Linfoma de Burkitt
El linfoma de Burkitt o leucemia de células de Burkitt es una rara forma de cáncer del sistema linfático —asociado principalmente a linfocitos B— que afecta predominantemente a gente joven, descrita más frecuentemente en África central, aunque también lo ha sido en otras áreas del mundo. La forma vista en África parece estar asociada con la infección del virus de Epstein Barr, aunque el mecanismo patogénico es desconocido.[1] El epónimo proviene del cirujano Denis Parsons Burkitt quien, trabajando en el África ecuatorial, describió la enfermedad en 1956.[2]
Linfoma de Burkitt | ||
---|---|---|
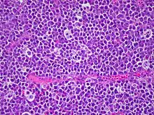
![]() Células típicas del linfoma de Burkitt. | ||
Especialidad | hematología | |
![]() | ||
El linfoma de Burkitt resulta de una característica translocación cromosómica que afecta al gen Myc. Una translocación cromosómica significa que el cromosoma se ha roto, lo que permite su unión con otras partes cromosómicas. En el linfoma de Burkitt afecta al cromosoma 8 (locus del gen Myc), lo que cambia el patrón de expresión del gen Myc alterando su función natural de control en el crecimiento y proliferación celular. La variante más frecuente produce una traslocación del cromosoma 8 al 14 —t(8;14)(q24;q32)—[1]mientras que otras variantes incluyen traslocaciones a otros cromosomas —t(2;8)(p12;q24) y t(8;22)(q24;q11)—. Se ha identificado también una traslocación mucho menos frecuente entre tres cromosomas, t(8;14;18).[3]
Clasificación

El linfoma de Burkitt se clasifica en tres variantes clínicas, la endémica, la esporádica y la asociada a la inmunodeficiencia:[1]
- La variante endémica ocurre en el África ecuatorial, es la malignidad más frecuente entre niños de esa región del mundo. Los pequeños afectados con la enfermedad por lo general también tienen una infección crónica de malaria que se cree es la razón por la que se ha reducido la resistencia al virus del Epstein-Barr. La enfermedad tiende a afectar a la mandíbula y otros huesos faciales, el íleon distal, el ciego, los ovarios, el riñón y la mama femenina.
- La variante esporádica del linfoma de Burkitt o la no-africana se localiza fuera de África. Las células tumorales tienen una apariencia similar a la del linfoma de Burkitt clásica o endémica e igualmente se cree que la inmunidad deficiente provee un punto de entrada para una infección con el virus de Epstein-Barr. Los linfomas no-Hodgkin, que incluyen al linfoma de Burkitt's, constituyen entre el 30-50 % de los linfomas de la niñez. En comparación con la variante endémica, la quijada no se ve afectada, sino que es más común ver la región ileo-cecal más involucrada.
- Asociada a inmunodeficiencia, en especial por el VIH o por un trasplante o un paciente que esté recibiendo medicamentos inmunosupresores son los afectados. De hecho, el linfoma de Burkitt tiende a ser la primera manifestación del sida y es frecuente en países occidentales.
Morfológicamente es virtualmente imposible distinguir estas tres variantes clínicas. El linfoma de Burkitt asociado a la inmunodeficiencia puede verse con una apariencia más plasmática o con más pleomorfismo, aunque estas no son características específicas.
Histología
El linfoma de Burkitt bajo el microscopio consiste en población monótona de capas celulares de tamaño medio con una gran actividad proliferativa y apoptótica. La apariencia se asemeja a una noche de estrellas, por razón de las inclusiones esparcidas de los macrófagos que han digerido las partes celulares muertas. Las células del tumor tienen un tamaño muy similar al de los histiocitos o células endoteliales, de modo que no son células muy grandes, sino de mediano tamaño. Las células tumorales tienen una pequeña cantidad de citoplasma que se tiñe basofílica. Los contornos celulares tienen la apariencia de ser cuadriláteras.

Células B malignas
Las células B normales poseen genes para la cadena pesada y la cadena ligera de las inmunoglobulinas. Cada célula B tiene su configuración única de cadenas pesadas y livianas y que son únicas en cada célula individual. Sin embargo, como las células de Burkitt provienen de procesos proliferativos, cada célula tumoral de un paciente tiende a poseer genes idénticos de la cadena pesada. Por ello, cuando se analiza una electroforesis con sangre de un paciente con linfoma de Burkitt, aparece una banda clonal constituida por genes de la cadena pesada de la Ig que han migrado a una misma posición. Otras enfermedades infecciosas como la mononucleosis infecciosa carecen de esta banda clonal electroforética.
Véase también
Referencias
- Harrison Principios de Medicina Interna 16a edición (2006). «Manifestaciones clínicas, tratamiento y pronóstico de las distintas neoplasias linfoides malignas». Harrison online en español. McGraw-Hill. Consultado el 13 de junio de 2008.
- Burkitt D (1958). «A sarcoma involving the jaws in African children». The British journal of surgery 46 (197): 218-23. PMID 13628987. doi:10.1002/bjs.18004619704.
- Liu D, Shimonov J, Primanneni S, Lai Y, Ahmed T, Seiter K (2007). «t(8;14;18): a 3-way chromosome translocation in two patients with Burkitt's lymphoma/leukemia». Mol. Cancer 6: 35. PMID 17547754. doi:10.1186/1476-4598-6-35.
Wikimedia Commons alberga una categoría multimedia sobre Linfoma de Burkitt.