Fractura de la base del cráneo
La fractura de la base del cráneo se define como una fractura ósea que afecta a alguno de los huesos situados en el suelo o base de la cavidad craneal. [1]Suele producirse por impactos importantes sobre la cabeza, por ejemplo accidentes de tráfico o caídas de altura. Constituyen el 21% del total de las fracturas de cráneo y con mucha frecuencia se asocia a otras lesiones de la cabeza como fractura de la bóveda craneal. Produce complicaciones importantes provocadas por la lesión de alguno de los nervios o vasos sanguíneos que atraviesan la base del cráneo.[2][3]
Fractura de la base del cráneo | ||
---|---|---|
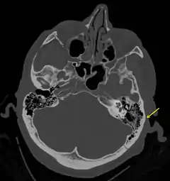
![]() Fractura del hueso temporal. | ||
Especialidad | medicina de emergencia | |
![]() | ||
Localización
La base del cráneo está formada por el hueso etmoides, el esfenoides, las 2 porciones del hueso frontal, los 2 huesos temporales incluyendo su porción petrosa o peñasco y el hueso occipital. El conjunto se divide en tres compartimentos, la fosa craneal anterior, la fosa craneal media y la posterior. La fractura puede afectar a las tres fosas craneales, pero se localiza preferentemente en determinadas zonas que son puntos débiles de la estructura, entre ellos el techo de la órbita, la lámina cribosa del etmoides y el peñasco del hueso temporal.
Signos
Independientemente de los signos propios de un traumatismo craneoencefálico como conmoción cerebral, las fracturas de la base del cráneo provocan unos síntomas específicos que inducen a sospechar el diagnóstico y la localización de la fractura.
- Equímosis periorbitaria. Es el llamado signo del oso panda o del mapache y se debe a una extravasación de sangre en la región próxima a la órbita.
- Hematoma en la apófisis mastoide, visible como un hematoma detrás del pabellón auricular.
- Otorragia o salida de sangre a través del conducto auditivo externo.
Complicaciones

- Rinorréa de líquido cefalorraquídeo (rinorraquia) por lesión de las meninges que provoca salida de líquido cefalorraquídeo al exterior a través de la nariz. Esta lesión puede provocar meningitis.[1]
- Hipoacusia por lesión del nervio auditivo en la región del peñasco del hueso temporal.
- Parálisis facial provocada por lesión del nervio facial en su recorrido por el conducto auditivo interno a través del peñasco del hueso temporal.
- Anosmia por lesión del nervio olfatorio.
- Perdida de visión por lesión del nervio óptico.
- Lesión de la glándula hipófisis que desencadena la aparición de una diabetes insípida.
- Lesión de la arteria carótida interna a su paso por el conducto carotídeo que puede provocar infarto cerebral.
- Lesión del IX par craneal o nervio glosofaríngeo.
- Lesión del XII par craneal o nervio hipogloso.
Referencias
- Simon, Leslie V.; Newton, Edward J. (2021). Basilar Skull Fractures. StatPearls Publishing. Consultado el 21 de noviembre de 2021.
- Trauma Craneoencefálico Severo: Parte I Archivado el 10 de enero de 2017 en Wayback Machine.. Revista de Medicina Interna y Medicina Crítica. Consultado el 23 de diciembre de 2016
- Tipos y síntomas de fractura de cráneo. Consultado el 29 de julio de 2016.