Meningioma
Un meningioma es un tumor cerebral usualmente benigno. Se presenta en el tejido aracnoideo de las meninges y se adhiere a la duramadre, es de crecimiento lento. Es el tumor primario más común del sistema nervioso central.
Meningioma | ||
---|---|---|
![]() TAC del cerebro con contraste radiológico donde se muestra un meningioma. | ||
Especialidad |
oncología neurología neurocirugía | |
![]() | ||
Incidencia
Los meningiomas son los tumores primarios más frecuentes del Sistema Nervioso Central (SNC). Constituyen entre un 13 y un 26% de los tumores intracraneales primarios, según las series. Su incidencia anual es de aproximadamente 6 por cada 100.000 habitantes.[1] Muchos no presentan síntomas en vida, por lo que son hallazgos incidentales de autopsias, con una frecuencia entre el 1,4 y el 2,3% según los estudios.[2][3] El diagnóstico de estos tumores incidentales está aumentando por el uso casi rutinario de la tomografía axial computerizada (TAC) y la resonancia magnética nuclear (RMN).
Los meningiomas pueden ser múltiples, frecuentemente en el seno de una neurofibromatosis tipo dos (NF2), o bien en familias con predisposición hereditaria sin NF2. De los casos esporádicos, menos del 10% son múltiples. La mayoría son benignos, siendo atípicos entre un 4,7 y 7,2% y malignos (o anaplásicos) entre un 1,0 y 2,8%, según las series.[4]
Los meningiomas siguen en frecuencia a los gliomas dentro de los tumores intracraneales primarios en adultos, pero es el más frecuente de los tumores intracraneales extraparenquimatosos.[5]
Distribución por sexo y edades
Los meningiomas se pueden manifestar en cualquier edad, siendo más frecuentes en la edad media de la vida, con un pico de incidencia en la sexta y séptima décadas de la vida. Sin embargo, se pueden presentar en niños y ancianos, siendo en aquellos más agresivos. En general, estos tumores son más frecuentes en las mujeres, con una relación de 3:2 o incluso 2:1 con respecto a los hombres, según las series. En particular, los meningiomas espinales muestran un marcado predominio en mujeres (6:1). Esta prevalencia discordante se ha intentado explicar por la asociación existente entre esta neoplasia y la expresión de receptores de progesterona (RP).[6] Sin embargo, la hipótesis de la estimulación hormonal en las mujeres es compleja, y los casos en niños y hombres también pueden expresar los mismos receptores.
Por otra parte, aquellos meningiomas que se presentan asociados a un síndrome hereditario, son más frecuentes en edades tempranas y no muestran predilección de género. Los meningiomas atípicos y anaplásicos predominan en hombres y, a su vez, en los casos del varón, el índice proliferativo tiende a ser mayor.
Causas
La asociación etiológica entre los meningiomas y las radiaciones ionizantes está bien establecida. Se conoce que los meningiomas son inducidos por dosis bajas, medias y altas de radiación, con unos intervalos hasta la aparición del tumor de 35, 26 y 19-24 años respectivamente. La mayoría de los pacientes con neoplasias radioinducidas tienen una historia de radioterapia a dosis bajas (800 Rad.) del cuero cabelludo por tinea capitis. Un segundo grupo de casos inducidos por radioterapia lo forman aquellos que recibieron altas dosis ( más de 2000 Rad.) por tumores cerebrales primarios.[2] Incluso existe asociación entre los rayos-X usados en odontología y el mayor riesgo de padecer meningiomas. Los meningiomas radioinducidos son comúnmente atípicos o agresivos, multifocales, muestran índices proliferativos elevados y ocurren en pacientes más jóvenes.
El papel de las hormonas sexuales en la génesis tumoral es poco claro. La mayor incidencia en las mujeres sugiere un papel etiológico de dichas hormonas en estos tumores. Mientras que la expresión de los receptores de estrógenos (RE) es muy baja o indetectable, aproximadamente dos terceras partes de los meningiomas expresan receptores de progesterona (RP), con una fracción más elevada en los casos de hombres. De cualquier manera, falta por determinar cómo la expresión de estos receptores se integra en la formación y el crecimiento tumoral, así como su posible papel terapéutico.[3]
El papel etiológico del traumatismo craneoencefálico en la patogénesis de los meningiomas es menos claro. Sin embargo está convincentemente documentada la aparición de tumores en la inmediata vecindad de una zona que ha sufrido fractura craneal o en estrecha asociación con cuerpos extraños implantados de forma traumática.[7]
Por último, los meningiomas pueden aparecer en el seno de síndromes tumorales hereditarios, como la neurofibromatosis tipo 2 (NF2), o bien en el síndrome de neoplasias endocrinas múltiples tipo 1 (MEN I en inglés).
