Pulmón de cuidador de aves

El pulmón de cuidador de aves es un tipo de neumonitis por hipersensibilidad. Está provocado por la exposición a proteínas de origen aviar presentes en el polvo seco de los excrementos y a veces en las plumas algunos pájaros. Los pulmones se inflaman, se forman granulomas. Se han implicado pájaros como las palomas, periquitos, cacatúas, loros, tórtolas, los pavos y los pollos.

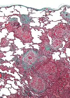
Pulmón de cuidador de aves

Micrografía de neumonitis por hipersensibilidad, la histología corresponde a un pulmón de cuidador de aves. Biopsia de pulmón . Tinción tricrómica.
Especialidad Neumología
Sinónimos
Pulmón de criador de pájaros, pulmón de criador de palomas
 Aviso médico 

Las personas que trabajan con pájaros o son los dueños de muchos pájaros están en riesgo. Los aficionados a las aves y los trabajadores de tiendas de mascotas también pueden estar en riesgo.

Signos y síntomas

Esta enfermedad es una inflamación de los alvéolos pulmonares causada por una respuesta inmune a alérgenos inhalados de pájaros. Los síntomas iniciales incluyen dificultad para respirar (disnea), especialmente después de un esfuerzo repentino o cuándo se expone a cambios de temperatura, que pueden simular al asma, al síndrome de hiperventilación o a una embolia pulmonar. También pueden aparecer escalofríos, tos no productiva y malestar en el pecho. Tras la reexposición a las proteínas aviares, los individuos sensibilizados suelen experimentar síntomas en un plazo de 4 a 6 horas o antes. En la forma crónica suele presentarse anorexia, pérdida de peso, fatiga extrema y fibrosis pulmonar progresiva, que es generalmente la consecuencia más grave de la enfermedad porque disminuye progresiva e irreversiblemente la eficiencia de los pulmones con el tiempo. Como resultado, los paciente pueden tener infecciones repetidas de pecho y en última estancia, gran dificultad para respirar. Esta condición puede finalmente ser fatal.[1]

Diagnóstico diferencial

Un diagnóstico definitivo puede ser difícil de conseguir sin una prueba invasiva, pero la exposición extensa a las aves combinada con la capacidad de difusión disminuida es fuertemente sugestiva de esta enfermedad. La radiografía o tomografía muestran cambios físicos en la estructura de pulmón (patrón de vidrio esmerilado) con el progreso de la enfermedad. La distribución precisa y los tipos de daño de tisular difieren entre enfermedades similares, al igual que la respuesta a tratamiento con prednisona. Hay dos formas de pulmón de cuidador de aves: la aguda y la crónica. El daño alveolar difuso (DAD) puede cursar con insuficiencia respiratoria aguda; la fibrosis intersticial es típica de la forma crónica.[2] En ambos, la respuesta inflamatoria subyacente se detiene tras la exclusión del alérgeno, pero los síntomas pueden persistir según el grado de daño sufrido.[2] Entre los procedimientos invasivos, lavado broncoalveolar típicamente muestra linfocitosis prominente con una proporción CD4+/CD8+ invertida, y la biopsia de pulmón normalmente revela inflamación con granulomas no necrotizantes.[2]

Tratamiento

La prednisona a menudo suprime los síntomas de forma temporal, especialmente en las primeras etapas de la enfermedad, y al reducir la inflamación podría también retrasar la formación de cicatrices (fibrosis) en los pulmones. Sin embargo, el único tratamiento a largo plazo recomendado es evitar las proteínas aviares que desencadenan la enfermedad. A menos que la fibrosis haya progresado más allá de la recuperación, los síntomas deberían mejorar, a veces de forma espectacular, en ausencia de tales alérgenos. Por lo tanto, es recomendable retirar todos los pájaros, ropa de cama y almohadas que contengan plumas de la casa del paciente, así como cualquier ropa de abrigo y sacos de dormir que contengan plumón. Como mínimo, también es aconsejable de lavar todos los textiles para el hogar (cortinas, por ejemplo), paredes, techos y mobiliario, y evitar la exposición futura a pájaros, excrementos de estos, o cualquier elemento que contenga plumas, como almohadas en muchos hoteles. En casos extremos se puede recomendar a los pacientes que evacuen sus hogares de forma permanente y que se deshagan de todas las posesiones que hayan estado expuestas a las proteínas de las aves si no pueden limpiarse exhaustivamente por dentro y por fuera (esto incluye libros, camas, y mobiliario tapizado). El paciente no debe intentar limpiar ningún artículo contaminado; de hecho, cualquier persona que entre en contacto con los elementos que hayan estado cerca de las aves debe cambiarse de ropa y lavarse el cabello antes de entrar en contacto con el paciente. Según la extensión de fibrosis en el momento de su diagnóstico y qué bien se sigan los protocolos de tratamiento recomendados (especialmente la evitación de alérgenos), muchos de los pacientes hacen una recuperación completa. Aun así, los síntomas pueden reaparecer rápidamente al volver a exponerse a aves o alérgenos relacionados.

Véase también

Referencias

  1. Hashisako, Mikiko; Fukuoka, Junya; Smith, Maxwell L. (2018), «Chronic Diffuse Lung Diseases», Practical Pulmonary Pathology: A Diagnostic Approach (Elsevier): 227-298.e5, ISBN 9780323442848, doi:10.1016/b978-0-323-44284-8.00008-9.
  2. King, Thomas C. (2007), «Respiratory Tract and Pleura», Elsevier's Integrated Pathology, Elsevier, pp. 197-216, ISBN 9780323043281, doi:10.1016/b978-0-323-04328-1.50014-0.

Bibliografía

«Bird breeder's (fancier's) lung». Proc R Soc Med 59 (10): 1008. 1966. PMC 1901065. PMID 6005979.

Enlaces externos

  • Esta obra contiene una traducción derivada de «Bird fancier's lung» de Wikipedia en inglés, publicada por sus editores bajo la Licencia de documentación libre de GNU y la Licencia Creative Commons Atribución-CompartirIgual 3.0 Unported.
Este artículo ha sido escrito por Wikipedia. El texto está disponible bajo la licencia Creative Commons - Atribución - CompartirIgual. Pueden aplicarse cláusulas adicionales a los archivos multimedia.