Hipoxia fetal
La hipoxia fetal es una disminución del aporte de oxígeno en la sangre, que puede comprometer el bienestar del feto durante el embarazo o especialmente en el momento del nacimiento.
Hipoxia fetal | ||
---|---|---|
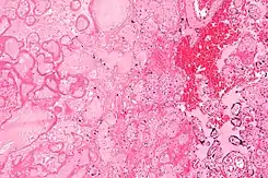
![]() Microfotografía de un infarto de la placenta (a la izquierda de la imagen), una causa de la hipoxia intrauterina. Tinción de H&E. | ||
Especialidad | pediatría | |
![]() | ||
Se origina en diversas situaciones, como alteraciones de la función placentaria o al ajustarse alrededor del cuello del feto el cordón umbilical, lo que puede impedir el paso de sangre al cerebro del feto, produciéndole posibles secuelas o la muerte.
La hipoxia fetal puede causar daños celulares que se producen dentro del sistema nervioso central (el cerebro y la médula espinal). Esto da lugar a un aumento de la tasa de mortalidad, incluido un mayor riesgo de síndrome de muerte súbita del lactante (SMSL). La falta de oxígeno en el feto y el recién nacido ha sido considerada como un factor de riesgo primario o como un factor de riesgo contribuyente en numerosos trastornos neurológicos y neuropsiquiátricos como la epilepsia, el trastorno por déficit de atención e hiperactividad, los trastornos alimentarios y la parálisis cerebral.[1][2][3][4][5][6]
Causas

Hay varias causas para la hipoxia fetal. La causa más prevenible es el tabaquismo materno. Se ha demostrado que fumar cigarrillos por parte de las mujeres embarazadas tiene una amplia variedad de efectos deletéreos en el feto en desarrollo. Entre los efectos negativos están la hipoxia tisular inducida por el monóxido de carbono y la insuficiencia placentaria, que provoca una reducción del flujo sanguíneo del útero a la placenta, con lo que se reduce la disponibilidad de sangre oxigenada para el feto. Se ha demostrado que la insuficiencia placentaria como resultado del tabaquismo tiene un efecto causal en el desarrollo de la preeclampsia.
Si bien algunos estudios anteriores han sugerido que el monóxido de carbono del humo del cigarrillo puede tener un efecto protector contra la preeclampsia, un estudio reciente realizado por el Consorcio de Genética de la Preeclampsia en el Reino Unido determinó que los fumadores tenían cinco veces más probabilidades de desarrollar preeclampsia.[7] Se ha demostrado que la nicotina sola es un teratógeno que afecta al sistema nervioso autónomo, lo que aumenta la susceptibilidad a los daños cerebrales inducidos por la hipoxia.[7][8][9][10][11][12] La anemia materna en la que también se ha implicado el tabaquismo es otro factor asociado con la hipoxia fetal. El tabaquismo de las mujeres embarazadas causa una disminución de los glóbulos rojos nucleados maternos, reduciendo así la cantidad de glóbulos rojos disponibles para el transporte de oxígeno.[13][14][15]
La lesión cerebral perinatal que se produce como resultado de la asfixia de nacimiento, que se manifiesta dentro de las 48 horas siguientes al nacimiento, es una forma de encefalopatía isquémica hipóxica.
Diagnóstico
La hipoxia intrauterina puede ser diagnosticada a través de la oximetría fetal.[16]
Tratamiento
Actualmente se sabe que el tratamiento de los lactantes que sufren asfixia de nacimiento mediante la disminución de la temperatura corporal central es una terapia eficaz para reducir la mortalidad y mejorar el resultado neurológico en los supervivientes, y la terapia de hipotermia para la encefalopatía neonatal iniciada dentro de las seis horas siguientes al nacimiento aumenta considerablemente las posibilidades de supervivencia normal en los lactantes afectados.