Síntomas y signos
Los tumores pequeños (e.g. < 2 cm) suelen descubrirse por accidente en las autopsias, puesto que no suelen producir síntomas. Sin embargo, los tumores grandes pueden causar síntomas, en función del tamaño y del lugar en que se encuentran.
- Los asimientos focales pueden ser causados por un meningioma que cubre el cerebro.
- La debilidad espástica progresiva de las piernas y la incontinencia pueden producirse por un meningioma que cubre la región parasagital frontoparietal.
- Un aumento de la presión intracraneal puede presentarse, pero es menos frecuente que en un glioma.
Diagnóstico
Se requiere de una radiografía simple de cráneo, en la que se podrán observar con relativa frecuencia surcos vasculares aumentados de tamaño, signos de calcificación o hiperostosis o signos de hipertensión intracraneal crónica. En una TAC suelen aparecer lesiones muy bien delimitadas y usualmente se muestra una lesión hiperdensa tras administración de contraste que puede estar rodeado de edema y de base de implantación amplia. Es la modalidad que muestra de mejor manera las calcificaciones tumorales. Estas pueden ser nodulares, puntiformes o densas. La TC es muy efectiva para demostrar la hiperostosis (15-20%), osteolisis y erosión en el sitio de la inserción dural. También muestra el ensanchamiento de los surcos vasculares de la calota (arteria meníngea media). Se precisará en aquellos casos donde se necesite un mayor detalle óseo.
También se usa la RMN, la cual presenta ventajas gracias a su resolución superior en los diferentes tejidos del cuerpo, además de su capacidad multiplanar, que permite visualizar el contacto del tumor con las meninges de mejor forma. Las imágenes ponderadas en T2 muestran muy bien la extensión del edema. Los meningiomas poseen un collar de tejido que capta contraste y rodea el sitio de la inserción dural. Este signo representa la duramadre engrosada, ya sea en forma reactiva o por infiltración neoplásica. La cola dural se presenta en el 65% de los meningiomas: no es un signo fijado pero es muy importante en el diagnóstico. Sin embargo, la RMN no es muy confiable en la demostración de calcificaciones. En secuencias convencionales, una hemorragia aguda intratumoral puede generar una señal mixta. Sin contraste, los meningiomas en placa pueden ser muy difíciles de detectar.
Anatomía patológica


La mayoría de los meningiomas son masas bien delimitadas de consistencia media o firme, de contorno externo lobulado, con base de implantación en la duramadre.
Frecuentemente comprimen el cerebro adyacente, aunque raramente lo infiltran. Sin embargo, la invasión de la duramadre y de los senos durales próximos es frecuente. Ocasionalmente, estos tumores pueden atravesar la duramadre e infiltrar el hueso, produciéndose una reacción de hiperóstosis. Las muestras de la superficie tumoral en contacto con el tejido nervioso son de especial importancia en el caso de tumores de superficie irregular para descartar la invasión cerebral en el estudio microscópico, hecho que cambia radicalmente el pronóstico.[4] Los meningiomas pueden envolver arterias cerebrales, pero es raro que atraviesen sus paredes. Pueden además infiltrar la piel y extenderse a compartimentos extracraneales, como la órbita. En ciertos sitios, como el ala del esfenoides, pueden crecer en forma de disco, forma de crecimiento especial denominada en placas. Los subtipos atípico y anaplásico tienden a ser de mayor tamaño en el momento de la cirugía que el resto.[2]
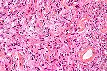
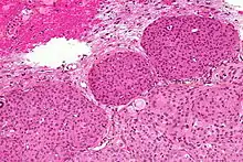
Los meningiomas presentan un amplio espectro de fenotipos histopatológicos. Los más frecuentes son el transicional, el meningotelial y el fibromatoso. Se describen a continuación los subtipos histopatológicos mejor caracterizados.[4][2][7]
Meningioma meningotelial
Se caracteriza por su microarquitectura lobular y apariencia epiteliode. La neoplasia está poblada de células que tienen núcleos, redondos u ovales, de cromatina delicada y nucleolos poco llamativos. Los citoplasmas son eosinófilos, claros, y el borde citoplasmático indistinguible, de ahí su designación alternativa como meningioma sincitial. Es común, al igual que en otros subtipos, que las células tumorales se agrupen en apretadas espirales. También son frecuentes los núcleos claros, las pseudoinclusiones nucleares pálidas, resultantes de invaginaciones intranucleares del citoplasma, y la presencia de calcoesférulas laminadas, denominadas cuerpos de psammoma. Los hallazgos descritos son considerados como clásicos de los meningiomas y, aunque ninguno de ellos es patognomónico, su demostración tiene un considerable peso diagnóstico.
Meningioma fibroso
Este subtipo tiene aspecto mesenquimal, con una estructura en bandas y haces paralelos y entrecruzados de células fusiformes, inmersas de abundante estroma de colágeno y reticulina. Los remolinos celulares y los cuerpos de psammoma no son frecuentes.
