Fibroadenoma
El tumor benigno más común de la mama femenina es el fibroadenoma. Como su nombre indica, es una neoplasia formada por el tejido fibroso y glandular. Ocurre en cualquier etapa del período reproductivo de la vida y es algo más frecuente antes de los 30 años de edad. Se dice que el tumor aparece como resultado del aumento de sensibilidad de un foco mamario a los estrógenos.
Fibroadenoma | ||
---|---|---|
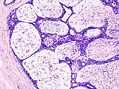
![]() Imagen histopatológica de fibroadenoma de mama. Tinción hematoxilina-eosina. | ||
Especialidad |
oncología ginecología | |
![]() | ||
Crece por lo regular como un nódulo pequeño y centrífugo que suele ser netamente circunscrito y libremente móvil sobre el parénquima mamario adyacente.[1] Aunque un fibroadenoma, así como los papilomas intraductales, son crecimientos anormales, no son cancerosos y no se pueden propagar del seno hacia otros órganos.[2]
Véase también
Referencias
- Estela Virginia Mur y col. Displasia mamaria, revisión Archivado el 19 de septiembre de 2008 en Wayback Machine. (en español). Revista de Posgrado de la VIa Cátedra de Medicina - N° 133 – Noviembre 2003.
- American Cancer Society ¿Qué es? Cáncer de seno Archivado el 2 de diciembre de 2008 en Wayback Machine. (en español). Septiembre, 2008.
Este artículo ha sido escrito por Wikipedia. El texto está disponible bajo la licencia Creative Commons - Atribución - CompartirIgual. Pueden aplicarse cláusulas adicionales a los archivos multimedia.