Esporotricosis

La Esporotricosis es una enfermedad infecciosa, generalmente de la piel y crónica, causada por el hongo Sporothrix schenckii[1] Pueden también haber infecciones del pulmón, hueso y el cerebro y tiene la peculiaridad de ser inoculado por rosales (enfermedad del manipulador de rosas).[2][3]

Esporotricosis

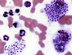
Preparación citológica mostrando células fagocitarias y numerosas formas de levaduras intracelulares.
Especialidad infectología
Síntomas Nódulos firmes e indoloros que luego se ulceran
Tratamiento Antifúngicos , cirugía
 Aviso médico 

Epidemiología

La esporotricosis es una enfermedad ocupacional cosmopólita, frecuente en trabajadores de granjeros, viveros, horticultores y amas de casa que trabajan sus jardines, en particular rosales.[4] Además de estas lesiones por espinas, ramitas o astillas, el hongo puede ser inhalado produciendo infecciones del pulmón, como la neumonía.[5] La infección afecta a todas las edades, incluyendo recién nacidos, y a ambos sexos, generalmente por razones ocupacionales, se ve con más frecuencia en personas menores de 30 años[6][7]

Patología

El hongo entra por la piel después de un trauma, sea pinchazo, raspón, etc., donde se inocula en el tejido cutáneo o subcutáneo ocasionando una lesión nodular. En el sitio de la infección aparece con el tiempo una pápula y luego una pústula que tiende a ulcerarse. El organismo gana acceso a la circulación linfática causando en su trayecto nódulos alejados del sitio de la lesión inicial y adenopatías locales.[8]

La esporotricosis extracutánea o diseminada no es muy frecuente presentándose mayormente en individuos inmunodeficientes y se caracteriza por lesiones de localización óseo-articular, pulmonar, etc.

Pronóstico

Es benigno en formas cutáneas localizadas, a veces puede ser incapacitante, las presentaciones linfangiticas y, sobre todo, fijas llegan a curar solas. Modalidades infrecuentes permanecen latentes o son letales.

Diagnóstico

El diagnóstico clínico-epidemiológico debe siempre ser acompañado de exámenes de laboratorio para descartar otras posibles infecciones, como la parasitaria leishmaniasis y otras micóticas como la cromomicosis.

Examen directo

La muestra de pus o de escamas de una esporotricosis muestra la forma parasitaria del hongo: el cuerpo asteroide. El hongo en su estado de levadura puede ser observado además con técnicas de coloración de la muestra. Observación directa en una muestra histológica es también posible pero debido a lo improductivo y poco específico del examen fresco, es poco usada.[9]

Cultivo

Es el método más específico y seguro para el diagnóstico de la esporotricosis. Las colonias en agar de Sabouraud crecen en tres días y las características de la misma permiten su identificación. Microscópicamente de las colonias se observan hifas, y conidias típicas de la Sporothrix schenckii. Es frecuente producir un cultivo positivo con antecedente de examen directo negativo.[10]

Tratamiento

Por su eficacia y por ser económicos, los yoduros (por ejemplo yoduro de potasio) son el tratamiento de preferencia por vía oral. En casos de alergia a los yoduros, ciertos antimicóticos como el Itraconazol son la elección. Otros como el ketoconazol y la anfotericina B no son usados en estas infecciones. El tratamiento de inmunosuprimidos e infecciones extracutáneas es por lo general considerablemente difícil y son frecuentes las recaídas.[11]

Esporotricosis en animales

La esporotricosis puede ser diagnosticada en mamíferos domésticos así como salvajes, especialmente gatos y caballos. El manejo de animales en los que se les sospecha una lesión micótica debe ser cuidadosa pues esta enfermedad puede ser transmitida de un animal al hombre. Es posible ser infectado por la mordedura de animales contaminados.[12]

Profilaxis

Esta enfermedad puede ser prevenida al usar guantes y mangas largas durante el trabajo de campo, jardinería o al trabajar con tierra, rosas, heno, etc.

Complicaciones

Las personas con un sistema inmunitario saludable pueden tener:[4]

  • Molestia
  • Infecciones secundarias en la piel (como estafilococos o estreptococos)

Las personas con un sistema inmunitario debilitado pueden desarrollar:

  • Artritis
  • Infección ósea (huesos)
  • Complicaciones de los medicamentos (la anfotericina B puede tener efectos secundarios serios, incluyendo daño renal)
  • Problemas respiratorios y pulmonares (como neumonía)
  • Infección cerebral (meningitis)
  • Enfermedad generalizada (diseminada)

Referencias

  1. Departamento de Salud, Estado de Nueva York.
  2. Volk T. «Sporothrix schenckii, cause of Rose-picker's Disease». Tom Volk's Fungus of the Month. Consultado el 16 de junio de 2007.
  3. Spec, Andrej; Escota, Gerome V.; Chrisler, Courtney; Davies, Bethany (16 de noviembre de 2019). Comprehensive Review of Infectious Diseases (en inglés). Elsevier Health Sciences. ISBN 978-0-323-56864-7. Consultado el 3 de abril de 2022.
  4. «Esporotricosis: MedlinePlus enciclopedia médica». medlineplus.gov. Consultado el 3 de abril de 2022.
  5. LatinSalud.com
  6. Alberto Florez, Sonia lndacochea, Justo De la Fuente, Beatriz Bustamante y Walter Holgado. ESPOROTRICOSIS EN ABANCAY, PERÚ. Revista Peruana de Epidemiología - Vol. 4 N.º1 Marzo de 1991.
  7. María García-Izquierdo, Tito Urquiaga, Nicolás López. ESPOROTRICOSIS CUTÁNEA EN HOSPITAL REGIONAL DE CAJAMARCA. Revista Peruana de Dermatología Vol. 11, Nº 2, 2001.
  8. «Esporotricosis - DermIS». DermIS.net. Consultado el 3 de abril de 2022.
  9. Universidad Central de Venezuela - Facultad de Medicina. Archivado el 9 de octubre de 2007 en Wayback Machine.
  10. Sociedad Paraguaya de Pediatría. Volumen 27 - Número 2 (Julio-Diciembre 2000).
  11. Josefina Ayats Ardite. Sporothrix schenckii. Servicio de Microbiología. Ciutat Sanitària i Universitària de Bellvitge. Hospitalet de Llobregat (Barcelona). Archivado el 30 de junio de 2007 en Wayback Machine.
  12. Universidad Autónoma de Querétaro - Facultad de Medicina.
Este artículo ha sido escrito por Wikipedia. El texto está disponible bajo la licencia Creative Commons - Atribución - CompartirIgual. Pueden aplicarse cláusulas adicionales a los archivos multimedia.