Leucoaraiosis
El término leucoaraiosis se utiliza en medicina para describir un hallazgo radiológico que consiste en la pérdida difusa de densidad en varias regiones de la sustancia blanca del cerebro, próximas a los ventrículos cerebrales y a la corteza cerebral profunda.[1] No es un diagnóstico, sino un hallazgo radiológico, se detecta mediante imágenes obtenidas por diferentes técnicas, como la resonancia magnética nuclear y la tomografía axial computarizada.[2]


La leucoaraiosis puede aparecer en diferentes procesos, como la enfermedad de Alzheimer, la demencia multiinfarto y la enfermedad de Binswanger, aunque es frecuente que se observe en personas de edad avanzada que no presentan ningún signo de enfermedad. De esta forma se detecta en el 22% de sujetos menores de 40 años y en un 30-92% en mayores de 60 años, por ello para muchos autores no sería más que un proceso fisiológico asociado al envejecimiento.[3]
Se ha suscitado un debate en la comunidad médica sobre el origen e importancia de este hallazgo, no estando totalmente aclarado su significado y pronóstico. La asociación de leucoaraiosis con la existencia de cambios de conducta o demencia es factible, pero para muchos especialistas es inconsistente, teniendo en cuenta que en alguras series aparece leucoaraiosis en el 90% de las personas de más de 60 años.[4][5]
Historia
El término procede del griego leuko (blanco) y araios (rarefacción). El neurólogo canadiense Vladimir Hachinski acuñó el nombre en 1987.[6][7]
Frecuencia
- Personas normales: La leucoaraiosis aparece entre el 9 y 19% de personas normales de cualquier edad, en el 22% de los sujetos normales menores de 40 años y en el 30-92% de las personas de más de 60 años.[3]
- Demencia vascular. Aparece leucoaraiosis en el 41-100% de pacientes diagnosticados de demencia vascular.[3]
- Enfermedad de Alzheimer. La leucoaraiosis puede observarse en el 19-78% de pacientes con enfermedad de Alzheimer.[3]
Síntomas
Dado que la leucoaraiosis no es una enfermedad, sino un término de neuroimagen descriptivo y que se presenta tanto en personas completamente normales como en distintas situaciones clínicas y patológicas, entre ellas la enfermedad de Alzheimar y otras demencias, no existen síntomas específicos asociados a esta condición.[8]
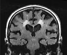
Características de las imágenes
En la Tomografía Computarizada, la leucoaraiosis se observa como regiones con menor densidad, mas oscuras que las circundantes, es decir áreas hipodensas, en Imagen por Resonancia Magnética se define como lesiones con mayor intensidad de señal es decir áreas hiperintensas, por presentar un aspecto más brillante que las zonas aledañas. Estas imágenes pueden verse en las regiones próximas a los ventrículos cerebrales, corona radiata y centro semioval.[9] Se han utilizado escalas cualitativas como la de Fazekas para determinar el grado de las lesiones:
- Grado 0 corresponde a ausencia de lesión.
- Grado 1 lesiones focales.
- Grado 2 lesiones confluentes iniciales.
- Grado 3 cuando las lesiones difusas son muy extensas y comprenden regiones cerebrales completas.
Factores que influyen en la aparición de leucoaraiosis
Se han descrito diferentes factores que pueden influir en la aparición de leucoaraiosis, los más importantes son la edad avanzada y la existencia de hipertensión arterial, existen otros como la diabetes mellitus. Una explicación posible sería que estas circunstancias se asocian a alteraciones de la microcirculación cerebral, provocando finalmente una desmielinización que podría ser la causa de las imágenes que se observan en la resonancia magnética cerebral. No obstante no existe acuerdo en la comunidad científica sobre esta explicación y se han formulado diferentes hipótesis alternativas, sin que ninguna de ellas se haya demostrado de forma concluyente.[8][10]
Véase también
- José María Pérez Gay, escritor, traductor, diplomático y académico mexicano; se le diagnosticó leucoaraiosis, entre otras posibles causas (esclerosis múltiple, esclerosis lateral, enfermedad de Pick,...) de sus problemas de salud.[11]
Referencias
- Revista Stroke: Leukoaraiosis, Ischemic Stroke, and Normal White Matter on Diffusion-Weighted MRI, 2002. Consultado el 10 de enero de 2010
- Amadeo Muntané Sánchez: La mente y el cerebro. Visión orgánica, funcional y metafísica, 2005. Consultado el 8 de enero de 2010
- Análisis comparativo de la leucoaraiosis en la enfermedad de Alzheimer, la enfermedad de Binswanger y los infartos lacunares. Estudio por Resonancia Magnética convencional y espectroscópica. Tesis doctoral. Universidad Autónoma de Barcelona, consultado el 14 de octubre de 2016.
- Federico Micheli: Tratado de neurología clínica. Consultado el 15 de octubre de 2016
- Revista Stroke: New Clinical Relevance of Leukoaraiosis, 1998. Consultado el 8 de diciembre de 2010.
- Revista neurológica Argentina: Homenaje al profesor Vladimir Hachinski, 2001. Consultado el 8 de enero de 2010.
- Hachinski V.C., Potter P., Merskey H: Leuko-araiosis, Arch Neurol. 1987; 44: 21-23
- VV.AA: Leucoaraiosis. Aspectos fisiopatológicos y diagnóstico por imagen. Rev haban cienc méd vol.12 no.3, jul.-set. 2013. Consultado el 20 de octubre de 2016.
- Cambios en la sustancia blanca cerebral y deterioro cognitivo. Revista NeuropsicologÌa, NeuropsiquiatrÌa y Neurociencias, Vol. 6, p.13-20. Consultado el 18 de octubre de 2016.
- VV.AA: Deterioro cognitivo asociado a la leucoaraiosis:fisiopatología, manifestaciones clínicas y tratamiento. Rev Neurol 2008; 47 (10): 536-544. Consultado el 20 de octubre de 2016
- Pérez Gay, Rafael (2013). El cerebro de mi hermano. Ciudad de México: Planeta Mexicana. ISBN 978-607-1929-5.
Enlaces externos
Wikimedia Commons alberga una categoría multimedia sobre Leucoaraiosis.