Lesión de Hill Sachs

Una lesión de Hill Sachs, también llamada fractura de Hill Sachs, es una depresión cortical en la parte posterolateral de la cabeza humeral.[1] Sucede a causa de la impactación de la cabeza humeral contra el reborde glenoideo anteroinferior al producirse una dislocación anterior del hombro.

Lesión de Hill Sachs

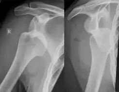
Luxación de hombro derecho con lesión de Hill Sachs
Especialidad Traumatología
Sinónimos
Fractura de Hill Sachs
 Aviso médico 

Epónimo

Esta lesión recibe su nombre de Harold Arthur Hill (1901-1973) y Maurice David Sachs (1909-1987),[2] dos radiólogos de San Francisco (EE. UU.). En 1940 publicaron una revisión de 119 casos de luxación de hombro, mostrando que el defecto se producía con la compresión de la cabeza humeral. Antes de su publicación, este tipo de fractura ya se conocía como signo de luxación de hombro, pero su forma de producción era desconocida.

Causas

La lesión se asocia exclusivamente con dislocaciones anteriores del hombro.[3] Cuando se desvía de la cavidad glenohumeral, la cabeza del húmero (relativamente pequeña para el espacio de la articulación) impacta contra el límite anterior del glenoide. El resultado es un achatamiento del aspecto posteromedial de la cabeza humeral. El mecanismo de producción de las dislocaciones suele ser traumático, aunque puede variar, especialmente si existe historia de dislocaciones previas. Deportes, caídas, lanzamientos, cualquier tipo de movimiento brusco realizado con el hombro puede ser causa de dislocaciones.

Importancia clínica

La lesión de Hill Sachs puede encontrarse hasta en el 92 % de las dislocaciones anteriores recurrentes. La prevalencia general en las dislocaciones es del 35-76 %. [4]Su presencia, por lo tanto, puede ser utilizada como marcador de que ha existido una dislocación aun cuando el húmero haya vuelto a su posición original.

La mayor parte de estas fracturas se encuentran a través de estudios radiológicos convencionales. Una radiografía posteroanterior con el brazo en rotación interna ofrece una buena visión del defecto, mientras que visiones axilares con el brazo en rotación externa tienden a ocultarlo. La sensibilidad y especificidad de la radiografía se encuentra en un 65 % y 67 %, respectivamente. La ultrasonografía también ha demostrado ser un método útil para identificar esta lesión, con una sensibilidad del 96 % y una especificidad del 100 %.

Tratamiento

Solo se indica la reparación de la fractura cuando está implicada en una inestabilidad significativa del hombro. Existen diferentes métodos quirúrgicos, aunque el más simple y efectivo es imbricar ligeramente la cápsula, limitando por tanto la rotación externa.

Véase también

Referencias

  1. About Orthopedics en inglés.
  2. Hill, Harold A.; Sachs, Maurice D. (1 de diciembre de 1940). «The Grooved Defect of the Humeral Head». Radiology 35 (6): 690-700. ISSN 0033-8419. doi:10.1148/35.6.690. Consultado el 22 de noviembre de 2021.
  3. «Patología del aparato locomotor». Archivado desde el original el 31 de octubre de 2014. Consultado el 31 de octubre de 2014.
  4. Taylor, Dean C.; Arciero, Robert A. (1 de mayo de 1997). «Pathologic Changes Associated with Shoulder Dislocations: Arthroscopic and Physical Examination Findings in First-Time, Traumatic Anterior Dislocations». The American Journal of Sports Medicine (en inglés) 25 (3): 306-311. ISSN 0363-5465. doi:10.1177/036354659702500306. Consultado el 22 de noviembre de 2021.
Este artículo ha sido escrito por Wikipedia. El texto está disponible bajo la licencia Creative Commons - Atribución - CompartirIgual. Pueden aplicarse cláusulas adicionales a los archivos multimedia.