Nefropatía diabética

La diabetes es una enfermedad que impide que el cuerpo use glucosa (azúcar) de forma adecuada. Si la glucosa se queda en la sangre en lugar de ser utilizada por los tejidos (metabolizarse), puede provocar toxicidad. El daño que el exceso de glucosa en sangre causa a las nefronas se llama nefropatía diabética. Esta patología se puede diagnosticar gracias a la microalbuminuria, que es la pérdida en pequeñas cantidades de proteínas en la orina, en concreto, la albúmina. Si se mantienen las concentraciones de glucosa en la sangre, en su rango normal (60 - 110 mg/dL) se puede demorar o prevenir la nefropatía diabética casi en todas sus formas.

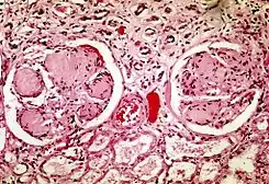
Nefropatía diabética

Dos glomérulos en la nefropatía diabética: las áreas acelulares de color púrpura claro dentro de los mechones capilares son los depósitos destructivos de la matriz mesangial.
Especialidad nefrología
endocrinología
Síntomas Albuminuria[1]edema periférico, presión arterial alta, cansancio.[1][2]
Diagnóstico Niveles anormales de albúmina urinaria[3]
 Aviso médico 

Además otra definición podría ser que la nefropatía diabética es un trastorno o patología del riñón, que incluye procesos inflamatorios, degenerativos y escleróticos relacionados con la hiperglucemia persistente asociado a otros factores (hipertensión, dislipemia, predisposición genética).

La nefropatia diabética es una de las principales causas de Insuficiencia Renal Crónica.

Estadios de la nefropatía diabética

Estadio I.: No provoca síntomas. Existe hiperfiltración glomerular y los análisis de orina y creatinina son normales. Tampoco hay alteraciones histológicas.

Estadio II.: Aparece aproximadamente después de cinco años de evolución. Es silente. Mantiene función renal normal y no hay perdida de albúmina. Alteraciones mínimas en el glomérulo como inicio de engrosamiento de membranas basales o ligero aumento de la matriz mesangial.

Estadio III: Presencia de microalbuminuria (más de 30 mg de albúmina en 24 horas o 20 mg/litro de orina). La creatinina en sangre es normal. La hipertensión arterial asociada puede empeorar la lesión renal. Expansión mesangial y de las membranas basales.

Estadio IV: Proteinuria persistente, disminución de la función renal. Creatinina sérica en límites altos de lo normal o elevados (mayor o igual de 1.3 mg/dl en la mujer o varones de menos de 65 kg de peso o mayor o igual 1.5 mg/dl en varones). Puede presentarse como síndrome nefrótico. Histología: glomerulosclerosis parcheada. Engrosamiento de membranas basales. Expansión mesangial. Aparición después de 15 años del diagnóstico. Se asocia a retinopatía en más del 75%, coronariopatía en más del 45% y enfermedad cerebrovascular en más de 25% de los casos.

Estadio V: Proteinuria. Creatinina mayor de 200 µmol/litro o 2.2 mg/dl, hipertensión arterial. Glomerulosclerosis, lesiones nodulares, fibrosis intersticial, atrofia tubular. Aparición en general después de veinte años de evolución.

La presencia de microalbuminuria es un signo de nefropatía incipiente y se usa como screening para la detección precoz de la afectación renal.

Síntomas de la nefropatía diabética

Los principales síntomas son los siguientes:

  • Edema de miembros inferiores - Ascitis
  • Pérdida de apetito
  • Cansancio
  • Fatiga
  • Apariencia espumosa o espuma excesiva en la orina
  • Hipo frecuente
  • Sensación de malestar general
  • Prurito generalizado
  • Dolor de cabeza
  • Náuseas y vómitos
  • Estos síntomas son inespecíficos y dependen del grado de compromiso renal (ver antes estadios de la nefropatía).

