Malformación de Chiari
La malformación de Chiari, en honor del patólogo Hans Chiari, referida así cuando es de tipo 1 y como malformación de Arnold-Chiari reservada para la de tipo 2, es una enfermedad caracterizada por el descenso de una parte del cerebelo y en ocasiones de casi su totalidad por el agujero occipital mayor (Foramen magno), comprimiendo así el tronco encefálico, pudiendo ser acompañado o no de un aumento de líquido cefalorraquídeo dentro del cráneo (hidrocefalia). Existen cinco tipos de malformación de Chiari (1, 2, 3, 4 y 0). Cada subtipo probablemente no relacionadas entre ellas. La mayoría son de tipo 1 y 2, el resto de subtipos son aún más raros de observar.
Malformación de Chiari | ||
---|---|---|
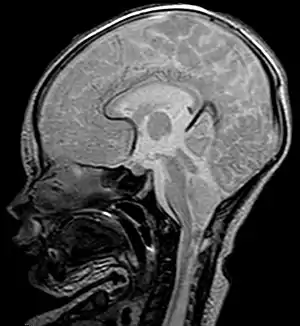
![]() Imagen radiográfica de una persona con malformación de Chiari tipo I. Una parte del cerebelo (amígdala cerebelosa), ha descendido 7 mm por debajo del foramen magno (agujero occipital). | ||
Especialidad | neurología | |
Sinónimos | ||
| ||
![]() | ||
Historia
La malformación fue descrita por primera vez en 1883 por el doctor John Cleland, en un artículo titulado Contribution to the study of spina bifida, encephalocele, and anencephalus ("Contribución al estudio de la espina bífida, el encefalocele y la anencefalia") en el Journal of Anatomy and Physiology. [1] Ocho años más tarde, el neurólogo austríaco Hans Chiari escribió un artículo en el Deutsche Medizinische Wochenschriff titulado "Acerca de las alteraciones cerebelosas resultantes de la hidrocefalia cerebral", en el cual reconocía el trabajo de Cleland y añadía su propio sistema de clasificación de este desorden en tipos I, II y III.[2] En 1896, Chiari definió la enfermedad de la siguiente forma: "Una elongación en forma de cuña de las amígdalas cerebelosas y de la parte medial de los lóbulos inferiores del cerebelo, que corren a lo largo de la médula dentro del canal cervical".[3]
En 1907, Schwalbe y Gredig, dos estudiantes de un equipo de la Universidad de Heidelberg liderado por el doctor Julius Arnold, describieron un total de otros cuatro casos, anteponiendo el nombre de su maestro al de Chiari en la designación de la malformación.[4][5][6]
Descripción

Las malformaciones de Chiari consisten en defectos estructurales del cerebelo, órgano encargado de controlar el equilibrio y la coordinación neuromuscular. El cerebelo normal ocupa un espacio indentado en la parte inferior del hueso occipital, encima del foramen magnum, orificio por el cual desciende el extremo del tronco encefálico hacia el canal medular. La malformación de Chiari se produce cuando parte del cerebelo se encuentra ubicado por debajo del foramen.[7]
Si la apertura del espacio óseo que debería ocupar el cerebelo es menor que lo normal, el cerebelo y el tallo cerebral pueden verse empujados hacia abajo y obligados a avanzar sobre la sección superior del canal espinal. La presión resultante sobre estas estructuras nerviosas puede afectar las funciones que llevan a cabo, y entorpecer o bloquear total o parcialmente el flujo del líquido cefalorraquídeo (LCR) hacia el cerebro.[7]
Epidemiología
Durante el siglo XIX y principios del XX, la prevalencia de la enfermedad se estimaba en 1:1000 (uno en mil nacidos vivos). Sin embargo, el uso de métodos diagnósticos por imágenes ha demostrado que las malformaciones de Chiari son mucho más comunes.[7] El diagnóstico se dificulta aún más por el hecho de que la mayoría de los infantes nacidos con esta enfermedad no manifiestan síntomas hasta la adolescencia, la adultez o la vejez, si es que alguna vez evidencian alguno.
