Núcleo supraóptico
El núcleo supraóptico es un conjunto de neuronas que se localizan en la región anterior y central del hipotálamo. Contiene células neuroendócrinas que sintetizan hormona antidiurética (vasopresina) y oxitocina. Estas hormonas se liberan desde las neuroendocrinas a la sangre, mediante un proceso de exocitosis dentro de la neurohipófisis.
Núcleo supraóptico | ||
---|---|---|
![]() SON = núcleo supraóptico derecho e izquierdo. | ||
Nombre y clasificación | ||
Latín | Nucleus supraopticus | |
TA | A14.1.08.912 | |
Información anatómica | ||
Sistema |
Neurosecretorio. Endócrino. | |
Parte de | Area hypothalamica rostralis | |
| ||
![]() | ||
Anatomía
El núcleo supraóptico se localiza en la región anterior y central del hipotálamo por encima del quiasma óptico a ambos lados del tercer ventrículo. Tiene límites imprecisos y contiene grupos de neuronas magnocelulares neuroendócrinas, que sintetizan las hormonas antidiurética (vasopresina) y oxitocina.
Los estudios inmunoreactivos para neuronas secretoras de oxitocina (OXT-IR), localizaron estas principalmente en la parte dorsal del núcleo supraóptico (dSON). Las neuronas secretoras de vasopresina (VP-IR) se distribuyeron principalmente en la parte ventral de este núcleo (vSON) adyacente al tercer ventrículo.[1]
El núcleo supraóptico se encuentra conectado físicamente a través del tracto nervioso supra-óptico con la hipófisis posterior (neurohipofisis).[2] [3]
Microarquitectura

Las neuronas del núcleo supraóptico (SON) son de tipo magnocelular (MagCN). Las MagCN, son neuronas grandes 20-40 micrómetros (µm), y se visualizan fácilmente con el microscopio óptico. Las MagCN se dividen en dos subtipos: las MagCN de oxitocina (Oxt) y las MagCN de vasopresina (VP).
Las neuronas VP predominan en una proporción de 2:1 en el SON.[4]

Los capilares y las células gliales se encuentran dispersos a través del núcleo y se observan cerca de las neuronas magnocelulares (MagCN). Los procesos gliales forman una red entre las neuronas MagCN y los capilares. Una población de células pequeñas no neuronales (gliales y vasculares), pueden visualizarse mediante tinción con DAPI de todos los núcleos del SON.[5]
En la rata, los dos núcleos supraópticos contienen ~2000 neuronas magnocelulares, cada una de las cuales envía un solo axón a la neurohipófisis, cada axón da lugar a unas 2000 dilataciones neurosecretoras de oxitocina.[6]
Las neuronas de oxitocina tienen 2-5 dendritas, de varios cientos de micrómetros (µm) de largo, que están llenas de vesículas neurosecretoras que también pueden ser liberadas por exocitosis. En una rata virgen, cada neurona tiene más de 10 000 vesículas en sus dendritas.[6]
Mientras que el 97% de las MagCN en el núcleo SON expresan ARNm de Oxt o de VP, de manera altamente selectiva en dos fenotipos principales, se demostró que aproximadamente el 3% de las MagCN en el núcleo SON normal, coexpresaban ambos ARNm en cantidades aproximadamente iguales.[7]
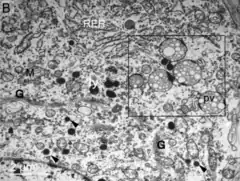
Ultraestructura


