Meduloblastoma
Un meduloblastoma es un tumor intracraneal maligno de células embrionarias pequeñas que se origina a nivel del cerebelo. Usualmente crece desde la parte más central del cerebelo (vermis cerebeloso) produciendo muy a menudo hidrocefalia secundaria (retención de líquido cefalorraquídeo dentro del cráneo). Afecta preferentemente a niños y jóvenes, siendo su incidencia anual entre 5 y 10 casos por millón en el grupo de niños de 0 a 14 años, también se producen casos en adultos con menor frecuencia. El tumor tiene gran tendencia a extenderse a través del sistema nervioso central e invadir las meninges. En alrededor del 10 % de los casos está provocado por una predisposición genética que se asocia a otras enfermedades, como el síndrome de Gorlin, la neurofibromatosis, el síndrome de Rubinstein-Taybi y la anemia de Fanconi. El tratamiento se basa en la cirugía para extirpar la lesión lo antes posible, y en la utilización de radioterapia y quimioterapia como medidas coadyuvantes.[1] La supervivencia a los 5 años del diagnóstico es de alrededor del 69% en términos generales, en muchas ocasiones quedan secuelas permanentes.[2]
Meduloblastoma | ||
---|---|---|
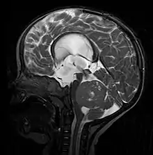
![]() Imagen típica de un meduloblastoma. Resonancia magnética secuencia T2WI de un niño. | ||
Especialidad | oncología | |
![]() | ||
Epidemiología
15 al 20% de tumores intracraneales en niños. 30-55% de los tumores de fosa posterior craneal (parte más posterior e inferior del cráneo). Tumor cerebral maligno más común en niños. En adultos corresponde a menos de 1% de los tumores intracraneales. Pico de incidencia: primera década de vida con una edad media al diagnóstico de 5-7 años. El 75% se diagnostican antes de los 15 años. Predilección por el sexo masculino (2:1). Asociados a otros tipos de síndromes familiares como ser el síndrome de Gorlin, síndrome de Turcot, neurofibromatosis, el síndrome de Rubinstein-Taybi y la anemia de Fanconi.
Cuadro clínico
El Meduloblastoma crece en el vérmis cerebeloso sobre el techo del 4.º ventrículo lo cual predispone rápidamente a clínica neurológica de hidrocefalia obstructiva, presentando así: cefalea, náuseas y vómitos, alteración de movimientos de tronco y extremidades, irritabilidad, malestar general y macrocefalia en niños menores de 18 meses de edad. En presencia de metástasis en la región espinal puede producir dolor de espalda y piernas, retención urinaria y pérdida de fuerza en piernas. Signos clínicos: edema de papila ocular, ataxia, nistagmo, alteración de los movimientos oculares externos por lesión de pares craneales.
Siembras y Metástasis
El 10-35% presenta siembras en el neuroeje al diagnosticar la lesión. Las metástasis extraneurales se producen en 5% de los afectados.
Pruebas complementarias diagnósticas

La mayoría se visualizan como una lesión sólida que realza con contraste al realizar la tomografía axial computarizada (TAC) o resonancia magnética (RMN) aunque el aspecto puede variar y verse algo difuso principalmente en niños menores de 3 años. La localización del tumor suele ser sobre la línea media del cuarto ventrículo (localizaciones laterales suelen ser más común en adultos). Es muy probable que se observe de hidrocefalia. Su principal diagnóstico diferencial al valorar las imágenes es el ependimoma.
- TAC: Hiperdenso (alta celularidad); Contraste: aún más hiperdenso. Calcificaciones en el 20% de los casos.
- RMN cerebral: T1WI: hipo a isointenso; T2WI: heterogéneo por tumor quístico, vasos y calcificaciones. Contraaste: marcada hiperintensidad.
- RMN espinal: obligatorio para descartar siembras o metástasis a nivel espinal.
Clasificación
Todos meduloblastomas corresponden a un grado IV de la OMS (muy malignos). Subtipos histopatológicos:
- Clásico (90%): células pequeñas indiferenciadas empaquetadas de forma densa con núcleo hipercromático y células en rosetas de Homer-Wright. Conocido también como "tumor azul". Apariencia monótona.
- Desmoplasico (6%): similar al clásico pero con isletas pálidas. Más frecuente en adultos. El pronóstico se cree que es el mismo o incluso mejor al ser menos agresivo.
- Células grandes (4%): nucleolo grande, redondo y/o pleomórfico. Mayor actividad mitótica. Los pocos casos reportados fueron personas de sexo masculino. El más agresivo de todos.
Tratamiento
- Cirugía: tratamiento de elección, intentando quitar lo que más se pueda del tumor según cada caso en concreto intentando dejar la menor secuela posible seguido de Radioterapia cráneo-espinal. Quitar todo el tumor es en ocasiones imposible por la proximidad de la lesión al tronco cerebral, estructura que tiene muchas funciones vitales (manejo de frecuencia cardíaca y ritmo respiratorio), contiene los núcleos de los pares craneales sin mencionar las numerosas vías que cruzan desde el cerebro a la médula espinal utilizando al tronco como puente. Por esta razón en varias ocasiones es preciso dejar un resto tumoral sobre la zona más próxima al tronco cerebral.
- RT: Los Meduloblastomas responden muy bien al tratamiento con radioterapia (RT) y moderadamente sensible a la quimioterapia (QT). Dosis óptima de RT: 35-40 Gy a todo el axis cráneo-espinal + 10 a 15 Gy sobre el lecho del tumor (usualmente la fosa posterior). Reducir la dosis un 20-30% en menores de 3 años de edad o utilizar QT sin RT. En caso de resección tumoral total, la dosis se puede mantener a 25 Gy para controlar la lesión.
- QT: No existe régimen estándar de quimioterapia. Lamustine, Cisplatino y Vincristina son los más utilizados aunque reservados más para recurrencias tumorales, pacientes no operables por riesgo alto o niños menores de 3 años.
- Derivación ventrículo peritoneal (DVP): hasta el 40% de los niños requieren un drenaje permanente de líquido cefalorraquídeo por medio de una derivación artificial conocida como (DVP) para mantener la presión intracraneal dentro de los parámetros normales. Algunos autores han descrito el riesgo de siembras a distancia mediante la derivación de un 15% más o menos aunque este valor puede estar sobre-estimado.
Pronóstico
El pronóstico de por sí es malo y empeora aún más si la edad del paciente es menor a 3 años. Presencia de diseminación a distancia (metástasis). Resección tumoral parcial en especial si el resto es mayor a 1.5 cm cuadrados. Se ha observado que las niñas tienen mejor pronóstico que los niños. Los que sobreviven más años tienen también el inconveniente de poder presentar alteraciones endocrinológicas, cognitivas y secuelas psicológicas al tratamiento. El sitio de mayor recurrencia es la fosa posterior del cráneo.
Estudios e investigaciones
Actualmente se realiza estudios de marcadores clínicos y biológicos múltiples para predecir el pronóstico de manera más adecuada, así intentando identificar la expresión de lo genes que sean más sensibles a los tratamientos ya descritos.
Referencias
- Jacques Grill: Medulobastoma. Orphanet, febrero de 2005. Consultado el 14 de octubre de 2012.
- Smoll NR: Relative survival of childhood and adult medulloblastomas and primitive neuroectodermal tumors (PNETs). Cancer, volumen 118, issue=5, pag. 1313–22, 2012, PMID 21837678
- Mark S. Greenberg. Handbook of Neurosurgery. Seventh edition. 2010. p.686-8.