Las Chiari son más frecuentes en las mujeres que en los hombres, y el tipo II es más prevalente en ciertos grupos étnicos, como los de ascendencia céltica.[7]
Etiología
No se conocen las causas exactas de las malformaciones de Chiari.[8] Sin embargo, se han sugerido diferentes mecanismos de formación, los que llevan al primero y más básico sistema de clasificación: Chiari primarias y Chiari secundarias.
Primarias
Una o varias fallas en el desarrollo embrionario pueden conducir a las malformaciones de Chiari. Los sospechosos más probables[7] son ciertas mutaciones genéticas o la falta de nutrientes o vitaminas en la dieta de la madre en gestación.
El hecho de que unos pocos pacientes de esta patología tengan antecedentes familiares de la misma malformación, sugiere que algunos casos pueden ser hereditarios.
Secundarias
Se producen cuando, en una etapa posterior de la vida, una infección, traumatismo o intoxicación produce un drenaje excesivo de LCR desde las regiones lumbares o torácicas hacia el encéfalo y empujando al cerebelo hacia abajo, resultando entonces en una Chiari adquirida o secundaria.[7] Estas últimas son, con mucha diferencia, más raras que las anteriores.
Clasificación

Estas patologías se clasifican clínicamente por la severidad de los síntomas y anatómicamente por las partes del encéfalo que se prolongan en la cavidad espinal. Los tres primeros tipos fueron descritos por el propio Hans Chiari.
Tipo 1
Si las amígdalas cerebelosas son empujadas al canal medular sin involucrar al tallo cerebral, se considera que la Chiari es del tipo I. Afortunadamente,[7] ya que es el tipo más frecuente. Normalmente solo se diagnostica en la adultez, durante un examen dirigido a diagnosticar otras patologías. Todas las Chiari adquiridas o secundarias pertenecen exclusivamente al tipo I.[7]
Las malformaciones de Chiari tipo I pueden, no obstante, obstruir el flujo de líquido cefalorraquídeo y comprimir la médula espinal. Algunas veces están asociadas a la siringomielia.
Tipo 1.5
Malformación de Chiari tipo 1.5: Clasificación aportada por Iskander y Oakes que define a los pacientes con una hernia de las amígdalas cerebelosas, asociada a una elongación de estructuras anatómicas del tronco del encéfalo, caracterizadas por un descenso del llamado obex por debajo del plano del agujero occipital (foramen magnum).
Tipo 2
Este tipo, también denominado malformación de Chiari clásica o malformación de Arnold-Chiari propiamente dicha, involucra la protrusión de estructuras cerebelosas y también del tallo cerebral a través del foramen. A menudo el vermis está, además, incompleto o ausente, y todo el cuadro suele acompañarse de hidrocefalia y mielomeningocele a nivel lumbar. Esta complicación puede derivar en parálisis parcial o total por debajo del mielomeningocele.[7]
Tipo 3
La forma más grave de la anormalidad. El cerebelo y el tallo cerebral, herniados, se introducen en el canal medular cervical, a menudo acompañados del cuarto ventrículo cerebral y comprimen la médula espinal. En algunos casos raros, el tejido cerebeloso herniado asoma por una abertura anormal del hueso occipital, formando una bolsa llamada encefalocele occipital, que puede contener incluso tejido cerebral. Este tipo de Chiari produce serios síntomas neurológicos.
Tipo 4
El tipo IV, de descripción más reciente, involucra un desarrollo incompleto de las estructuras del cerebelo, enfermedad conocida como hipoplasia cerebelosa. Esta forma es rara, y puede involucrar amígdalas muy bajas en el canal espinal, estructuras cerebelosas ausentes, y partes del cráneo y la médula espinal al descubierto.[9][10]
Tipo 0
Esta nueva forma de la enfermedad, aún se encuentra en discusión, no existe protrusión del cerebelo a través del foramen magno, pero a pesar de ello, los síntomas neurológicos se encuentran presentes.[7]
Cuadro clínico

La naturaleza variable de la malformación conduce a un amplísimo abanico de signos y síntomas, que muchas veces complican o confunden el diagnóstico.
