cubren la espina dorsal.[3] Los quistes aracnoideos son congénitos,[4] y la mayor parte de los casos comienzan durante la infancia. Sin embargo, los síntomas con frecuencia aparecen sólo en la adolescencia.[3]

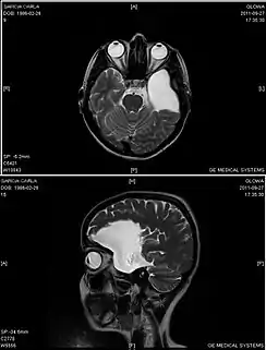
Quiste aracnoideo

Resonancia magnética de una paciente de 25 años con un quiste aracnoideo frontotemporal izquierdo.
Especialidad neurocirugía
 Aviso médico 

Clasificación

Los quistes aracnoideos se pueden hallar en el cerebro o en la espina dorsal. Los quistes aracnoideos intracraniales normalmente ocurren adyacentes a la cisterna aracnoidal.[5] Los quistes aracnoideos de la espina pueden ser extradurales, intradurales o perineurales y tienden a presentarse con signos y síntomas indicativos de una radiculopatía.[5]

Los quistes aracnoideos pueden ser relativamente asintomáticos o presentarse con síntomas insidiosos. Por esta razón, el diagnóstico muchas veces se retrasa.

Signos y síntomas

Los pacientes con quistes aracnoideos es posible que nunca muestren síntomas, incluso en casos en los que el quiste es grande. Por lo tanto, mientras que la presencia de síntomas puede dar lugar a investigaciones subsecuentes, los síntomas hallados independientemente de exámenes conclusivos no se pueden (ni se deben) interpretar como evidencia de la existencia, tamaño ni posición de un quiste aracnoideo.

Los síntomas varían según el tamaño y posición del quiste, aunque los pequeños generalmente no tienen síntomas y son descubiertos sólo incidentalmente.[3] Por otro lado, hay ciertos síntomas que pueden resultar de la presencia de quistes grandes:

  • Deformación del cráneo o macrocefalia (agrandamiento de la cabeza) particularmente en niños[6]
  • Los quistes en la región sobre la silla turca en niños ocasionan un síndrome en que la cabeza del niño se mueve sin mucho control, conocido como el Bobble-Head Doll Syndrome.[6]
  • Los quistes en la fosa craneal media del lado izquierdo se han asociado con problemas de déficit de atención en un estudio en niños afectados.[7]
  • Dolores de cabeza.[3] Mientras que son el síntoma más común,[cita requerida] un paciente que experimenta un dolor de cabeza no necesariamente tiene un quiste aracnoideo.
    • En un estudio de 2002 con 78 pacientes con migraña o dolor de cabeza de tipo tenso, los quistes aracnoideos apenas estuvieron presentes en 2.6% de los pacientes participantes.[8]
    • Un estudio halló que 18% de los pacientes con quistes aracnoideos intracraniales tenían dolores de cabeza no específicos. El quiste estaba en el lóbulo temporal en el 75% de los casos.[9]
  • Crisis epilépticas
  • Hidrocefalia (excesiva acumulación de líquido cefalorraquídeo)[3]
  • Presión intracraneal aumentada[3]
  • Retraso mental[3]
  • Cambios en el comportamiento, bipolaridad[3]
  • Hemiparesis (debilidad o parálisis en un lado del cuerpo)[3]
  • Ataxia (falta de control muscular)[3]
  • Alucinaciones musicales[10]
  • Demencia presenil,[11] una enfermedad frecuentemente asociada con el mal de Alzheimer
  • En ancianos (de más de 65 años) los síntomas pueden ser parecidos al hematoma subdural crónico o a la hidrocefalia con presión normal:[12]
    • Demencia
    • Incontinencia urinaria
    • Hemiparesis
    • Dolor de cabeza
    • Crisis epilépticas

Diagnóstico

El diagnóstico se realiza principalmente por resonancia magnética. Frecuentemente los quistes se hallan incidentalmente en resonancias magnéticas realizadas por otras razones clínicas. En la práctica, el diagnóstico de quistes aracnoideos sintomáticos requiere la presencia de los síntomas; en muchos casos esto nunca ocurre.

Otras herramientas de diagnóstico clínico que pueden ser útiles son el examen de Folstein (para determinar si hay demencia). Los mielogramas están contraindicados para este tipo de quistes.

Referencias

  1. Guías de Neuro
  2. Ariai S, Koerbel A, Bornemann A, Morgala M, Tatagiba M. "Cerebellopontine angle arachnoid cyst harbouring ectopic neuroglia", Pediatr Neurosurg. 2005 Jul-Aug;41(4):220-3. (PMID 16088260)
  3. http://www.ninds.nih.gov/disorders/arachnoid_cysts/arachnoid_cysts.htm Archivado el 17 de enero de 2009 en Wayback Machine. NINDS Arachnoid Cysts Information Page
  4. Gelabert-Gonzalez M. "Intracranial arachnoid cysts", Rev Neurol., 2004 Dec 16-31;39(12):1161-6. (PMID 15625636)
  5. Arachnoid cyst. (n.d.). Gale Encyclopedia of Neurological Disorders. Retrieved September 10, 2006, from Answers.com Web site: http://www.answers.com/topic/arachnoid-cyst
  6. Barker RA, Scolding N, Rowe D, Larner AJ. The A-Z of Neurological Practice: A Guide to Clinical Neurology Cambridge University Press 2005 Jan 10, p61. (ISBN 0-521-62960-8)
  7. Millichap JG. "Temporal lobe arachnoid cyst-attention deficit disorder syndrome: role of the electroencephalogram in diagnosis", Neurology 1997 May;48(5):1435-9. (PMID 9153486)
  8. Valença MM, Valença LP, Menezes TL. "Computed tomography scan of the head in patients with migraine or tension-type headache", Arq Neuropsiquiatr. 2002 Sep;60(3-A):542-7. (PMID 12244387)
  9. Cameron AD. "Psychotic phenomena with migraine and an arachnoid cyst", Progress in Neurology and Psychiatry 2002 Mar-Apr 6(2) http://www.escriber.com/Progress/Features.asp? Action=View&Archive=True&ID=67&GroupID=&Page=11
  10. Griffiths TD. "Musical hallucinosis in acquired deafness. Phenomenology and brain substrate.", Brain, 2000 Oct;123 ( Pt 10):2065-76. (PMID 11004124)
  11. Richards G, Lusznat RM. "An arachnoid cyst in a patient with pre-senile dementia", Progress in Neurology and Psychiatry, 2001 May-June;5(3) http://www.escriber.com/Progress/Features.asp? Action=View&Archive=True&ID=29&GroupID=&Page=18
  12. Yamakawa H, Ohkuma A, Hattori T, Niikawa S, Kobayashi H. "Primary intracranial arachnoid cyst in the elderly: a survey on 39 cases", Acta Neurochir (Wien). 1991;113(1-2):42-7. (PMID 1799142)
Este artículo ha sido escrito por Wikipedia. El texto está disponible bajo la licencia Creative Commons - Atribución - CompartirIgual. Pueden aplicarse cláusulas adicionales a los archivos multimedia.