Infección de transmisión vertical
Una infección de transmisión vertical es una infección causada por patógenos (como bacterias y virus) que utilizan la transmisión de madre a hijo, es decir, la transmisión directa de la madre a un embrión, feto o bebé durante el embarazo o el parto. Puede ocurrir cuando la madre tiene una enfermedad preexistente o se infecta durante el embarazo. Las deficiencias nutricionales pueden exacerbar los riesgos de infecciones perinatales.
Infección de transmisión vertical | ||
---|---|---|
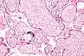
![]() Micrografía de citomegalovirus (CMV) infección de la placenta (placentitis CMV), una infección de transmisión vertical: El característico gran núcleo de una célula infectada con CMV se ve descentrada en la parte inferior derecha de la imagen, tinción H&E. | ||
Especialidad | pediatría | |
![]() | ||
Tipos de infecciones
Las bacterias, los virus y otros organismos pueden transmitirse de madre a hijo. Varias infecciones de transmisión vertical se incluyen en el complejo TORCH:[1]
- T - toxoplasmosis por Toxoplasma gondii
- O - otras infecciones (ver más abajo)
- R - rubéola
- C - citomegalovirus
- H - virus del herpes simple-2 o herpes simple neonatal
Otras infecciones incluyen:
- Parvovirus B19[2]
- Virus Coxsackie[3]
- Varicela (causada por el virus varicela zóster)[4]
- Clamidia[5]
- VIH[6][7]
- Virus linfotrópico T humano[8]
- Sífilis[9]
- La fiebre del Zika, causada por el virus del Zika, puede provocar microcefalia y otros defectos cerebrales en el niño.[10]
La hepatitis B también se puede clasificar como una infección de transmisión vertical. El virus de la hepatitis B es grande y no atraviesa la placenta. Por lo tanto, no puede infectar al feto a menos que se hayan producido rupturas en la barrera materno-fetal, pero tales rupturas pueden ocurrir en el sangrado durante el parto o la amniocentesis.[11]
Originalmente, se consideró que el complejo TORCH constaba de las cuatro condiciones mencionadas anteriormente,[12] con el "TO" refiriéndose a Toxoplasma. La forma de cuatro términos todavía se usa en muchas referencias modernas,[13] y la capitalización "ToRCH" se usa a veces en estos contextos.[14] El acrónimo también se ha incluido como TORCHES, para TOxoplasmosis, Rubéola, Citomegalovirus, HErpes simplex y Sífilis.
Ford-Jones y Kellner propusieron una nueva expansión de este acrónimo, CHEAPTORCHES:[15]
- C - varicela y herpes zóster
- H - hepatitis, C[16] (D), E
- E - enterovirus
- A - SIDA (infección por VIH)
- P - parvovirus B19 (produce hidropesía fetal secundaria a anemia aplásica)
- T - toxoplasmosis
- O - otros (estreptococos del grupo B, Listeria, Candida y enfermedad de Lyme)
- R - rubéola
- C - citomegalovirus
- H - herpes simple
- E - todos los demás de transmisión sexual (gonorrea, infección por clamidia, Ureaplasma urealyticum y virus del papiloma humano)
- S - sífilis
Signos y síntomas
Los signos y síntomas de una infección de transmisión vertical dependen del patógeno individual. En la madre, puede causar signos sutiles, como una enfermedad similar a la influenza, o posiblemente ningún síntoma. En tales casos, los efectos pueden verse primero al nacer.
Los síntomas de una infección de transmisión vertical pueden incluir fiebre y síntomas similares a los de la gripe. El recién nacido suele ser pequeño para la edad gestacional. Puede presentarse una erupción petequial en la piel, con pequeñas manchas rojizas o violáceas debido al sangrado de los capilares debajo de la piel. El hígado y el bazo agrandados (hepatoesplenomegalia) son comunes, al igual que la ictericia. Sin embargo, la ictericia es menos frecuente en la hepatitis B porque el sistema inmunitario de un recién nacido no está lo suficientemente desarrollado para generar una respuesta contra las células del hígado, como normalmente sería la causa de la ictericia en un niño mayor o un adulto. La discapacidad auditiva, los problemas oculares, el retraso mental, el autismo y la muerte pueden ser causados por infecciones de transmisión vertical.
