Fractura espiroidea
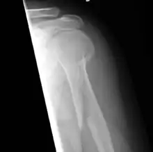
En medicina y traumatología, se designa con el nombre de fractura espiroidea a aquella fractura ósea en la cual la línea de fractura sigue una dirección espiral en relación al eje principal o longitudinal del hueso. Se llama en ocasiones fractura por torsión en base al mecanismo de producción. Afecta fundamentalmente a los huesos largos como el húmero y la tibia.[1]

Mecanismo de producción
Las fracturas espiroideas se producen como consecuencia de la aplicación de una torsión sobre el hueso, de tal forma que una fuerza tiene un sentido y otra el sentido contrario, el hueso tiende a retorcerse sobre sí mismo hasta que la fuerza aplicada supera su resistencia elástica, produciéndose una línea de fractura que tiene un trayecto espiral. La torsión se define como la deformación que sufre un objeto, en nuestro caso un hueso, como consecuencia de una fuerza que le imprime un movimiento de rotación sobre su eje, estando un extremo fijo. Este mecanismo explica claramente la fractura de tibia por torsión en las que la pierna gira sobre sí misma, permaneciendo el pie inmóvil sobre el suelo.
Referencias
- Técnico Especialista en Radiodiagnóstico del Servicio Gallego de Salud. Editorial MAD, tomo II. Consultado el 20 de julio de 2016.