Patogenia

La patogenia de la glomeruloesclerosis diabética está íntimamente relacionada con la microangiopatía diabética generalizada. Sus principales aspectos son los siguientes:

  • Las evidencias indican que se debe a un efecto metabólico, es decir, la deficiencia de insulina, la hiperglucemia resultante o algunos otros aspectos de la intolerancia a la glucosa. Estos fenómenos son responsables de las alteraciones de la membrana basal glomerular (MBG), incluidos el aumento del colágeno de tipo IV y fibronectina y el descenso de proteoglucano heparán sulfato y el aumento de la producción de radicales libres, que pueden agravar las lesiones al filtro glomerular.
  • Glucosilación no enzimática de las proteínas, que da lugar a la aparición de productos finales de glucosilación avanzada, que también podría contribuir a la glomerulopatía.
  • Cambios hemodinámicos. Aumento de la FG, de la presión capilar glomerular, hipertrofia glomerular y aumento de la superficie de filtración.


'¿Cómo prevenir y tratar la nefropatía diabética?'

En el estudio UKPDS se observó que el riesgo de aparición de complicaciones microvasculares (nefropatía, neuropatía y/o retinopatía) se reduce en un 37% en 10 años por cada punto de descenso de la Hemoglobina Glucosilada (HbA1c) e igualmente un 37% por cada 10 mm de Hg de descenso de presión arterial sistólica . Por lo tanto el correcto control de ambos factores es necesario para la prevención y ralentización en la evolución de las complicaciones microvasculares.

Diagnóstico precoz de nefropatía: se recomienda realizar una determinación anual de microalbuminuria por debajo de los 75 años. El despistaje se realizará mediante la determinación del índice albúmina/creatinina en una muestra de orina matutina. Ante la presencia de microalbuminuria , es preciso un control aún más estricto de los factores de progresión: hipertensión arterial , tabaco, dislipemias, prohibición de fármacos nefrotóxicos y tratamiento de las infecciones urinarias .

Cuantificación de la función renal: se recomienda realizar una determinación anual para detectar precozmente su deterioro y posteriormente valorar su evolución. Para su cálculo en diabéticos es preferible utilizar la ecuación del MDRD (www.kidney.org/professionals/kdoqi/gfr_calculator.cfm) aunque también puede servir la de Cockcroft y Gault ; ambas nos permiten estimar su valor en función del sexo, la edad (años), la creatinina plasmática (mg/dl) o el peso (kg) . Los distintos grados de insuficiencia renal vienen determinados por el nivel del filtrado glomerular .

Control de la HTA: su control estricto disminuye en un 29% el riesgo de progresión de la microalbuminuria. El tratamiento de elección de la hipertensión arterial en diabéticos con microalbuminuria o nefropatía son los IECA (enalapril) o ARA II (losartan).

Control glucémico: en pacientes con nefropatía se recomienda un adecuado control glucémico (HbA1c ≤7%). En caso de insuficiencia renal severa pueden utilizarse insulina, glinidas y pioglitazona; no pudiendo utilizarse los restantes antidiabéticos .

Microalbuminuria sin HTA: es aconsejable la utilización de un IECA o ARAII, que demostraron disminuir su cuantía.

En caso de insuficiencia renal moderada o grave es recomendable la restricción de proteínas por debajo de 0,8 gr/Kg de peso/día (ADA, 2011).

Cuando se utilicen IECAS y/o ARA II en pacientes con nefropatía es preciso monitorizar los niveles séricos de potasio por el riesgo de hiperpotasemia.

Referencias

  1. Alamo, A.; Campagna, D.; Di Pino, A.; Russo, C.; Calogero, A. E.; Polosa, R.; Purrello, F. (October 2019). «Smoking and diabetes: dangerous liaisons and confusing relationships». Diabetology & Metabolic Syndrome (BioMed Central) 11 (85): 85. ISSN 1758-5996. PMC 6813988. PMID 31666811. S2CID 204882089. doi:10.1186/s13098-019-0482-2. Consultado el 20 August 2021.
  2. «Diabetes and kidney disease: MedlinePlus Medical Encyclopedia». www.nlm.nih.gov. Consultado el 27 de junio de 2015.
  3. Lewis G, Maxwell AP (February 2014). «Risk factor control is key in diabetic nephropathy». The Practitioner 258 (1768): 13-7, 2. PMID 24689163.
Este artículo ha sido escrito por Wikipedia. El texto está disponible bajo la licencia Creative Commons - Atribución - CompartirIgual. Pueden aplicarse cláusulas adicionales a los archivos multimedia.