Friedrich Heinrich Lewy
Friedrich Heinrich Lewy, posteriormente conocido como Frederic Henry Lewey (Berlín, 28 de enero de 1885 — Pennsburg, Pensilvania, 5 de octubre de 1950) fue un médico, neuroanatomista y psiquiatra alemán, naturalizado estadounidense, célebre por haber descubierto en 1912 las inclusiones celulares de sustancia proteica que se observan en ciertas patologías del sistema nervioso y que hoy reciben el nombre de cuerpos de Lewy. Estas anomalías se dan en ciertas formas de la enfermedad de Parkinson y en algunos tipos de demencias conocidas como demencias con cuerpos de Lewy.[1]
Frederic Lewy | ||
---|---|---|
![]() | ||
Información personal | ||
Nacimiento |
28 de enero de 1885 Berlín (Imperio alemán) | |
Fallecimiento |
5 de octubre de 1950 (65 años) Pensilvania (Estados Unidos) | |
Nacionalidad | Alemana y estadounidense | |
Educación | ||
Educado en | Universidad de Zúrich | |
Información profesional | ||
Ocupación | Neurólogo y psiquiatra | |
Empleador | ||
Biografía

Lewy era hijo de un médico judío de Berlín. Tras acabar el bachillerato en el Friedrichswerder Gymnasium en 1903, estudió medicina en Berlín y Zúrich y se doctoró en Berlín en 1910. Tras completar sus estudios, Lewy trabajó como asistente en el Instituto de Fisiología de Breslavia y en Berlín de 1909 a 1910, y posteriormente en la Clínica Psiquiátrica de Múnich, en el laboratorio de Alois Alzheimer bajo la dirección de Emil Kraepelin. En 1912 acompañó a Alzheimer en Breslavia y asumió la dirección de su laboratorio, cargo que ocupó hasta el inicio de la Primera Guerra Mundial. Durante la guerra, Lewy fue médico militar en Francia, Rusia y Turquía.
Tras la guerra, trabajó en la II Clínica Médica de la Charité de Berlín. Lewy se especializó en neurología en 1921 y fue nombrado profesor asociado de medicina interna y neurología en 1923. En 1926 asumió la jefatura del servicio de Neurología de la Charité y en 1930 la del Instituto Neurológico de Berlín. Más tarde, en 1932, fundó en Berlín un instituto clínico y de investigación neurológica independiente, que dirigió hasta que en 1933 los nazis le revocaron su habilitación docente en virtud de la Ley para la Restauración de la Función Pública.
Decidió emigrar y en el verano de 1933 partió hacia Inglaterra con su mujer y su madre. Como allí no logró acceder a un puesto fijo, en 1934 marchó para los Estados Unidos. Allí se cambió el apellido por el de Lewey, se hizo cuáquero y recibió una beca Rockefeller en el Departamento de Neurología de la Universidad de Pensilvania, donde trabajó bajo la dirección de Charles Harrison Frazier.[2] De 1943 a 1945 volvió a trabajar como médico militar en el ejército estadounidense con el rango de teniente coronel.[3]
Murió repentinamente el 5 de octubre de 1950, en su casa de verano de Pennsburg, en Pensilvania, a causa de un infarto de miocardio. Está enterrado con su esposa en el cementerio cuáquero de Haverford.[4][5][6]
Logros científicos

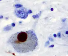
Lewy es conocido por haber descubierto en 1912 los cuerpos de Lewy, una forma específica de inclusiones proteicas en las células del sistema nervioso. Lewy los describió por primera vez en el núcleo dorsal del vago y en el núcleo basal de Meynert de pacientes con Parkinson. En 1919, Tretiakoff los denominó cuerpos de Lewy en honor a su descubridor.[7] Estos cuerpos de inclusión se encuentran sobre todo en la enfermedad de Parkinson, con mayor frecuencia en la sustancia negra y el locus cerúleo. En cambio, en la demencia con cuerpos de Lewy se presentan de forma difusa en las zonas corticales y subcorticales del cerebro. Lewy la describió ya en 1923, si bien la demencia por cuerpos de Lewy se definiría como un cuadro clínico independiente con posterioridad. Las neuritas enriquecidas con proteínas de los cuerpos de Lewy (α-sinucleína) también se conocen hoy como neuritas de Lewy.
Referencias
- Rodrigues e Silva, Antonio M; Geldsetzer Felix, Holdorff Bernd, Kielhorn Friedrich W, Balzer-Geldsetzer Monika, Oertel Wolfgang H, Hurtig Howard, Dodel Richard (septiembre de 2010). «Who was the man who discovered the "Lewy bodies"?». Mov. Disord (en inglés) (Estados Unidos) 25 (12): 1765-73. PMID 20669275. doi:10.1002/mds.22956.
- Holdorff B (marzo de 2002). «Friedrich Heinrich Lewy (1885–1950) and his work». Journal of the History of the Neurosciences 11 (1): 19-28. PMID 12012571. S2CID 24908805. doi:10.1076/jhin.11.1.19.9106.
- Schiller, F (2000). «Fritz Lewy and his bodies». Journal of the History of the Neurosciences 9 (2): 148-51. PMID 11232516. doi:10.1076/0964-704X(200008)9:2;1-Y;FT148.
- Spiegel, EA. «In memoriam: Dr. Frederic H. Lewey». Neurology 1 (2): 170-2. PMID 14827070.
- Winkelman, NW (1951). «Doctor Frederic H. Lewey, January 28, 1885-October 5, 1950». Journal of Neuropathology & Experimental Neurology 10 (1): 85. PMID 14804132.
- Kuhlenbeck H (1951). «Frederic H. Lewey (F.H. Lewy)». Archiv für Psychiatrie und Zeitschrift Neurologie 186: I-II. doi:10.1007/BF00696000.
- Hans Föorstl, Raymond Levy (1 de noviembre de 1991). «F. H. Lewy on Lewy bodies, parkinsonism and dementia». International Journal of Geriatric Psychiatry (en inglés) 6 (11): 757-766. ISSN 1099-1166. doi:10.1002/gps.930061102.
Bibliografía
- E. Engelhardt (octubre de 2017). «Lafora and Trétiakoff: the naming of the inclusion bodies discovered by Lewy». Arq Neuropsiquiatr 75 (10): 751-753. PMID 29166468. doi:10.1590/0004-282X20170116.
- E. Engelhardt, M. Gomes (2017). «Lewy and his inclusion bodies: Discovery and rejection». Dement Neuropsychol 11 (2): 198-201. PMC 5710688. PMID 29213511. doi:10.1590/1980-57642016dn11-020012.
- Bernd Holdorff (mayo de 2006). «Fritz Heinrich Lewy (1885–1950)». Journal of Neurology 253 (5): 677-678. PMID 16767545.
- Bernd Holdorff (marzo de 2002). «Friedrich Heinrich Lewy (1885-1950) and his work». Journal of the History of the Neurosciences 11 (1): 19-28. PMID 12012571.
- J. Peiffer (febrero de 1998). «Die Vertreibung deutscher Neuropathologen 1933–1939». Der Nervenarzt 69 (2): 99-109. ISSN 0028-2804. PMID 9551453.
- F. Schiller (agosto de 2000). «Fritz Lewy and his bodies». Journal of the History of the Neurosciences 9 (2): 148-151. PMID 11232516.