Fractura en tallo verde

En medicina, se denomina fractura en tallo verde a un tipo de fractura ósea propia de los niños. Afecta a la región central (diáfisis) de los huesos largos, sobre todo en el antebrazo. La denominación en tallo verde procede de la analogía entre este tipo de fractura y la que se produce al intentar romper el tallo verde de una planta.

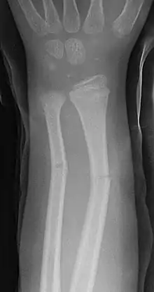
Radiografía de una fractura en tallo verde, que afecta a los huesos cúbito y radio, en el antebrazo de un niño.

Patogenia

Se caracteriza por ser una fractura incompleta, con ruptura del periostio y la cortical en el lado de la convexidad del hueso, mientras que en la zona cóncava el periostio no llega a romperse, como consecuencia el hueso no está totalmente roto (fractura incompleta), pero los fragmentos se desplazan y presentan una angulación de amplitud variable que es preciso corregir. [1] [2]

Localización

Las fracturas en tallo verde afectan por lo general a la porción central o diáfisis de los huesos largos de los niños, sobre todo a la región del antebrazo, muñeca y clavícula. Raramente se produce en otros huesos como la tibia y el fémur. Cuando afecta al antebrazo puede existir fractura del cúbito, el radio o ambos huesos simultáneamente.

Referencias

Este artículo ha sido escrito por Wikipedia. El texto está disponible bajo la licencia Creative Commons - Atribución - CompartirIgual. Pueden aplicarse cláusulas adicionales a los archivos multimedia.