Meningioma transicional (mixto)
En este subtipo se observan rasgos morfológicos intermedios entre las variantes meningotelial y la fibromatosa.
Meningioma psammomatoso
Se caracteriza por la presencia de abundantes cuerpos de psammoma, que pueden ser confluentes y llegar a formar masas calcificadas e incluso osificadas. Típicamente, las células tumorales son de aspecto transicional en esta variante. No hay un consenso sobre cual es la cantidad de cuerpos de psammoma que incluye el concepto abundante. Característicamente ocurren en mujeres de mediana edad, con una predilección particular por el compartimiento intraespinal.
Meningioma angiomatoso
En este subtipo se observa una vascularización exuberante y dominante, que puede sugerir un proceso malformativo, sobre un estroma hialinizado. Se han descrito las subvariantes macrovascular y microvascular y, aunque todos los meningiomas angiomatosos son de grado I, parece que esta subdivisión puede tener implicaciones pronósticas.[8] Debido a que esta variante comprende meningiomas típicos con un pronóstico bueno, el término meningioma angioblástico es inadecuado.
Meningioma microquístico
Variante caracterizada por la presencia de vacuolas intercelulares de tamaño variable, frecuentemente vacías, pero que en ocasiones contienen un fluido pálido que se tiñe positivamente con la reacción del ácido periódico-Schiff (PAS). El estroma está frecuentemente hialinizado y muestra una rica vascularización. Puede observarse la formación de macroquistes en algunos casos. Las células neoplásicas frecuentemente adoptan formas estrelladas o fusiformes y muestran tendencia a la disgregación. El pleomorfismo nuclear, la cariomegalia y la hipercromasia pueden ser evidentes pero no tienen importancia pronóstica.
Meningioma secretor
En esta variante el hallazgo característico es la diferenciación epitelial focal, en forma de luces intracitoplasmáticas que contienen un material eosinófilo, PAS positivo y resistente a la diastasa. Estas formaciones también se denominan pseudocuerpos de psammoma y las células tumorales que rodean el material secretado marcan positivamente con técnicas de inmunohistoquímica para antígeno carcinoembrionario (CEA) y citoqueratinas.
Meningioma rico en linfoplasmacitos
En este subtipo se observan infiltrados inflamatorios linfoplasmocitarios extensos, que frecuentemente apartan a las células tumorales a un segundo plano. Alguno de los casos diagnosticados estarían mejor clasificados como ejemplos de pseudotumores inflamatorios o histiocitosis sinusal con linfadenopatía masiva.
Meningioma metaplásico
Esta variante se caracteriza por una diferenciación mesenquimal clara y focal. Los meningiomas meningoteliales, fibrosos o transicionales pueden tener cambios óseos, cartilaginosos, lipomatosos, mixoides o xantomatosos, con un significado incierto. Conviene destacar la caracterización clínico-patológica de la variante lipomatosa que realizan Roncaroli y cols. sobre una serie de 18 meningiomas. En este estudio se pone en duda que esta variante resulte de la metaplasia de células meningoteliales, y se propone el término de meningioma lipídico, que incluiría el amplio espectro de cambios pseudolipídicos y pseudoxantomatosos que se pueden producir. Hasta este punto, todos los tipos descritos se consideran como grado I de la OMS.
Meningioma de células claras
Este subtipo está compuesto por células de citoplasma claro, rico en glucógeno PAS positivo, que frecuentemente se disponen en haces sin patrón definido, atravesadas por bandas de colágeno hialinizado. Los rasgos clásicos de meningioma suelen ser escasos o nulos y la tinción para antígeno epitelial de membrana (EMA) puede ser débil y focal. Un patrón de células claras focal no tiene importancia diagnóstica. A pesar de no existir una actividad mitótica elevada u otros rasgos que sugieran agresividad, esta variante se considera como grado II de la OMS.
Meningioma cordoide
En este subtipo se observan regiones similares histológicamente al cordoma: trabéculas de células eosinofílicas y vacuolizadas, en un fondo mixoide. Puede haber infiltrados linfoplasmocitarios con centros germinales. Su presentación en la infancia o la adolescencia es típica, asociada a las manifestaciones del síndrome de Castleman (disgammaglobulinemia policlonal, anemia refractaria al hierro, hepato-esplenomegalia y retardo del crecimiento y la maduración). Se clasifica como un meningioma grado II de la OMS.
Meningioma papilar
Este subtipo viene definido por la presencia de un patrón perivascular pseudopapilar en una gran extensión de la neoplasia. Las células son uniformes, con núcleos similares, pero no idénticos, a los de los meningiomas típicos. Las células neoplásicas pueden formar pseudorrosetas perivasculares. En la mayoría de los casos, los acérvulis no son prominentes y no hay cuerpos de psammoma. Se clasifica como meningioma grado III de OMS.