Las condiciones genéticas del síndrome de Aicardi-Goutieres posiblemente estén presentes de manera similar.[17][18]
Rutas causales
Las principales vías de transmisión de las infecciones de transmisión vertical son a través de la placenta (transplacentaria) y a través del aparato reproductor femenino durante el parto. La transmisión también es posible por rupturas en la barrera materno-fetal como por amniocentesis[11] o trauma mayor.
Transplacentario
El embrión y el feto tienen poca o ninguna función inmunológica. Dependen de la función inmunológica de su madre. Varios patógenos pueden atravesar la placenta y causar una infección perinatal. A menudo, los microorganismos que producen enfermedades menores en la madre son muy peligrosos para el embrión o el feto en desarrollo. Esto puede resultar en un aborto espontáneo o en trastornos importantes del desarrollo. Para muchas infecciones, el bebé corre más riesgo en determinadas etapas del embarazo. Los problemas relacionados con la infección perinatal no siempre se notan directamente.
Además de infectar al feto, los patógenos transplacentarios pueden causar placentitis (inflamación de la placenta) y/o corioamnionitis (inflamación de las membranas fetales).
Durante el parto
Los recién nacidos también pueden ser infectados por sus madres durante el parto. Algunos agentes infecciosos pueden transmitirse al embrión o al feto en el útero, mientras pasan por el canal del parto o incluso poco después del nacimiento. La distinción es importante porque cuando la transmisión es principalmente durante o después del nacimiento, la intervención médica puede ayudar a prevenir infecciones en el bebé. Durante el nacimiento, los bebés están expuestos a la sangre materna, fluidos corporales y al tracto genital materno sin que intervenga la barrera placentaria. Debido a esto, los microorganismos transmitidos por la sangre (hepatitis B, VIH), los organismos asociados con enfermedades de transmisión sexual (por ejemplo, Neisseria gonorrhoeae y Chlamydia trachomatis) y la fauna normal del tracto genitourinario (por ejemplo, Candida albicans) se encuentran entre los que se observan comúnmente en infección de los recién nacidos.
Fisiopatología
Virulencia versus simbiosis
En el espectro de virulencia óptima, la transmisión vertical tiende a desarrollar una simbiosis benigna, por lo que es un concepto crítico para la medicina evolutiva. Debido a que la capacidad de un patógeno para pasar de madre a hijo depende significativamente de la capacidad de reproducción del huésped, la transmisibilidad de los patógenos tiende a estar inversamente relacionada con su virulencia. En otras palabras, a medida que los patógenos se vuelven más dañinos y, por lo tanto, disminuyen la tasa de reproducción de su organismo huésped, es menos probable que se transmitan a la descendencia de los huéspedes, ya que tendrán menos descendencia.[19]
Aunque el VIH a veces se transmite a través de la transmisión perinatal, su virulencia puede explicarse debido a que su principal modo de transmisión no es vertical. Además, la medicina ha disminuido aún más la frecuencia de transmisión vertical del VIH. La incidencia de casos de VIH perinatal en los Estados Unidos ha disminuido como resultado de la implementación de recomendaciones sobre asesoramiento sobre VIH y prácticas de pruebas voluntarias y el uso de la terapia con zidovudina por parte de los proveedores para reducir la transmisión perinatal del VIH.[20]
Sin embargo, el precio pagado en la evolución de la simbiosis es alto: durante muchas generaciones, casi todos los casos de transmisión vertical continúan siendo patológicos, en particular si existen otras vías de transmisión. Se necesitan muchas generaciones de mutaciones y selecciones aleatorias para desarrollar la simbiosis. Durante este tiempo, la gran mayoría de los casos de transmisión vertical exhiben la virulencia inicial.
En la teoría de la herencia dual, la transmisión vertical se refiere a la transmisión de rasgos culturales de padres a hijos.[21]
Diagnóstico
Cuando el examen físico del recién nacido muestra signos de una infección de transmisión vertical, el examinador puede analizar sangre, orina y líquido cefalorraquídeo en busca de evidencia de las infecciones mencionadas anteriormente. El diagnóstico puede confirmarse mediante cultivo de uno de los patógenos específicos o mediante niveles elevados de IgM contra el patógeno.