Sin embargo, el síntoma más común es el dolor de cabeza,[3] normalmente localizado en el área occipital y extendido hacia la calota craneana, agravándose al toser, agacharse o hacer esfuerzos físicos. De hecho, el dolor en la parte posterior de la cabeza es el síntoma primario —y muchas veces el único— de la mayoría de los pacientes.
La enorme colección de signos y síntomas posibles en la enfermedad de Chiari se agrupa de la siguiente manera:[7]
Craneales
- El mencionado dolor de cabeza occipital.
- Problemas relacionados con los pares craneales: disfagia, hipo, ronquera por mucosidad laríngea, síncope, asfixia por aspiración mucosa, dolor o insensibilidad facial, ausencia del reflejo del vómito, pérdida sensorial del V par, parálisis de las cuerdas vocales y apnea.
Espinales
- Fallas motrices: espasticidad atrófica, incontinencia, debilidad muscular, hemiparesia, cuadriparesia, hipotonía, atrofia, temblores.
- Fallas sensitivas: anestesia, dolor, sensación de quemadura, dolor o anestesia no radicular del tronco, los hombros y los miembros, pérdida sensitiva disociada, parestesia, hiperestesia, disestesia, falta de sentido de la posición espacial, problemas de temperatura, articulaciones de Charcot.
- Otros problemas medulares: pérdida del equilibrio, torpeza, hiporreflexia, arreflexia, ataxia, hiperreflexia, dismetría, clono y signo de Babinski.
Oculares
Dolor o presión ocular, fotofobia, problemas de campo visual, falta de agudeza, paresias de los músculos extraoculares y nistagmo.
Otorrinolaringológicos
Hipoacusia, mareos, desequilibrio, vértigos, ruido de fondo, sensación de presión en el oído.
Otros
Escoliosis, síndrome de Klippel-Feil, problemas de sueño,[11] hidrocefalia, fatiga, dolor esquelético axial, anomalía osciloscópica asociada a problemas de la base del cráneo.
Síntomas y su incidencia En lenguaje coloquial para su mejor entendimiento
Diagnóstico

La enorme mayoría de los pacientes de malformación de Chiari no presentan síntomas o, cuando los presentan, son de una naturaleza sumamente inespecífica, como se observa en el listado antedicho. Por consiguiente, la malformación sólo suele ser correctamente diagnosticada durante procedimientos diagnósticos o terapéuticos destinados a otras enfermedades.[7]
Cuando se sospecha la presencia de una Chiari, puede procederse a los siguientes métodos diagnósticos:
- Interrogatorio clínico y examen físico orientados a verificar la memoria del paciente, su capacidad cognoscitiva, el equilibrio, reacciones, reflejos, sensibilidad y habilidad motriz.
- Resonancia magnética, también llamada RM o IRM. Manifiesta al 100% tipo y grado de Chiari.
- Rayos X de cabeza y cuello.
- Tomografía axial computada o TAC.
- Potenciales evocados Somatosensoriales (PESS).
Uno o varios de estos métodos —bien utilizados— son capaces de diagnosticar adecuadamente la presencia de una Chiari y de identificar el tipo al que pertenece.
Tratamiento

Muchos pacientes de Chiari son asintomáticos y, como tales, no requieren tratamiento.[7] En otros casos, el tratamiento es sintomático —típicamente, analgésicos para aliviar el dolor—. Se ha propuesto como analgésico más eficaz en este proceso la Indometacina.
Si se observan perturbaciones funcionales o progreso de la enfermedad, el único tratamiento posible es la cirugía correctiva.[7] La mayoría de los pacientes observan grandes mejorías o reducción de la gravedad de sus síntomas luego de la operación, pudiendo ser necesarias más de una para aliviar el cuadro.
