Ortopantomografía
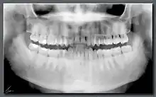
La ortopantomografía o radiografía panorámica es una técnica radiológica que representa, en una única película, una imagen general de los maxilares, la mandíbula y los dientes. Por tanto, es de primordial utilidad en el área dentomaxilomandibular.


Consideraciones generales
Su papel en el diagnóstico odontológico, no solo de los dientes sino también del maxilar y mandíbula, es fundamental. Sin la ortopantomografía el odontólogo perdería una gran ayuda en la mayoría de las especialidades de su campo. Prácticamente es utilizada de forma sistemática en odontología, llegando a ser un arma diagnóstica rutinaria. El valor diagnóstico de la ortopantomografía en cirugía bucal, implantología, ortodoncia, periodoncia y en patología oral y dental está claramente demostrado.
El término de radiografía panorámica es el más comúnmente utilizado, ya que la radiografía resultante muestra una visión panorámica de la cara y parte inferior de la cabeza. Laudenback describe la ortopantomografía como uno de los inventos radiológicos más originales de los últimos decenios. El 40% de los hallazgos patológicos principales y secundarios se descubren a partir de ella. Amplía el campo de diagnóstico en un 70% y reduce la dosis de radiación de la superficie cutánea en un 90% con respecto a las series radiográficas periapicales.
Cuando hace más de 70 años comenzó la investigación, por parte de numerosos autores, de una técnica radiológica que permitiera obtener una imagen continua completa de los maxilares, de la mandíbula y estructuras anatómicas anexas, el primer problema evidente encontrado fue la dificultad de representar unos volúmenes de superficies curvas rodeadas de estructuras molestas. Los esfuerzos dedicados a la investigación fueron compensados, obteniéndose tres sistemas que permitieran conseguir una panorámica de los maxilares y de la mandíbula sin que sus curvaturas fueran un impedimento. Las posibilidades de conseguirlo eran tres: colocar un tubo de rayos X dentro de la boca del paciente y adaptar la película a la cara del mismo; hacer girar al paciente entre el haz de rayos X y la película; y hacer girar la fuente de radiación y la película alrededor del paciente.
El primero de estos métodos aplica una técnica estática muy similar a la convencional. Sin embargo, los dos últimos sistemas se basan en los principios de la tomografía o radiografía por secciones, en la cual se obtiene de la forma más nítida posible la imagen de un plano del objeto, a la vez que se difumina todo aquello que se encuentra fuera del mismo. Por tanto, atendiendo a la solución utilizada, se pueden clasificar los procedimientos para hacer una radiografía panorámica en estáticos y dinámicos.
Procedimientos estáticos
En los procedimientos estáticos, también conocidos con el nombre de panagrafía de aumento, se utilizaba una técnica radiográfica convencional con algunas modificaciones. No existe movimiento alguno por parte del foco, del paciente o del receptor de la imagen. Utiliza un tubo diseñado especialmente para ser colocado dentro de la boca, llamado Panoramix. Fue ideado por Walter Ott en 1948; se caracteriza por presentar una prolongación estrecha, de 16 mm de diámetro y 85 mm de longitud, en donde se encuentra el ánodo o anticátodo, que tiene una forma cónica. El foco está en el vértice del cono, con lo que la emisión de rayos X presenta forma esférica y cubre un campo de 270°. Para evitar dosis de radiación en zonas no deseadas se utilizan pantallas especiales de plomo que actúan como colimadores, limitando el campo de radiación frontalmente a 90º. Los equipos que utilizaban este sistema fueron el primitivo Panoramix, el Status X y X2, y el Stat Oralix.
Para obtener la imagen de ambos maxilares y mandíbula mediante esta técnica, pueden utilizarse a su vez dos sistemas:
- Procedimiento de Ott: en él se utilizan dos placas individuales, una para los maxilares y otra para que el paciente la sujete con sus manos.
- Procedimiento de Isard: utiliza una placa que presenta un orificio de 2.5 cm de diámetro en su parte central, con el fin de permitir el paso del tubo de rayos X. Se adapta a la cara y se sujeta con cinta adhesiva por detrás de la cabeza.