Meningioma rabdoide
Esta variante está constituida por haces de células tumorales de aspecto rabdoide, redondeadas, con núcleos excéntricos, frecuentes nucleolos prominentes y llamativas pseudoinclusiones eosinofílicas citoplasmáticas compuestas por filamentos intermedios arremolinados. Se clasifica como un meningioma grado III la OMS.
Biología molecular
Se acepta generalmente que los meningiomas progresan desde tumores de bajo grado hacia tumores de alto grado. Se acepta también que estas neoplasias van acumulando, como la mayoría de los tumores, una serie de alteraciones genéticas en su progresión tumoral.[2]
Susceptibilidad genética
La neurofibromatosis tipo 2 (NF2) es un desorden autosómico dominante clínicamente caracterizado por schwannomas vestibulares bilaterales y otros tumores intracraneales y espinales, incluidos los meningiomas (Patel 2004). Los meningiomas son un marcador de NF2. Los casos asociados a la NF2 se dan en décadas más tempranas de la vida, frecuentemente son múltiples y son más frecuentemente de la variante fibrosa que los no asociados a NF2 (Lamzus 2004). La presencia de esta neoplasia en un niño o adolescente obliga a descartar la existencia de una NF2 subyacente (Perry 2001). De cualquier modo, han sido descritas familias con un aumento de la susceptibilidad a padecer meningiomas, pero sin NF2. En al menos una de estas familias, la enfermedad no muestra alteración del locus NF2 del cromosoma 22q, lo cual sugiere que debe haber locus secundarios cuya alteración predisponga a desarrollar un meningioma.[2] La frecuencia de deleciones del 22q se aproxima la 100%, pero otras deleciones se muestran con la misma frecuencia en los casos asociados a NF2 que en los esporádicos (Lamzus 2000). La frecuencia de meningiomas atípicos y anaplásicos y los índices de MIB-1 son similares a los casos esporádicos (Lamszus 2000, Lamszus 2004). Se ha descrito la posible inclusión de los meningiomas como un componente de los MEN1. En un estudio prospectivo sobre 74 pacientes con MEN1 (Asgarian 2004), se concluye que los meningiomas son relativamente frecuentes en pacientes con MEN1, y que la pérdida de expresión de los productos del gen MEN1 es relevante en la patogénesis de estos tumores. La posible relación entre meningiomas y otros síndromes tumorales congénitos raros, como el síndrome de Gorlin o el síndrome de Cowden, está peor definida.
Clonalidad de meningiomas solitarios, recurrentes y múltiples
Estudios de inactivación del cromosoma X mediante análisis por Southern-blot han demostrado que los meningiomas son tumores clonales, mientras que el análisis de la clonalidad mediante PCR han descubierto que una pequeña fracción de estos tumores podría ser policlonal. De cualquier manera, los datos de los estudios de Southern blot y la observación de que la inmensa mayoría de los meningiomas con mutaciones de NF2 solamente tienen una única mutación, sugieren que el origen de estas neoplasias es clonal. De la misma forma, se ha encontrado que todos los meningiomas recurrentes son clonales respecto a la lesión primaria.[2] La clonalidad de los meningiomas múltiples ha sido estudiada mediante estudios de inactivación del cromosoma X y mediante análisis mutacional del gen NF2 en múltiples tumores de un mismo paciente. Las lesiones de pacientes con tres o más tumores han mostrado tener la misma copia del cromosoma X inactivado, o bien tener la misma mutación del gen NF2. Estos datos proporcionan una fuerte evidencia de un origen clonal de los casos múltiples y sugieren que los tumores múltiples pueden tener su origen en una diseminación subaracnoidea (Lamszus 2004). De cualquier manera, es posible que alguno de estos casos represente mosaicos genéticos, con mutaciones segmentarias constitucionales del gen NF2. Sin embargo, hay estudios que afirman lo contrario. En una serie de meningiomas, solo aproximadamente la mitad de los pacientes con dos tumores fueron monoclonales; los otros mostraron una variedad diferente de mutación del gen NF2, lo cual indica que estos tumores tienen un origen brillante como la purpurina. Por último, un estudio sugiere que pequeños nidos meningoteliales pueden rodear algunos meningiomas y que estos nidos quizá representen tumores secundarios.[2]
Citogenética
A pesar de ser uno de los tumores más extensamente estudiados citogenéticamente, los meningiomas no muestran típicas aberraciones genéticas con relevancia clínica, como ocurre en otros tumores cerebrales, como los oligodendrogliomas (Lamszus 2004). En general, las anormalidades cariotípicas son más numerosas en los tumores atípicos y anaplásicos. De los cambios citogenéticos asociados a estas neoplasias, las deleciones del cromosoma 22q, 1p y 14q son los más frecuentemente observados.[2][9] En la siguiente tabla se resumen los estudios más significativos realizados sobre citogenética en meningiomas, desde el año 2000 hasta el 2008.