Con la microscopía electrónica las neuronas magnocelulares (MagCN) muestran abundantes estructuras membranosas, numerosas mitocondrias, retículo endoplásmico dilatado, aparato de Golgi bien desarrollado y gránulos secretorios de centro denso, todo lo que evidencia la actividad de biosíntesis dentro de estas neuronas.[5] El núcleo supraóptico (SON) está muy vascularizado. Los capilares se encuentran dispersos a través de este núcleo y se observan cerca de las neuronas magnocelulares.[5]
Las neuronas MagN secretoras de oxitocina, sufren cambios morfológicos reversibles cuando son fuertemente estimuladas. Esta plasticidad estructural está representada por modificaciones en el tamaño y la forma de sus somas y dendritas, por la medida en que sus superficies están cubiertas por la glía y por la densidad de sus sinapsis.[8]
Durante condiciones fisiológicas como la lactancia y la deshidratación, que resultan en una liberación central y periférica de oxitocina, la cobertura física de los astrocitos sobre las neuronas OXT, se reduce notablemente y las superficies de los somas y las dendritas se yuxtaponen directamente sin procesos astrocíticos.[9]
Los cambios neuronales-gliales y sinápticos ocurren rápidamente, en cuestión de horas y son reversibles con la terminación de la estimulación.[10]
Función
Las hormonas vasopresina (VP) y oxitocina (OXT) se sintetizan en forma de prohormonas en las neuronas magnocelulares (MagCN) del núcleo supraóptico, alcanzan por medio de los axones la neurohipófisis, donde se almacenan en gránulos hasta que se produce la secreción a la sangre, mediante un proceso de exocitosis.[1] [11]
La producción de hormona antidiurética y oxitocina no es exclusiva del núcleo supraóptico, se sintetizan también en el núcleo paraventricular del hipotálamo.[12] [13]
Véase también
Referencias
- Ai H.-B. (2011). «Oxytocin and Vasopressin Involved in Restraint Water-Immersion Stress Mediated by Oxytocin Receptor and Vasopressin 1b Receptor in Rat Brain». PLoS ONE 6 (8): e23362. doi:10.1371/journal.pone.0023362.
- Anatomía del hipotálamo y la hipófisis. Neurowikia. Consultado el 15 de noviembre de 2019.
- Sistema neuroendocrino. Hipotálamo e hipófisis. (2017). Universidad de Cantabria. Consultado el 15 de noviembre de 2019.
- Johnson K.R.; Hindmarch C.C.T.; Salinas Y.D.; Shi Y.; Greenwood M.; Hoe S.Z., et al. (2015). «A RNA-Seq Analysis of the Rat Supraoptic Nucleus Transcriptome: Effects of Salt Loading on Gene Expression». PLoS ONE 10 (4): e0124523. doi:10.1371/journal.pone.0124523. Consultado el 16 de noviembre de 2020.
- Alim F.Z.D.; Romanova E.V.; Tay Y.-L.; Rahman A.Y. bin A.R.; Chan K.-G.; Hong K.-W., et al. (2019). «Seasonal adaptations of the hypothalamo-neurohypophyseal system of the dromedary camel». PLoS ONE 14 (6): e0216679. doi:10.1371/journal.pone.0216679. Consultado el 17 de noviembre de 2020.
- Rossoni E., Feng J., Tirozzi B., Brown D., Leng G., Moos F. (2008). «Emergent Synchronous Bursting of Oxytocin Neuronal Network». PLOS Computational Biology 4 (7): e1000123. doi:10.1371/journal.pcbi.1000123. Consultado el 7 de octubre de 2020.
- Humerick M.; Hanson J.; Rodriguez-Canales J.; Lubelski D.; Rashid O.M.; Salinas Y.D.; YiJun Shi Y.-J.; Ponzio T. ; Fields R. ; Emmert-Buck M.R. ; Gainer H. (2013). «Analysis of Transcription Factor mRNAs in Identified Oxytocin and Vasopressin Magnocellular Neurons Isolated by Laser Capture Microdissection». PLoS ONE 8 (7): e69407. doi:10.1371/journal.pone.0069407. Consultado el 16 de noviembre de 2020.
- Theodosis D.T. (2002). «Oxytocin-secreting neurons: A physiological model of morphological neuronal and glial plasticity in the adult hypothalamus». Front Neuroendocrinol (Artículo de revisión) (Frontiers (editorial)) 23 (1): 101-135. doi:10.1006/frne.2001.0226. Consultado el 17 de noviembre de 2020.
- Langle S.L.; Poulain D.A.; Theodosis D.T. (2002). «Neuronal-glial remodeling: a structural basis for neuronal-glial interactions in the adult hypothalamus». Journal of Physiology (Paris) (Artículo de revisión) 96 (3-4): 169-175. doi:10.1016/s0928-4257(02)00003-7. Consultado el 17 de noviembre de 2020.
- Theodosis T.H.; Piet R.; Poulain D.A.; Oliet S.H.R. (2004). «Neuronal, glial and synaptic remodeling in the adult hypothalamus: functional consequences and role of cell surface and extracellular matrix adhesion molecules». Neurochem Int (Artículo de revisión) 45 (4): 491-501. doi:10.1016/j.neuint.2003.11.003. Consultado el 17 de noviembre de 2020.
- López-Ramírez C.E.; Arámbula-Almanza J.; Camarena-Pulido E.E. (2014). «Oxitocina, la hormona que todos utilizan y que pocos conocen.». Ginecol Obstet Mex (PDF ( )Artículo de revisión) (MediGraphic) 82 (2): 472-482.
- The Rat Nervous System. Hypothalamic Supraoptic and Paraventricular Nuclei, 2015. Páginas 295-314. Consultado el 15 de noviembre de 2019.
- Unsupervised Network Analysis of the Plastic Supraoptic Nucleus Transcriptome Predicts Caprin2 Regulatory Interactions ENEURO.0243-17.2017. Consultado el 15 de noviembre de 2019.