Desde hace mucho tiempo se debate si los recién nacidos con asfixia de nacimiento deben ser resucitados con 100% de oxígeno o con aire normal.[17] Se ha demostrado que las altas concentraciones de oxígeno conducen a la generación de radicales libres de oxígeno, que tienen un papel en la lesión por reperfusión después de la asfixia.[18]La investigación de Ola Didrik Saugstad y otros condujo a nuevas directrices internacionales sobre resucitación de recién nacidos en 2010, que recomiendan el uso de aire normal en lugar de 100% de oxígeno.[19][20]
Epidemiología
En los Estados Unidos, la hipoxia intrauterina y la asfixia de nacimiento se clasificaron juntas como la décima causa de muerte neonatal.[21]
Sociedad
La hipoxia fetal es también un factor causante de defectos de nacimiento cardíacos y circulatorios, la sexta condición más costosa, así como el nacimiento prematuro y el bajo peso al nacer, la segunda más costosa, y es uno de los factores que contribuyen al síndrome de dificultad respiratoria infantil (SDR), también conocido como enfermedad de la membrana hialina, la condición médica más costosa de tratar y la causa número uno de mortalidad infantil.[22][23][24]
La condición médica más cara tratada en los hospitales de EE.UU. 4 de cada 10 relacionadas con la hipoxia intrauterina/asfixia de nacimiento | Coste | Cargo del hospital |
1. Síndrome de dificultad respiratoria infantil | 45,542$ | 138,224$ |
2. Nacimiento prematuro y bajo peso al nacer | 44,490$ | 119,389$ |
6. Defectos de nacimiento cardíacos y circulatorios | 35,960$ | 101,412$ |
9. Hipoxia intrauterina o asfixia de nacimiento | 27,962$ | 74,942$ |
Medicolegal
En los Estados Unidos, el Informe Anual de 2006 del Banco Nacional de Datos de Médicos sobre los casos relacionados con la obstetricia representó el 8,7% de todos los informes de pago por mala práctica médica de 2006 y tuvo los montos de pago medios más altos (333.334 dólares).[25]
Referencias
- Maslova, MV; Maklakova, AS; Sokolova, NA; Ashmarin, IP; Goncharenko, EN; Krushinskaya, YV (2003). «The effects of ante- and postnatal hypoxia on the central nervous system and their correction with peptide hormones». Neuroscience and Behavioral Physiology 33 (6): 607-11. PMID 14552554. doi:10.1023/A:1023938905744.
- Habek, D; Habek, JC; Jugović, D; Salihagić, A (2002). «Intrauterine hypoxia and sudden infant death syndrome». Acta Medica Croatica : Casopis Hravatske Akademije Medicinskih Znanosti 56 (3): 109-18. PMID 12630342.
- Bulterys, MG; Greenland, S; Kraus, JF (1990). «Chronic fetal hypoxia and sudden infant death syndrome: interaction between maternal smoking and low hematocrit during pregnancy». Pediatrics 86 (4): 535-40. PMID 2216618.
- Peleg, D; Kennedy, CM; Hunter, SK (1998). «Intrauterine growth restriction: identification and management». American Family Physician 58 (2): 453-60, 466-7. PMID 9713399.
- Rosenberg, A (2008). «The IUGR newborn». Seminars in Perinatology 32 (3): 219-24. PMID 18482625. doi:10.1053/j.semperi.2007.11.003.
- Gonzalez, FF; Miller, SP (2006). «Does perinatal asphyxia impair cognitive function without cerebral palsy?». Archives of Disease in Childhood: Fetal and Neonatal Edition 91 (6): F454-9. PMC 2672766. PMID 17056843. doi:10.1136/adc.2005.092445.
- Pipkin FB,((Genetics of Preeclampsia, Consortium)) (2008). «Smoking in moderate/severe preeclampsia worsens pregnancy outcome, but smoking cessation limits the damage». Hypertension 51 (4): 1042-6. PMID 18259022. doi:10.1161/HYPERTENSIONAHA.107.106559.
- Slotkin, TA (1998). «Fetal nicotine or cocaine exposure: which one is worse?». The Journal of Pharmacology and Experimental Therapeutics 285 (3): 931-45. PMID 9618392.