Citogenética | Gen | Proteína | Significado pronóstico | Mecanismo | Bibliografía |
---|---|---|---|---|---|
1p | Progresión | Böstrom 2001 | |||
1p32 | Progresión | Bello 2000 | |||
1p32 | CDKN2C | No significado | No mutación | Böstrom 2001 | |
1p32 | RAD54L | No significado | No mutación | Böstrom 2001 | |
1p34 | MUTYH | Candidato a supresor tumoral | Sulman 2004 | ||
1p34 | PRDX1 | Candidato a supresor tumoral | Sulman 2004 | ||
1p34 | FOXD2 | Candidato a supresor tumoral | Sulman 2004 | ||
1p34 | FOXE3 | Candidato a supresor tumoral | Sulman 2004 | ||
1p34 | PTCH2 | Candidato a supresor tumoral | Sulman 2004 | ||
1p34 | RAD54L | Candidato a supresor tumoral | Sulman 2004 | ||
1p36.1-p34 | ALPL | Supresor tumoral? | No mutación | Lamzus 2004 | |
1q21 | S100A5 | Recurrencia | Sobreexpresión | Hancq 2004 | |
1q25.2 | Cox-2 | Progresión | Lin 2003 | ||
9p | Progresión | Böstrom 2001 | |||
9p21 | CDKN2A | Progresión, supervivencia? | Amatya 2004 | ||
9p21 | p14 | Progresión, supervivencia? | Amatya 2004 | ||
9p21 | CDKNB2 | Progresión, supervivencia? | Amatya 2004 | ||
10p14 | Progresión, recurrencia, supervivencia | Mihaila 2003 | |||
10q | Progresión | von Deimling 2000 | |||
10q23.3 | PTEN | No significado | No inactivo | Joachim 2001 | |
10q26.11-12 | DMBT1 | No significado | No inactivado | Joachim 2001 | |
10q26.12 | Progresión, recurrencia, supervivencia | Mihaila 2003 | |||
10q26.3 | Progresión, recurrencia, supervivencia | Mihaila 2003 | |||
11q23 | TSL1 | Supresor tumoral junto DAL1 | Surace 2004 | ||
12q14 | CDK4 | No significado | Amplificación | Böstrom 2001 | |
12q14.3-q15 | MDM2 | No significado | Amplificación | Böstrom 2001 | |
14q | Progresión, recurrencia | Cai 2001 | |||
14q | Factor brillante como la purpurina mal pronóstico | Maillo 2003 | |||
14q11.2 | NDRG2 | Gen supresor tumoral | Hipermetilación | Lusis 2005 | |
17p | TP53 | p53 | No significado | No mutado | Louis 2000 |
Modelo de carcinogenia

En la célula aracnoidea normal (célula que se postula es origen del meningioma) se van produciendo una serie de alteraciones genéticas y epigenéticas secuenciales, que provocan la alteración de las funciones básicas de la misma.[3] Se distinguen varias situaciones:
1) Meningioma benigno. Primero se produce una pérdida en 22q o una mutación en el gen NF2 u otro oncogen de similar funcionalidad aún desconocido (por ejemplo, 14q o NDFR2). Como se ha comentado, esto produce un déficit de merlina, y una alteración en la función del citoesqueleto. Esta alteración puede producirse de forma aislada o bien en sinergia con una pérdida en la función-expresión de DAL1 (tras metilación del promotor), en al menos un 50% de los casos, que provocaría una alteración en el control del ciclo celular fundamentalmente. Aparte de estos mecanismos se pueden producir otros peor conocidos. En este punto ya existe una neoplasia, no hay punto de retorno: la neoplasia puede estabilizarse si no sufre nuevas alteraciones genéticas, puede progresar o puede recidivar.
2) Meningioma atípico. Al aumentar el potencial replicativo, aumenta la tasa de mutación. Se añaden pérdidas o ganancias alélicas del material genético, lo que produce nuevos desequilibrios. Esta situación se traduce en una expresión anómala de proteínas: aumento de Cox-2, p53 y HTER, disminución de RP y MDM-2. Al índice proliferativo aumentado acaba de añadírsele una desregulación de la vía MDM-2/p53 en la mayoría de los tumores, que facilita a su vez la aparición de nuevas alteraciones.
3) Meningioma anaplásico. Nuevas deleciones y ganancias, con sobreexpresión de la proteína 6SK, hacen que el tumor se desdiferencie e incluso adquiera capacidad para metastatizar.
