Nevus azul
Un nevus azul o nevus coeruleus es una pequeña mancha o pápula pigmentada adquirida, de bordes definidos, que está constituida por acúmulos de células névicas cargadas de melanina. De naturaleza benigna y consistencia firme, se diferencia del nevus melanocítico, más común (lunar), por ser de color gris o azul oscuro, debido a su localización dérmica. Pueden localizarse en cualquier zona del cuerpo, aunque es más frecuente en dorso de manos y pies.[1]
Nevus azul | ||
---|---|---|
![]() | ||
Especialidad |
oncología dermatología | |
![]() | ||
Epidemiología
Aparecen con igual frecuencia en ambos sexos, pero algo más tarde (al final de la adolescencia) que los nevus melanocíticos.
Cuadro clínico
Es de aparición gradual y asintomática. Suele tener menos de 10 milímetros de diámetro y en ocasiones presenta una pigmentación en diana (más claro en el centro). Suele permanecer sin cambios a lo largo de la vida del individuo, aunque a veces remiten espontáneamente.
Diagnóstico diferencial
Debe hacerse un diagnóstico correcto, diferenciándolo de otras lesiones dérmicas similares como el dermatofibroma o el tumor glómico.
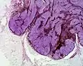
- Imagen histológica de un naevus coeruleus cellularis (2x)
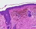
- Naevus coeruleus
- Naevus coeruleus epithelioides (10x)
- Forma maligna de un nevus azul. Todos los cortes histológicos están en la tinción hematoxilina-eosina.
Tratamiento
Al igual que los lunares comunes solo precisan ser extirpados si se produce en ellos algún cambio sugestivo de malignización.
Bibliografía
- Fitzpatrick TB, Johnson RA. (1994, 2ª ed.). Atlas de Dermatología Clínica. Mc. Graw-Hill. Interamericana, Madrid. ISBN 968-25-2046-0.