- Bouhours-Nouet, N; May-Panloup, P; Coutant, R; De Casson, FB; Descamps, P; Douay, O; Reynier, P; Ritz, P; Malthièry, Y; Simard, G (2005). «Maternal smoking is associated with mitochondrial DNA depletion and respiratory chain complex III deficiency in placenta». American Journal of Physiology. Endocrinology and Metabolism 288 (1): E171-7. PMID 15585597. doi:10.1152/ajpendo.00260.2003.
- Gogiia, TE (2005). «Risk of iugr syndrome development during preeclampsia of the pregnant». Georgian Medical News (128): 15-7. PMID 16369054.
- Salafia, CM; Minior, VK; Pezzullo, JC; Popek, EJ; Rosenkrantz, TS; Vintzileos, AM (1995). «Intrauterine growth restriction in infants of less than thirty-two weeks' gestation: associated placental pathologic features». American Journal of Obstetrics and Gynecology 173 (4): 1049-57. PMID 7485292. doi:10.1016/0002-9378(95)91325-4.
- Kingdom, JC; Kaufmann, P (1997). «Oxygen and placental villous development: origins of fetal hypoxia». Placenta 18 (8): 613-21; discussion 623-6. PMID 9364596. doi:10.1016/S0143-4004(97)90000-X.
- Chełchowska, M; Laskowska-Klita, T (2002). «Effect of maternal smoking on some markers of iron status in umbilical cord blood». Roczniki Akademii Medycznej W Bialymstoku (1995) 47: 235-40. PMID 12533965.
- Habek, D; Habek, JC; Ivanisević, M; Djelmis, J (2002). «Fetal tobacco syndrome and perinatal outcome». Fetal Diagnosis and Therapy 17 (6): 367-71. PMID 12393968. doi:10.1159/000065387.
- Pathology of the human placenta By Kurt Benirschke, Peter Kaufmann. page 453. Publisher: Springer; 4th edition (March 23, 2000) Language: English ISBN 0-387-98894-7 ISBN 978-0387988948
- Davis, PG; Tan, A; O'Donnell, CPF; Schulze, A (2004). «Resuscitation of newborn infants with 100% oxygen or air: a systematic review and meta-analysis». The Lancet 364 (9442): 1329-1333. PMID 15474135. doi:10.1016/S0140-6736(04)17189-4.
- Kutzsche, S; Ilves, P; Kirkeby, OJ; Saugstad, OD (2001). «Hydrogen peroxide production in leukocytes during cerebral hypoxia and reoxygenation with 100% or 21% oxygen in newborn piglets». Pediatric Research 49 (6): 834-842. PMID 11385146. doi:10.1203/00006450-200106000-00020.
- Norwegian paediatrician honoured by University of Athens, Norway.gr
- ILCOR Neonatal Resuscitation Guidelines 2010
- National Center for Health Statistics
- Rueda-Clausen, CF; Morton, JS; Davidge, ST (2009). «Effects of hypoxia-induced intrauterine growth restriction on cardiopulmonary structure and function during adulthood». Cardiovascular Research 81 (4): 713-22. PMID 19088083. doi:10.1093/cvr/cvn341.
- Sly, PD; Drew, JH (1981). «Massive pulmonary haemorrhage: a cause of sudden unexpected deaths in severely growth retarded infants». Australian Paediatric Journal 17 (1): 32-4. PMID 7247876. doi:10.1111/j.1440-1754.1981.tb00010.x.
- Hyaline Membrane Disease eMedicine
- «National Practitioner Data Bank 2006 Annual Report». Archivado desde el original el 27 de mayo de 2010. Consultado el 4 de marzo de 2020.
- Esta obra contiene una traducción derivada de «Intrauterine hypoxia» de Wikipedia en inglés, concretamente de esta versión, publicada por sus editores bajo la Licencia de documentación libre de GNU y la Licencia Creative Commons Atribución-CompartirIgual 3.0 Unported.