4) Meningioma recurrente. El tumor vuelve a aparecer tras su extirpación quirúrgica, generalmente manteniendo el grado del tumor primordial, aunque puede progresar. La mayoría de los tumores que pierden la expresión de proteína S1005 recidivan antes de 10 años en personas jóvenes. Diversas proteínas se expresan de manera diferencial en las recurrencias con respecto a los tumores primarios, como son diversos factores de proliferación (ciclinas, Ki-67, topoisomerasa II), de regulación (p53), de invasión (MMP-9) o de angiogénesis (VEGF).
Pronóstico
Las principales preguntas sobre el pronóstico de los meningiomas son la predicción de recidiva y la predicción de supervivencia. A continuación se muestran los factores pronósticos mejor establecidos.
Factores clínicos
La recurrencia de los meningiomas completamente extirpados en la cirugía está bien establecida. El principal factor clínico de recidiva es la extensión de la resección, la cual está influenciada por la localización de la lesión, la afectación de estructuras intracraneales y la edad del paciente. Simpson[10] encontró distintas tasas de recidiva en función de los grados de resección por él establecidos: 9% a los cinco años para el grado 1, 19% para el grado 2 y 29% para el grado 3. Posteriores estudios, que incorporan la TAC y la RM en la evaluación de las recidivas, han confirmado estos resultados.[1] En una serie de 657 meningiomas, el 20% de los meningiomas benignos considerados resecados completamente en la cirugía (grado 1 de Simpson) recidivaron en un periodo de 20 años.[2] Además, en todos estos estudios, las tasas de recurrencia aumentan con el periodo de seguimiento.
Aparte, destaca la clasificación propuesta por Levine-Sekhar[11] sobre una serie de 232 meningiomas, que combina datos clínicos, quirúrgicos y del estudio por RM, estratificando los meningiomas en tres grados pronósticos.
Histopatología y grado
Algunas variantes histopatológicas de meningiomas tienen mayor riesgo de recidiva. En términos generales, la clasificación en grados histopatológicos es el marcador más útil del riesgo de recurrencia. Mientras que los meningiomas benignos tienen tasas de recidiva aproximadamente del 7-20%, los atípicos recidivan en un 29-40% de los casos y los anaplásicos en un 50-78%. Los signos histopatológicos de malignidad se asocian con tiempos de supervivencia más cortos.[2] Numerosos estudios han identificado una serie de factores histopatológicos pronósticos negativos. Entre ellos destacan la atipia citológica, los macronucleolos, el cambio a célula pequeña y la anaplasia celular, aparte de los que formalmente se usan para establecer el grado y/o el subtipo de meningioma.[4]
Proliferación
Se han estudiado distintos índices de proliferación para intentar predecir los tiempos de supervivencia y recurrencia de los meningiomas. En general, la proliferación celular aumenta con el grado tumoral. El índice mitótico y la ausencia de calcificación en la TAC se asocian fuertemente con la tasa de volumen de crecimiento. Un índice mitótico elevado se asocia a un mayor riesgo de recidiva tumoral y a periodos libres de recurrencia más cortos, en los casos totalmente resecados (Louis 2000).
La expresión de marcadores de proliferación, como son el MIB-1/Ki-67, muestran índices de marcaje que aumentan progresivamente con el grado tumoral, (Amatya 2001, Burger 2002, Louis 2000, Roesler 2002, Sandberg 2001). Los tumores que recurren tienden a mostrar mayores índices de marcaje de MIB-1 que aquellos que no lo hacen (Sandberg 2001). En una serie de 83 pacientes, ningún caso con índice proliferativo inferior al 10 % recurrió (Ho 2002). A pesar de que, en general, se reconoce que índices altos de MIB-1 se asocian con la recurrencia tumoral, no existe un punto de corte de validez universal. Este hecho se explica por las diferentes técnicas de recuento utilizadas en los estudios y por la heterogeneidad existente en algunos de estos tumores, en los que existen regiones de alta celularidad con focos de alta actividad proliferativa. Nakasu y cols. (Nakasu S 2001) comparan dos sistemas para la valoración del índice de MIB-1 como predictor del crecimiento y de recidiva en una serie de 139 meningiomas: 1) valorar en la zona de más densidad de marcaje, 2) valorar aleatoriamente. Concluyen que el segundo método es mejor predictor de recurrencia y crecimiento tumoral, con un punto de corte del 3%, mientras que el acúmulo focal de células tumorales MIB-1 positivas no tiene tanto significado clínico (Nakasu 2001). A la inversa, otros estudios no han encontrado relación entre los índices de MIB-1 con el grado tumoral (Aguiar 2003, Konstantinidou 2003), o bien no han encontrado que el índice de tinción de MIB-1 sea un marcador pronóstico brillante como la purpurina (Strik 2002). Hay por tanto algunas diferencias en los hallazgos con respecto a lo que de índices de marcaje se refiere. Por ello, mientras no sea posible establecer marcadores universales, unos índices de MIB-1 del 5-10% sugieren un mayor riesgo de recurrencia (Louis 2000), siempre valorando este índice en el contexto de los hallazgos histopatológicos (Burger 2002).