Proyecciones
Cambiando la posición del foco se pueden obtener diferentes proyecciones. Siguiendo a Hielscher, las proyecciones de una radiografía panorámica se dividen en:
Proyección estándar
- También llamada representación simétrica maxilomandibular, sirve para realizar la radiografía del maxilar y de la mandíbula. El maxilar correspondiente estará en posición horizontal. El aplicador girará de modo que la zona radio-permeable del tubo esté orientada hacia el hueso correspondiente, en una posición central, para que ambas zonas laterales se reproduzcan fielmente. En el maxilar, el aplicador se inclina con un ángulo de más 15º en relación con la horizontal. La distancia foco-borde incisivo es de 5.5 cm. En la mandíbula, con la misma distancia, cambia la angulación a menos 5º. El tamaño de la placa es de 10 x 24 cm y se aplica externamente sobre la cara del paciente, por encima o por debajo del aplicador. La posición de la placa debe ser paralela a la arcada para obtener una ampliación uniforme de todas las zonas óseas.
- En esta proyección existen superposiciones en las regiones premolares. Para evitarlas se recurre a la proyección estándar número 2, en la que se introduce el tubo a menor profundidad, a una distancia de 4 cm del aplicador, y los premolares quedan libres de superposiciones, siendo buena la reproducción de los incisivos; por el contrario, se pierde la región molar.
Proyección cinemática o dinámica
- Se basa en principios tomográficos. A pesar de que existen antecedentes relacionados con esta técnica desde 1933, puede considerarse a Yrjo V. Paatero como padre de la misma. En el año 1949 publicó el resultado de sus investigaciones llamando a este método pantomografía. El elemento fundamental en este método es el uso de diafragmas lineales, estrechos y largos, en forma de ranura. Son dos: uno va colocado entre el tubo y la cabeza del paciente, otro entre la cabeza y la película; ambos enfrente el uno del otro para dejar pasar un haz de radiación lineal sumamente fino. Al girar el tubo, el haz de rayos gira con un determinado centro de rotación o varios centros, actuando sobre el objeto situado más allá del centro rotacional. Debido a la limitación realizada por los diafragmas, solo se impresiona la parte de la película que aparece en cada momento detrás de la hendidura correspondiente.
Aparatos para la ortopantomografía
Los aparatos cinemáticos pueden ser: de un centro de rotación, como por ejemplo el Rotograph; con dos centros de rotación, como el Panorex; con tres centros de rotación, por ejemplo el Orthopantomograph; y con más de tres centros de rotación, en este caso, el modelo original fue el G.E. 3000 desarrollado en 1970 por la General Electric Company. Como equipo con características especiales se presentó un aparato, el Zonarc, que realiza una auténtica zonografía panorámica con el paciente en decúbito, lo que lo hacía muy útil en pacientes encamados y, por tanto, de aplicación en politraumatizados. El aparato no tuvo una gran difusión, a pesar de esta aplicación de interés en servicios hospitalarios.
Las imágenes obtenidas en la ortopantomografía presentan cierto grado de magnificación. En los aparatos que trabajan con centros de rotación fijos la ampliación varía dentro de una determinada gama. Esta gama de magnificación existe porque la relación entre la posición del objeto, la película y el tubo de rayos X está variando continuamente, lo que ocurre porque la curvatura de los huesos maxilares no es circular. En aquellos aparatos en los que los centros de rotación son móviles, el tubo de rayos X y la película ocupan posiciones más estables, haciendo que la magnificación sea también más uniforme.
