Gliomatosis cerebri
La gliomatosis cerebri (o gliomatosis cerebral, GC) es una rara neoplasia del sistema nervioso central (aproximadamente el 1% de todos los tumores cerebrales), en la que las células gliales neoplásicas infiltran difusamente (prácticamente sin formar nódulos) partes extensas del mismo: cerebro, médula espinal, nervio óptico, sustancia blanca, etc. El pico de máxima incidencia de esta entidad ocurre entre los 40 y 50 años, aunque puede presentarse a cualquier edad.[1] Es reconocida por la clasificación de tumores cerebrales de la Organización Mundial de la Salud (OMS) desde 1979 como una entidad específica entre los tumores neuroepiteliales de origen incierto.[2] El término fue acuñado por Samuel Nevin en 1938[3] y desde entonces en la literatura se han descrito unos 200 casos.[4]
Gliomatosis cerebri | ||
---|---|---|
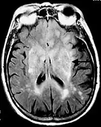
![]() La imagen de RM ponderada en T2 muestra (en el lado derecho) la infiltración difusa del tumor. | ||
Especialidad | oncología | |
![]() | ||
El tumor puede presentarse de novo (GC primaria) o ser el resultado de la progresión de un glioma inicialmente focalizado (GC secundaria).[5] La gliomatosis cerebral presenta un comportamiento biológico habitualmente agresivo, por lo que la OMS la clasifica en el grado III de malignidad.
En las imágenes de resonancia magnética, el tumor aparece como una lesión difusa, poco circunscrita, infiltrante y sin captación de contraste, con señal hiperintensa en las imágenes ponderadas en T2, y que se expande hacia la materia blanca. Puede ser difícil de distinguir de un astrocitoma anaplásico altamente infiltrante o un glioblastoma.[6]
No existe un tratamiento estándar para la gliomatosis cerebri. Debido a la extensión del tumor, generalmente no es posible recurrir a la cirugía.[7] El tratamiento con radioterapia puede estabilizar o mejorar la función neurológica en algunos pacientes, aunque sin implicaciones en la supervivencia global. En los últimos años han surgido nuevas alternativas terapéuticas que han arrojado resultados esperanzadores, como el empleo de quimioterapia con temozolomida.[8][9] La supervivencia media se cifra en torno a los 12 meses desde el diagnóstico.[10]
Histología

El tejido de origen es glial, principalmente astrocitario, pero también se han descrito con componente oligodendroglial o mixtos.[11] Histológicamente, suele encontrarse una proliferación amplia y difusa de células gliales tumorales, núcleos generalmente alargados con bajo pleomorfismo, morfología astrocitaria, actividad mitótica variable y no suele haber proliferación vascular. La infiltración de los elementos gliales en la sustancia blanca destruye las vainas de mielina pero preserva relativamente las neuronas y los axones.[12]
Es típica la afectación de los dos hemisferios cerebrales. También puede afectar al tronco cerebral, el cerebelo y la médula espinal.
Sintomatología
Existe una característica desproporción entre los hallazgos clínicos y radiológicos, de manera que la extensión de la lesión en el parénquima cerebral es mayor de lo que reflejan los síntomas.[13] Estos son inespecíficos y dependen del área del sistema nervioso central comprometida. Por lo general, suelen hallarse cefaleas, crisis comiciales, convulsiones, hemiparesia, ataxia, náuseas, vómitos, déficit focal, alteraciones visuales, cognitivas y conductuales, déficit del tracto corticoespinal, letargo y demencia rápidamente progresiva y síntomas similares a los de la enfermedad de Parkinson. etc.[1]
Diagnóstico

El diagnóstico se realiza por neuroimagen (TC, RM). En el caso de la GC, la RM ofrece mucha mejor sensibilidad que la TC. Si la localización de las lesiones y la situación clínica del paciente lo permiten, deberá realizarse una confirmación histológica del mismo mediante biopsia.