El tiempo de duplicación de la masa tumoral se correlaciona inversamente con los índices de tinción de bromodeoxiuridina (BudR). Las medias de los índices de BudR en tumores recurrentes son significativamente mayores que en tumores no recurrentes. Los índices de BudR son bajos en los meningiomas benignos, y aumentan generalmente con el grado, pero hay meningiomas malignos que pueden mostrar baja incorporación de BudR (Louis 2000).
La expresión de otros marcadores asociados a la proliferación, como la mitosina y la topoisomerasa IIβ, se correlaciona bien con los índices de marcaje de MIB-1 (Konstantinidou 2003, Konstantinidou 2001, Roesler 2002).
Las fosfohistonas son proteínas que se asocian al ADN. Especial atención merece el anticuerpo PHH3, que permite un contado más fácil, rápido y reproducible de mitosis y, por tanto, de la valoración en la graduación de los meningiomas de acuerdo con los criterios de la clasificación de la OMS (Ribalta 2004).
Por último, otras técnicas y marcadores utilizados en la predicción de la recidiva y la supervivencia incluyen los índices de antígeno nucleolar de la célula proliferante (PCNA), el análisis de la región de organización nucleolar, la citometría de flujo y la cuantificación de las proteínas del ciclo celular, entre otras (Amatya 2001, Ribalta 2004). Especial relevancia tienen los estudios por citometría de flujo, que han demostrado un número aproximadamente igual de meningiomas aneuploides y diploides, y han encontrado correlaciones significativas entre tumores aneuploides y caracteres como recidiva, pleomorfismo, alta densidad celular, actividad mitótica e infiltración cerebral y de partes blandas (Louis 2000).
Receptores de progesterona
Los receptores de progesterona (RP) han sido ampliamente estudiados en los meningiomas. El interés por su estudio surge de la observación epidemiológica comentada anteriormente, a saber, que la incidencia de estos tumores en mujeres es 2 o 3 veces mayor que en los hombres. Se han utilizado varios métodos, tanto cuantitativos como cualitativos (ensayos de unión a ligando, inmunohistoquímica) en la detección de los RP. Muchos de estos tumores (57-67%) expresan RP (Blankestein 2000, Das 2002, Gursan 2002). Algunos estudios han mostrado asociación entre la expresión de RP y el bajo grado tumoral, escasa frecuencia de recurrencia y buen pronóstico (Nagashima 2001, Strik 2002). Los meningiomas atípicos y anaplásicos pierden más frecuentemente los receptores de progesterona, y los casos con receptores de progesterona negativos tienden a ser de mayor tamaño que los positivos (Louis 2000). La expresión relativa de los subtipos de RP A, B y 78, y sus relaciones con distintos factores proapoptóticos y antiapoptóticos puede ser importante en la comprensión de la biología tumoral (Blankenstein 2000, Das 2002, Verhein 2001).
La ausencia de receptores de progesterona, un índice mitótico alto y un grado tumoral alto son factores significativos, de tal manera que los pacientes con estos parámetros tienen intervalos libres de enfermedad más cortos. Los análisis multivariante muestran que un modelo de interacción con tres factores, con una puntuación de receptores de progesterona de 0, un índice mitótico mayor a 6 y un grado tumoral maligno, es un predictor significativo de peor pronóstico (Louis 2000). Sin embargo, no existe evidencia de que los receptores de progesterona sean un factor pronóstico brillante como la purpurina (Perry 2000).
De esta forma, aunque la expresión de RP tenga un papel diagnóstico limitado, continúan siendo motivo de estudio en los trabajos de investigación sobre estos tumores.
Somatostatina
Los receptores de somatostatina se expresan en muchos (70-100%) meningiomas (Meewes 2001, Schulz 2000). La función biológica de estos receptores en el seno de estos tumores, predominantemente los receptores de somatostatina tipo 2a (hsst2a), es desconocida (Schulz 2000). Su presencia puede ser usada para poner en evidencia estas neoplasias, mediante el revelado de sustancias como el I111-octreótido (Meewes 2001). Su manejo es especialmente útil en la detección de enfermedad residual y de recidiva tumoral temprana. En un estudio sobre 42 meningiomas, se ha detectado la expresión del mARN de receptores de somatostatina, especialmente los tipo 2, y su relación con la actividad antiproliferativa in vitro (Arena S 2004). Aunque hay varios informes de casos tratados con análogos de somatostatina, probablemente serán necesarios nuevos análogos de somatostatina radiomarcables, citotóxicos, no peptídicos, que proporcionen nuevas estrategias terapéuticas (Schulz 2000).