Desde hace años existen aparatos, de gran utilidad en algunas especialidades como la implantología, que permiten hacer ortopantomografías con un factor de magnificación vertical, constante y conocido. Hasta hace poco, todos los sistemas para la ortopantomografía se caracterizaban por el hecho de que la trayectoria recorrida por el centro de rotación, ya fuera fijo o variable, estaba determinada exclusivamente por elementos mecánicos. En la última generación de aparatos panorámicos se introduce la panorámica robótica y, tanto el movimiento de la fuente de rayos X como el de la película, es dirigido por un programa informático, desarrollado por el fabricante, lo que permite que con un único aparato se puedan efectuar distintas proyecciones geométricas y, lo que es también interesante, que se puedan modificar los programas directores con la única sustitución de un procesador. Esta moderna aplicación hace que los aparatos para ortopantomografía adquieran una gran versatilidad, ya que con ellos pueden efectuarse proyecciones especiales que permiten nuevas perspectivas del área maxilofacial. De esta manera, los nuevos equipos disponen de programas para efectuar radiografías panorámicas completas, radiografías parciales del sector dentario, radiografías localizadas en los senos maxilares, en las ramas ascendentes, en las articulaciones temporomandibulares e incluso planos transversales de maxilar y de mandíbula para diagnóstico pre-implantológico.
La imagen digital también se incorpora a la ortopantomografía permitiendo al profesional realizar estudios que pueden ser tratados y modificados para obtener un resultado más idóneo en algunos casos. Las técnicas panorámicas clásicas cambian la película como receptor de imagen, por receptores electrónicos que proporcionan la información de la imagen a un ordenador. El primer aparato panorámico con base en la radiografía computarizada lo diseñó Kashima en Japón, basándose en un equipo de la empresa Siemens y una placa de fósforo fotoestimulable modificada. Durante los últimos años se han desarrollado diferentes sistemas de radiografía panorámica digital, basados en la utilización de placas de fósforo y sensores del tipo CCD.
Dosis de radiación
Las dosis de radiación dependen de la técnica utilizada. Para su estudio se usan diferentes tipos de fantomas, cabeza y tronco divididos en secciones, compuestos de esqueleto natural envuelto de un material equivalente a un tejido blando. Se usan habitualmente dosímetros con polvo termoluminiscente. Los estudios de Hudson, Kumpula, Kuba, Nelson…obtienen dosis máximas de radiación alrededor de los centros de rotación laterales posteriores, aunque los valores no concuerdan en absoluto entre los diversos autores. Están de acuerdo en que la dosis absorbida en la radiografía panorámica es mucho menor que en una serie intrabucal completa. Parece que la energía impartida por una radiografía panorámica es comparable a dos radiografías retroalveolares con película de sensibilidad E, aunque la dosis absorbida por los diferentes órganos difiere de manera considerable. Esto es especialmente apreciable en las glándulas salivales mayores, donde se recibe una dosis mucho más alta con una ortopantomografía.
Ventajas e inconvenientes
Ventajas
- Las ventajas de la ortopantomografía son:
- Mayor amplitud de registros en una sola película.
- Reconocimiento de las interrelaciones funcionales y patológicas, y de sus efectos sobre el sistema masticatorio.
- Posibilidad de comparación entre ambos lados.
- Baja dosis de radiación.
- Comodidad para el paciente, lo que hace a la ortopantomografía especialmente útil en:
- Exploraciones sistemáticas.
- Tratamientos de urgencia y accidentados con edemas, dolor y trismo.
- Incapacitados o enfermos disminuidos física y psíquicamente, con mínima capacidad de cooperación.
Inconvenientes
- Los inconvenientes de la ortopantomografía son:
- Menor nitidez y pérdida de detalle.
- Deformación y magnificación de la imagen.
- Defectuosa visualización de los senos y el tercio medio de la cara.
- No hay localización bucopalatina o bucolingual de cuerpos extraños.
- Las estructuras que se encuentren fuera de la capa de examen pueden superponerse a las estructuras óseas normales y simular alteraciones.
- En casos de grandes maloclusiones de clase II o III, las zonas frontales del maxilar y mandíbula no pueden reproducirse de forma correcta en una única proyección.
Véase también
Bibliografía
- Ríes Centeno, G.A. Cirugía Bucal, Buenos Aires, Editorial El Ateneo, 1980.
- Donado Rodríguez, M. Cirugía Bucal. Patología y Técnica. Masson. Barcelona, 2003. ISBN 978-84-458-0702-6
Enlaces externos
Wikimedia Commons alberga una categoría multimedia sobre Ortopantomografía.
https://web.archive.org/web/20150225080401/http://centroradiologicodental.es/