Granulaciones aracnoideas
Las granulaciones aracnoideas (también vellosidades aracnoideas y granulaciones o cuerpos pacíferos) son pequeñas protuberancias de la materia aracnoidea (la segunda capa delgada que cubre el cerebro) en la membrana externa de la duramadre (la capa externa gruesa). Sobresalen en los senos venosos durales del cerebro y permiten que el líquido cefalorraquídeo (LCR) salga del espacio subaracnoideo y entre en el torrente sanguíneo.
Granulaciones aracnoideas | ||
---|---|---|
![]() Representación diagramática de una sección a través de la parte superior del cráneo, mostrando las membranas del cerebro, etc. (El rótulo "granulación aracnoidea" está en la parte superior derecha). | ||
Nombre y clasificación | ||
Latín | Granulationes arachnoideae | |
TA | A14.1.01.205 | |
| ||
![]() | ||
Las mayores granulaciones se encuentran a lo largo del seno sagital superior, un gran espacio venoso que va de delante a atrás a lo largo del centro de la cabeza (en el interior del cráneo). Sin embargo, también están presentes en otros senos durales.
Función
La difusión a través de las granulaciones aracnoideas hacia el seno sagital superior devuelve el LCR a la circulación venosa.[1]
Las granulaciones aracnoideas actúan como válvulas unidireccionales. Normalmente la presión del LCR es mayor que la del sistema venoso, por lo que el LCR fluye a través de las vellosidades y granulaciones hacia la sangre. Si la presión se invierte por algún motivo, el líquido no vuelve a pasar al espacio subaracnoideo. Se desconoce la razón de esto. Se ha sugerido que las células endoteliales del seno venoso crean vacuolas de LCR, que se mueven a través de la célula y salen a la sangre.
La importancia de las granulaciones aracnoideas para el drenaje del LCR es controvertida. Según algunas opiniones, una gran parte (quizás la mayoría) del LCR se drena a través de los linfáticos asociados a los segmentos extracraneales de los nervios craneales. Se cree que una gran proporción del LCR sale de la bóveda craneal a través de los axones del CN I (nervio olfativo) por su extensión a través de la lámina cribosa.
En la superficie interna de los huesos craneales se producen pequeñas fosas llamadas fóvea granular por granulaciones aracnoideas.[2][3]
Epónimo
Ocasionalmente, se les conoce por su antiguo nombre: granulaciones de Pacchioni o cuerpos pacchionianos, llamados así por el anatomista italiano Antonio Pacchioni.[4]
Imágenes adicionales
- Hueso parietal izquierdo. Superficie interna.
- Hueso frontal. Superficie interna.
- Angiografía por TC que muestra una granulación aracnoidea en el seno transverso derecho
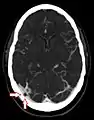
- TC sin contraste de la cabeza que muestra una granulación aracnoidea
Referencias
- Martini, Frederick; Timmons, Michael; Tallitsch, Robert (2015). Human Anatomy (Eighth edición). Boston: Pearson. p. 453. ISBN 978-0-321-88332-2.
- Linden Forest Edwards (1934). Anatomy for physical education, descriptive and applied. P. Blakiston's son & co., inc. p. 80. Consultado el 23 June 2012.
- Sir Henry Morris (1921). Morris's human anatomy. P. Blakiston's son & Company. p. 953. Consultado el 23 June 2012.
- synd/392 en Who Named It?
Enlaces externos
- Esta obra contiene una traducción derivada de «Arachnoid granulation» de Wikipedia en inglés, concretamente de esta versión, publicada por sus editores bajo la Licencia de documentación libre de GNU y la Licencia Creative Commons Atribución-CompartirIgual 3.0 Unported.