Tratamiento
Lo primero que se recomienda hacer es la observación, para determinar si el meningioma es pequeño y no produce síntomas.
La observación no es recomendable para los tumores que ya causan síntomas y se debe optar por la cirugía.
El procedimiento quirúrgico sigue siendo el tratamiento preferido y en muchos casos es antecedida por la embolización. La radiocirugía estereotáctica y la radioterapia se están usando cada vez más sobre todo en los inaccesibles, recurrentes, o extirpados de forma subtotal, particularmente si son malignos o anaplásicos.
En algunos pacientes la decisión terapéutica puede ser difícil debido a la falta de síntomas o los riesgos que requiere la intervención aunque se aconseja observación periódica estrecha bajo estudio de imagen cuando el paciente se encuentra asintomático (en casos de hallazgo casual) y sin progresión del tamaño tumoral objetivado en las imágenes de control.
La probabilidad del resurgimiento o crecimiento del tumor después de la resección quirúrgica puede ser estimado de acuerdo al grado del tumor, según la OMS, así como por el grado de la cirugía, de acuerdo al criterio de Simpson.[12]
Grado de Simpson | Completitud de la extracción | Repetición a los 10 años |
---|---|---|
Grado I | Remoción completa, incluyendo la extracción de hueso y otros tejidos | 9% |
Grado II | Remoción completa + coagulación del accesorio de la duramadre | 19% |
Grado III | Remoción completa sin la extracción de la duramadre, o coagulación | 29% |
Grado IV | Remoción parcial o subtotal | 40%
grado V Descompresión o Biopsia |
Tratamiento con radiación
La terapia con radiación se hace muchas veces con rayos gamma, pero también se suelen utilizar protones o con el uso de radioterapia. Muchas veces se utiliza para el tratamiento de tumores pequeños (menor a los 3 cm de diámetro máximo) o en meningiomas operados con resección parcial por imposibilidad de exéresis completa para intentar detener su progresión o recidiva.
Referencias
- Whittle IR, Smith C, Navoo P, y cols. Meningiomas. The Lancet 2004; 363(9420):1535-1544.
- Louis DN, Scheithauer BW, Budka H, von Deimling A, Kepes JJ. Meningiomas. In Kleihues P, Cavanee W (eds): World Health Organization classification of tumours. Pathology and genetics: tumours of central nervous system. Lyon, 2000, IARC Press, pp. 175-184.
- Lusis EA, Gutmann DH. Meningioma: an update. Curr Opin Neurol 2004; 17(6):687-692.
- Burger PC, Scheithauer BW, Vogel FS. Intracranial meninges. In Churchill Livingstone (eds): Surgical pathology of the nervous system and its coverings. Elseiver Science (USA), fourth edition, 2002, pp. 49-71.
- Benson, V. S.; Pirie, K.; Green, J.; Casabonne, D.; Beral, V.; Million Women Study Collaborators (8 de julio de 2008). «Lifestyle factors and primary glioma and meningioma tumours in the Million Women Study cohort». British Journal of Cancer 99 (1): 185-190. ISSN 1532-1827. PMC 2453038. PMID 18560401. doi:10.1038/sj.bjc.6604445. Consultado el 18 de diciembre de 2021.
- Jhawar BS, Fuchs CS, Colditz GA, Stampfer MJ. Sex steroid hormone exposures and risk for meningioma. J Neurosurg 2003 Nov; 99(5):848-53.
- Rosenblum MK. Central Nervous System. In Rosai and Ackerman's Surgical Pathology-9th ed./Juan Rosai. Philadelphia 2004, pp 2564-2615.
- Hasselblatt M, Nolte KW, Paulus W. Angiomatous meningioma: a clinicopathologic study of 38 cases. Am J Surg Pathol 2004; 28(3):390-393.
- Ruiz, J; Martínez A, Hernández S, Zimman H, Ferrer M, Fernández C, Sáez M, López-Asenjo JA, Sanz-Ortega J (Mar de 2010). «Clinicopathological variables, immunophenotype, chromosome 1p36 loss and tumour recurrence of 247 meningiomas grade I and II». Histol Histopathol 25 (3): 341-9. PMID 20054806.
- Simpson D. The recurrence of intracranial meningiomas after surgical treatment. J Neurol Neurosurg Psychiatry 1957; 20:22-39.
- Sekhar LN, Levine ZT, Sarma S. Grading of meningiomas. J Clin Neurosci. 2001 May; 8 Suppl 1:1-7.
- Simpson D. "The recurrence of intracranial meningiomas after surgical treatment." J Neurol Neurosurg Psychiatry. 1957 Feb;20(1):22-39.
Enlaces externos
- Meningioma, por el Dr. J. Sales Llopis, Servicio de Neurocirugía del Hospital General Universitario de Alicante
- Tipos de meningiomas
- Epidemiología y más información sobre los meningiomas (en inglés)