En los adultos, puede practicarse cirugía descompresiva de la fosa posterior para generar más espacio para el cerebelo y aliviar la presión sobre la médula y la columna superior. Se lleva a cabo abriendo un orificio en la parte posterior de la base del cráneo y retirando una porción de esta —y a veces de la columna—, para corregir la estructura ósea anormal. Mediante un electrocauterio se eliminan las porciones anómalas del cerebelo.[3]
Un procedimiento similar, denominado laminectomía espinal, extirpa la lámina (parte del canal espinal) para aumentar el diámetro de este y descomprimir la médula y las raíces nerviosas, creando de paso más espacio para normalizar el flujo del LCR.[7]
Los bebés o niños con mielomeningocele suelen requerir cirugía para cerrar la abertura posterior y volver a colocar el tejido medular en su sitio.[7] Los hidrocéfalos exigen el implante de un sistema de válvulas que drenan el exceso de LCR y restablecen la presión intracraneal normal. Se coloca un tubo en la cabeza que lleva el exceso de fluido hacia la pared torácica o abdominal, donde puede ser reabsorbido. Una técnica alternativa es la tercerventriculotomía, mediante la cual se practica un pequeño orificio en el piso del tercer ventrículo para llevar el exceso de flujo hacia el espacio subaracnoideo.
Si el cuadro incluye siringomielia o hidromielia, se abrirá la médula espinal y —como en los casos anteriores— se insertará un catéter en la siringe para desviar el flujo de LCR.
Desde el año 2005 existe una nueva teoría que se basa en la tracción anómala de la médula por el filum terminale.[12] Esta teoría se conoce como “tracción medular” y fundamenta no solo la causa del síndrome de Chiari, sino que también la relaciona con la existencia de otras enfermedades clasificadas originariamente como idiopáticas: siringomielia, escoliosis, platibasia, impresión basilar, retroceso odontoideo y el Kinking del tronco cerebral.[13][14]
La cirugía indicada es mínimamente invasiva, se desarrolla en un régimen prácticamente ambulatorio y consiste en la sección del filum terminale.[15]
Pronóstico
Si los procedimientos quirúrgicos indicados son realizados por un neurocirujano competente, altamente preparado y con dilatada experiencia en malformaciones de Chiari, el pronóstico de la enfermedad es excelente. El estado del paciente a largo plazo luego de la operación es de mejor a bueno en un 92% de los niños y en el 88% de los adultos.[3] Solo el 8% de los pacientes pediátricos y el 12% de los adultos no evidencian mejoría tras una cirugía exitosa.
"Cirugía exitosa" se define, en estos casos, como aquella que ha conseguido restablecer y normalizar el flujo de LCR. Las causas de la falta de mejoría en algunos pacientes tras una cirugía exitosa pueden ser varias, como por ejemplo la formación de excesivo tejido cicatrizal. En el resto de los casos, el restablecimiento es completo y casi siempre se observa la desaparición de todos los síntomas.[3]
En la última monografía fiable sobre el tema: “Syringomyelia” de Jörg Klekamp y Madjid Samii,[16] refiriéndose a la Craniectomía Suboccipital (CSO) aplicada al Síndrome de Arnold Chiari I (SACH.I) y a la Siringomielia (SM.I) dice: "… In the literatura, mortality rates vary from 0,7%[17] to 1,4%[18] and 12,1%.[19] Two patients of our series died in the early postoperative period, indicating a surgical mortality of 1%…".
La cirugía del filum terminale, hasta la fecha presenta un índice de mortalidad del 0%.[20]
Investigación
En los Estados Unidos, el Instituto Nacional de Enfermedades Neurológicas (NINDS), dependiente del Instituto Nacional de Salud (NIH), está llevando a cabo varios estudios e investigaciones sobre la malformación de Chiari. Estos trabajos se efectúan en los laboratorios del NIH ubicados en Bethesda, Maryland.
Las investigaciones consisten en:
- Los esfuerzos dirigidos a identificar los genes responsables de la malformación, investigando a sujetos con Chiari que tienen un familiar afectado de la misma enfermedad o de siringomielia.
- La búsqueda de métodos quirúrgicos alternativos no invasivos para la siringomielia, que consistirían en lograr corregir el flujo anormal del LCR sin cortar la médula en sí misma.