La característica radiológica más frecuente en la RM es la infiltración en forma de lesión hiperintensa en T2 y FLAIR tanto de la sustancia blanca como de la sustancia gris. Con la administración de contraste el realce es mínimo o ausente.[14][15]
La gliomatosis cerebri presenta una clínica y una neuroimagen poco específica, y también la heterogeneidad de sus hallazgos patológicos dificulta su caracterización precisa. Todo ello implica la realización de un diagnóstico diferencial amplio, que incluye otros gliomas infiltrantes como los astrocitomas anaplásicos y los oligodendrogliomas, y también otras entidades como el linfoma cerebral difuso y enfermedades desmielinizantes como la esclerosis múltiple y la leucoencefalopatía multifocal progresiva.[16]
Referencias
- Taillibert, S., Chodkiewicz, C., Laigle-Donadey, F., Napolitano, M., Cartalat-Carel, S., Sanson, M. (2006). «Gliomatosis cerebri: a review of 296 cases from the ANOCEF database and the literature.». Journal of neuro-oncology 76 (2): 201-205. doi:10.1007/s11060-005-5263-0.
- Kleihues, P., Burger, P. C., Scheithauer, B. W. (1993). «The new WHO classification of brain tumours.». Brain pathology (en inglés) 3 (3): 255-268. doi:10.1111/j.1750-3639.1993.tb00752.x.
- Nevin, S. (1938). «Gliomatosis cerebri». Brain 61 (2): 170-191. doi:10.1093/brain/61.2.170.
- Caballero, P. E. J., Villanueva, M. M., Alonso, C. M. (2007). «Gliomatosis cerebri: evolución a glioblastoma multiforme». Neurología: Publicación oficial de la Sociedad Española de Neurología 22 (6): 395-398. PMID 17610168.
- M. Sanson et al. (2005). Gliomatosis cerebri. Rev Neurol (Paris). 2005 Feb ;161 (2):173-81 15798516. (en inglés)
- P.L. Lantos and J.M. Bruner (2000). Gliomatosis cerebri. In P. Kleihues, W.K. Cavenee, eds., Pathology and genetics of tumours of the nervous system, World Health Organization classification of tumours. Lyon, Francia: IARC Press, 2000, ISBN 92-832-2409-4 (en inglés)
- Sanson M, Cartalat-Carel S, Taillibert S, et al. (2004). «Initial chemotherapy in gliomatosis cerebri.». Neurology (en inglés) 63: 270-5.
- M. Sanson, et al. (2004). Initial chemotherapy in gliomatosis cerebri. Neurology 2004;63:270–275. (en inglés)
- R. Soffietti et al. (2007). Treatment of gliomatosis cerebri with temozolomide: A retrospective study of the AINO (Italian Association for Neuro- Oncology). Journal of Clinical Oncology, 2007 ASCO Annual Meeting Proceedings (Post-Meeting Edition). Vol 25, No 18S (June 20 Supplement), 2007: 2033. (en inglés)
- Benjelloun, A; Delavelle, J; Lazeyras, F; Dietrich, P-Y (2001). «Posible efficacy of Temozolomide in a patient with gliomatosis cerebri». Neurology (en inglés) 57: 1932-4.
- Balko, M. G., Blisard, K. S., Samaha, F. J. (1992). «Oligodendroglial gliomatosis cerebri». Human pathology 23 (6): 706-707. PMID 1592395.
- Artigas, J., Cervos-Navarro, J., Iglesias, J. R., Ebhardt, G. (1984). «Gliomatosis cerebri: clinical and histological findings». Clinical Neuropathology 4 (4). pp. 135-148. PMID 4053456.
- López Varela MC, Escalona Zapata J (1999). «Gliomatosis cerebral: estudio de dos casos». Revista Española de Patología 32 (2): 165-173.
- Santos S, López-García E, Ríos C, Espada-Oliván F, Iñiguez-Martínez C, Mostacero E, Ramón y Cajal S, Morales F (2002). «Cerebral gliomatosis. A report of three cases and review of the literature». Revista de Neurología (en inglés) 34 (3): 248-252. PMID 12022073.
- Mena, I. X., Olivares, D. A., Del Brutto, O. H., Leone-Stay, G. (1999). «Gliomatosis cerebri: clinico-pathological and neuroimaging characteristics and the results of treatment with radiotherapy.». Revista de Neurología 31 (2): 101-106. PMID 10951662.
- Bruna, J., Velasco, R. (2010). «Gliomatosis cerebri». Neurología (English Edition) 25 (3): 143-147. doi:10.1016/S2173-5808(10)70029-8.
Bibliografía
- P.L. Lantos y J.M. Bruner (2000). Gliomatosis cerebri. In P. Kleihues, W.K. Cavenee, eds., Pathology and genetics of tumours of the nervous system, World Health Organization classification of tumours. Lyon, France: IARC Press, 2000, ISBN 92-832-2409-4 (en inglés)