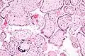
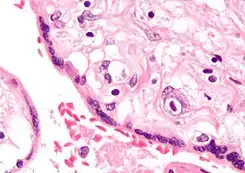
- Placentitis por citomegalovirus (CMV)
- Placentitis por citomegalovirus (CMV)
Clasificación
Una infección de transmisión vertical puede denominarse infección perinatal si se transmite en el período perinatal, que comienza a edades gestacionales entre las 22[22] y las 28 semanas[23] (con variaciones regionales en la definición) y finaliza siete días completos después del nacimiento. .[22]
El término infección congénita se puede utilizar si la infección de transmisión vertical persiste después del parto.

Algunas infecciones de transmisión vertical, como la toxoplasmosis y la sífilis, pueden tratarse eficazmente con antibióticos si se diagnostica a la madre en las primeras etapas del embarazo. Muchas infecciones virales de transmisión vertical no tienen tratamiento efectivo, pero algunas, en particular la rubéola y la varicela-zóster, pueden prevenirse vacunando a la madre antes del embarazo.
Las mujeres embarazadas que viven en áreas endémicas de malaria son candidatas para la profilaxis de la malaria. Mejora clínicamente la anemia y parasitemia de las gestantes, y el peso al nacer de sus hijos.[24]
Si la madre tiene herpes simplex activo (como lo puede sugerir una prueba de Papanicolaou), el parto por cesárea puede evitar que el recién nacido entre en contacto y, en consecuencia, se infecte con este virus.
El anticuerpo IgG2 puede desempeñar un papel crucial en la prevención de infecciones intrauterinas y se está realizando una amplia investigación para desarrollar terapias basadas en IgG2 para el tratamiento y la vacunación.[25]
Pronóstico
Cada tipo de infección de transmisión vertical tiene un pronóstico diferente. La etapa del embarazo en el momento de la infección también puede cambiar el efecto sobre el recién nacido.
Referencias
- «TORCH Complex». National Center for Biotechnology Information, U.S. National Library of Medicine. 2021. Consultado el 27 August 2021.
- «Parvovirus B19». The Lecturio Medical Concept Library. Consultado el 27 August 2021.
- «Coxsackievirus». The Lecturio Medical Concept Library. Consultado el 27 August 2021.
- «Varicella-Zoster Virus/Chickenpox». The Lecturio Medical Concept Library. Consultado el 27 August 2021.
- Yu, Jialin; Wu, Shixiao; Li, Fang; Hu, Linyan (2009). «Vertical Transmission of Chlamydia trachomatis in Chongqing China». Current Microbiology 58 (4): 315-320. ISSN 0343-8651. PMID 19123031. doi:10.1007/s00284-008-9331-5.
- Ugen, K E; Goedert, J J; Boyer, J et al. (June 1992). «Vertical transmission of human immunodeficiency virus (HIV) infection. Reactivity of maternal sera with glycoprotein 120 and 41 peptides from HIV type 1.». Journal of Clinical Investigation 89 (6): 1923-1930. ISSN 0021-9738. PMC 295892. PMID 1601999. doi:10.1172/JCI115798.
- Fawzi, Wafaie W.; Msamanga, Gernard; Hunter, David et al. (2000). «Randomized Trial of Vitamin Supplements in Relation to Vertical Transmission of HIV-1 in Tanzania». Journal of Acquired Immune Deficiency Syndromes 23 (3): 246-254. ISSN 1525-4135. PMID 10839660. doi:10.1097/00042560-200003010-00006.
- Hisada, Michie; Maloney, Elizabeth M.; Sawada, Takashi et al. (2002). «Virus Markers Associated with Vertical Transmission of Human T Lymphotropic Virus Type 1 in Jamaica». Clinical Infectious Diseases 34 (12): 1551-1557. ISSN 1058-4838. PMID 12032888. doi:10.1086/340537.
- Lee, M.-J.; Hallmark, R.J.; Frenkel, L.M.; Del Priore, G. (1998). «Maternal syphilis and vertical perinatal transmission of human immunodeficiency virus type-1 infection». International Journal of Gynecology & Obstetrics 63 (3): 247-252. ISSN 0020-7292. PMID 9989893. doi:10.1016/S0020-7292(98)00165-9.
- «CDC Concludes Zika Causes Microcephaly and Other Birth Defects». CDC Newsroom Releases. Centers for Disease Control and Prevention. 13 April 2016.
- «Hepatitis B». Emergencies preparedness, response. World Health Organization. Consultado el 29 April 2016.