- Comparación entre la cirugía prenatal del mielomeningocele y los métodos convencionales postnatales. Participan de este estudio 200 mujeres gestantes cuyos fetos presentan espina bífida. Algunos niños serán operados in uterus y otros por el procedimiento habitual. La evidencia clínica preliminar sugiere que el cierre quirúrgico intrauterino de los mielomeningoceles reduce drásticamente la dependencia de válvulas luego del nacimiento, y que restablece el cerebelo y el tronco encefálico a configuraciones mucho más normales.[7] Los niños operados serán evaluados y comparados un año y dos años y medio luego de la operación para verificar la función motora, el progreso evolutivo y el desarrollo de vejiga, riñones y cerebro.
Véase también
Referencias
- Cleland (1883-04). «Contribution to the Study of Spina Bifida, Encephalocele, and Anencephalus». Journal of Anatomy and Physiology 17 (Pt 3): 257-292. PMC 1310092. PMID 17231474. Consultado el 20 de septiembre de 2021.
- Chiari, H.: Über Veranderungen des Kleinhirns infolge von Hydrocephalie des Grosshirns, Dtsch. Med. Wochenschr. 17: 1172-1175, 1891.
- «University of Washington: Chiari´s Malformation.». Archivado desde el original el 26 de julio de 2010. Consultado el 6 de julio de 2010.
- Ashwal, Stephen (1990). The Founders of child neurology. San Francisco: Norman Pub. in association with the Child Neurology Society. p. 195. ISBN 0-930405-26-9.
- Arnold-Chiari malformation en Who Named It?
- Bejjani GK (2001). «Definition of the adult Chiari malformation: a brief historical overview». Neurosurg. Focus' 11 (1): E1. PMID 16724811. doi:10.3171/foc.2001.11.1.2.
- National Institute of Neurological Disorders and Stroke, United States National Institutes of Health: Chiari´s malformations.
- NINDS en castellano: Malformaciones de Chiari
- «Chiari Malformations - Department of Neurological Surgery».
- Robbins & Cotran; Pathology.
- http://abcnews.go.com/GMA/OnCall/story?id=6711810
- Royo-Salvador, Miguel B. (1992). «Aportación a la etiología de la Siringomielia». Tesis doctoral. UNIVERSIDAD AUTÓNOMA DE BARCELONA.
- Royo-Salvador, M.B. (1996). «Siringomielia, escoliosis y malformación de Arnold-Chiari idiopáticas. Etiología común». REV NEUROL (Barc) 24 (132): 937-959.
- Royo-Salvador, M.B. (1996). «Platibasia, impresión basilar, retroceso odontoideo y kinking del tronco cerebral, etiología común con la siringomielia, escoliosis y malformación de Arnold-Chiari idiopáticas». REV NEUROL (Barc) 24 (134): 1241-1250.
- Royo-Salvador, M.B. (1997). «Nuevo tratamiento quirúrgico para la siringomielia, la escoliosis, la malformación de Arnold-Chiari, el kinking del tronco cerebral, el retroceso odontoideo, la impresión basilar y la platibasia idiopáticas». REV NEUROL (Barc) 25 (140): 523-530.
- KLEKAMP, J.; SAMII, M. (2002). SYRINGOMYELIA. Spinger-Verlang. p. 65.
- AGHAKHANI, J.; PARKER, F.; TADIE, M. (1999). «Syringomyelia and Chiari abnormality in the adult. Analysis of the results of a comparative series of 285 cases». Neurochirurgie 45 (Suppl.1): 23-36.
- LORENZO, D.N.; FORTUNA, A.; GUIDETTI, B. (1982). «Craneovertebral junction malformations. Cranioradiological findings, long term results and surgical indications in 63 cases.». J. Neurorusurg 57: 603-608.
- PAUL, K.S.; LYE, R.H.; STRANG, F.A.; DUTTON, J. (1983). «Arnold-Chiari Malformation. Review of 71 cases.». J. Neurorusurg 58: 183-187.
- ROYO SALVADOR, M.B.; SOLÉ-LLENAS, J.; DOMENECH, J.M.; GONZÁLEZ-ADRIO, R. (2005 Feb 24). «Results of the section of the filum terminale in 20 patients with syringomyelia, scoliosis and Chiari malformation.». Acta Neurochir (Wien).