- Kinney, JS; Kumar, ML (December 1988). «Should we expand the TORCH complex? A description of clinical and diagnostic aspects of selected old and new agents». Clinics in Perinatology 15 (4): 727-44. ISSN 0095-5108. PMID 2850128. doi:10.1016/S0095-5108(18)30670-5.
- Abdel-Fattah, Sherif A.; Bhat, Abha; Illanes, Sebastian et al. (November 2005). «TORCH test for fetal medicine indications: only CMV is necessary in the United Kingdom». Prenatal Diagnosis 25 (11): 1028-1031. ISSN 0197-3851. PMID 16231309. doi:10.1002/pd.1242.
- Li, Ding; Yang, Hao; Zhang, Wen-Hong et al. (2006). «A Simple Parallel Analytical Method of Prenatal Screening». Gynecologic and Obstetric Investigation 62 (4): 220-225. ISSN 1423-002X. PMID 16791006. doi:10.1159/000094092.
- Ford-Jones, E. L.; Kellner, J. D. (1995). «"Cheap torches": An acronym for congenital and perinatal infections». The Pediatric Infectious Disease Journal 14 (7): 638-640. PMID 7567307. doi:10.1097/00006454-199507000-00028.
- Tosone, G.; Maraolo, A.E.; Mascolo, S. et al. (2014). «Vertical hepatitis C virus transmission: Main questions and answers». World Journal of Hepatology 6 (8): 538-548. PMC 4163737. PMID 25232447. doi:10.4254/wjh.v6.i8.538.
- Knoblauch, Hans; Tennstedt, Cornelia; Brueck, Wolfgang; Hammer, Hannes; Vulliamy, Tom; Dokal, Inderjeet; Lehmann, Rüdiger; Hanefeld, Folker et al. (2003). «Two brothers with findings resembling congenital intrauterine infection-like syndrome (pseudo-TORCH syndrome)». American Journal of Medical Genetics. 120A (2): 261-265. ISSN 0148-7299. PMID 12833411. doi:10.1002/ajmg.a.20138.
- Vivarelli, Rossella; Grosso, Salvatore; Cioni, Maddalena; Galluzzi, Paolo; Monti, Lucia; Morgese, Guido; Balestri, Paolo (March 2001). «Pseudo-TORCH syndrome or Baraitser–Reardon syndrome: diagnostic criteria». Brain and Development 23 (1): 18-23. ISSN 0387-7604. PMID 11226724. doi:10.1016/S0387-7604(00)00188-1.
- Stewart, Andrew D.; Logsdon, John M.; Kelley, Steven E. (April 2005). «An empirical study of the evolution of virulence under both horizontal and vertical transmission». Evolution 59 (4): 730-739. ISSN 0014-3820. PMID 15926685. doi:10.1554/03-330.
- Joo, Esther; Carmack, Anne; Garcia-Buñuel, Elizabeth; Kelly, Chester J. (February 2000). «Implementation of guidelines for HIV counseling and voluntary HIV testing of pregnant women». American Journal of Public Health 90 (2): 273-276. ISSN 0090-0036. PMC 1446152. PMID 10667191. doi:10.2105/AJPH.90.2.273.
- Cavalli-Sforza, Luigi Luca; Feldman, Marcus W. (1981). Cultural Transmission and Evolution: A Quantitative Approach. Monographs in Population Biology 16. Princeton University Press. pp. 1-388. ISBN 0-691-08283-9. Consultado el 30 April 2016.
- «Definitions and Indicators in Family Planning. Maternal & Child Health and Reproductive Health». Archivado desde el original el 25 January 2012. By European Regional Office, World Health Organization. Revised March 1999 & January 2001. In turn citing: WHO Geneva, WHA20.19, WHA43.27, Article 23
- Singh, Meharban (2010). Care of the Newborn. p. 7. Edition 7. ISBN 9788170820536
- Radeva-Petrova, D; Kayentao, K; ter Kuile, FO; Sinclair, D; Garner, P (10 October 2014). «Drugs for preventing malaria in pregnant women in endemic areas: any drug regimen versus placebo or no treatment.». The Cochrane Database of Systematic Reviews (10): CD000169. PMC 4498495. PMID 25300703. doi:10.1002/14651858.CD000169.pub3.
- Syal K and Karande AA. IgG2 Subclass Isotype Antibody and Intrauterine Infections. Current Science Vol. 102, No. 11, 10 June 2012.