Enfermedad de moyamoya
La enfermedad de moyamoya es una patología cerebrovascular llamada así debido a su apariencia angiográfica típica que recuerda al humo de un cigarrillo —en japonés: moyamoya (もやもや?)—.
Enfermedad de moyamoya | ||
---|---|---|
![]() | ||
Especialidad | neurología | |
![]() | ||
Es una enfermedad de etiología y tratamiento desconocidos. El paciente con moyamoya sufre estenosis progresiva y oclusión de las arterias intracerebrales basales. La forma idiopática de la enfermedad fue reportada por primera vez en 1957 en Japón por Takeuchi y Shimizu. Maki y Enomoto publicaron una revisión extensa en 1988.[1]
Epidemiología
Inicialmente, esta enfermedad fue descrita en Japón, donde se creía que la enfermedad ocurría únicamente, pero hoy en día se han reportado casos en todo el mundo en diferentes grupos étnicos y cada vez con más frecuencia en pacientes americanos y europeos, siendo Japón el país con mayor incidencia.[2][3] En esta nación, es la enfermedad cerebrovascular más frecuente en niños, afectando dos veces más a las niñas que a los varones con una prevalencia aproximada de tres por cada 100.000. La prevalencia en Europa es de una décima parte de la identificada en Japón. En los niños coreanos la enfermedad de moyamoya es la enfermedad cerebrovascular más frecuente.[4]
La prevalencia en California y Washington es de 0,086 por cada 100.000 habitantes. En este estudio la frecuencia fue de 4,6 para asiáticoamericanos, 2,2 para afroamericanos y 0,5 para hispanos.[5] Se ha identificado una presentación bimodal. El primer grupo son niños menores de 10 años que usualmente presentan manifestaciones isquémicas y el segundo grupo, adultos en la tercera o cuarta década de vida.
Clasificación
Sobre la base de los hallazgos angiográficos, se han definido varios subgrupos y etapas:
- Tipo I: consiste en únicamente estrechamiento en la mitad anterior del polígono de Willis (Bifurcación de la carótida, ACM proximal, y ACA).
- Tipo II: también incluye la arteria comunicante posterior (ACoP).
- Tipo III: afecta también las arterias cerebrales posteriores (ACP). Como resultante, las arterias lentículoestriadas están extremadamente dilatadas para brindar flujo colateral; pueden verse en la angiografía como los vasos moyamoya que forman una red de microvasos. Pueden observarse también anastomosis transdurales y leptomeníngeas.
Etiopatogenia
La causa exacta de la enfermedad se desconoce, aunque parece existir una predisposición genética a padecerla, ya que suelen existir antecedentes familiares, por lo que podría ser hereditaria y multifactorial.[4] Los diferentes loci que parecen implicados están incluidos en los cromosomas 3, 8, y 17.
Los hallazgos histopatológicos sugieren la presencia de factores sistémicos que estimulan la proliferación de células de músculo liso y su migración de la capa media a la capa íntima de los vasos, produciendo múltiples capas de fibras elásticas en la íntima. Las células de músculo liso producen metaloproteínasas de matriz (MMP) subtipos -2 y -9 y una deficiencia genética en la síntesis de cualquiera de las dos enzimas, conlleva a la formación de hiperplasia de la íntima.
Existen otras enfermedades que se presentan asociadas a la enfermedad de Moyamoya, como la neurofibromatosis tipo l, la anemia de células falciformes (drepanocitemia) y el síndrome de Down, lo que sugiere un fondo congénito. Frecuentemente, una infección de vías respiratorias altas precede a las manifestaciones clínicas, por lo que factores que incrementan la permeabilidad podrían causar una enfermedad adquirida o progresiva vascular.
Cuadro clínico
Cuatro tipos principales de manifestaciones clínicas:
- Síntomas debidos a hemorragia subaracnoidea o hemorragia intracerebral (32.9 %)
- Infarto cerebral (21.7 %)
- Ataques de Isquemia Cerebral Transitoria (AIT) (20.5 %)
- Convulsiones (11.9 %), o una combinación de estos síntomas (5.4 %).
Los AITs, infartos, y convulsiones ocurren con mayor frecuencia en niños menores de 10 años; entre los 20 y los 40 años de edad, los síntomas son usualmente debidos a hemorragia cerebral.[6]
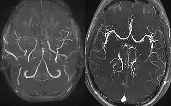
Diagnóstico

(derecha) Paciente sano, para comparación
El diagnóstico se basa en las técnicas de neuroimagen como la angiografía convencional o la angioresonancia, demostrándose la típica rete mirabile o microcolateralización. Además, existen microaneurismas asociados que pueden causar hemorragia pudiéndose detectar con estas técnicas. En la angiografía, para poder diagnosticar la enfermedad se deben observar los siguientes signos:[2]
- Estenosis u oclusión en la porción terminal de la arteria carótida y/o en la porción proximal de la arteria cerebral anterior y/o arteria cerebral media.
- Redes vasculares anormales adyacentes a la lesión estenótica u oclusiva en la fase arterial.
- Estos hallazgos deben estar presentes bilateralmente.
Observándose los siguientes hallazgos bilateralmente mediante la resonancia magnética y la angioresonancia, la angiografía no resulta obligatoria:[2]
- Estenosis u oclusión de la porción distal de la arteria carótida interna o de la arteria cerebral anterior y arteria cerebral media con la angioresonancia.
- Red vascular colateral en los ganglios basales con la angioresonancia. Una red vascular anormal puede diagnosticarse cuando más de dos ausencias de flujo en los ganglios basales de un lado son identificados en la resonancia magnética.
Se pueden observar muchos patrones de pseudomoyamoya, vasculopatías lentamente progresivas de los grandes vasos con colateralización durante la infancia. Sin embargo, la progresión paralela y simétrica bilateral, la angiogénesis transdural, la ausencia de circulación colateral leptomeníngea con gran contribución transdural, la apariencia normal de la vascularidad de la fosa posterior y el papel de los vasos lentículoestriados sugiere una enfermedad de moyamoya verdadera.[7]
Diagnóstico histopatológico
Los hallazgos histopatológicos muestran engrosamiento de la íntima, con tejido fibroso y depósito lipídico; la lámina elástica interna es tortuosa, y la media y adventicia son delgadas. Como resultante, la luz del vaso esta desplazada excéntricamente, y las arterias corticales muestran una capa íntima edematosa:[2]
- Engrosamiento de la íntima con estenosis y oclusión resultante en la porción terminal de la arteria carótida interna, usualmente en forma bilateral. En ocasiones se identifican depósitos lipídicos en la íntima en proliferación.
- Las arterias que constituyen el polígono de Willis (ACA, ACM, y ACoP) muestran estenosis o grados variables de oclusión debido a engrosamiento fibro-celular de la íntima, una ondulación de la lámina elástica interna y adelgazamiento de la capa media.
- Numerosos canales vasculares pequeños (perforantes y ramas anastomóticas colaterales) se observan alrededor del polígono de Willis.
- Conglomerados reticulares de pequeños vasos se observan en la piamadre.
Diagnóstico diferencial
Debido a que la etiología de esta enfermedad es desconocida, es necesario excluir los siguientes procesos entre otros:[2]
- arterioesclerosis;
- enfermedad autoinmune;
- meningitis;
- tumor cerebral;
- síndrome de Down;
- enfermedad de Recklinghausen (neurofibromatosis);
- trauma craneal;
- radioterapia craneal.
Tratamiento
Médico
En ocasiones se dan antiagregantes plaquetarios a los pacientes con moyamoya, usualmente esta es la terapia elegida cuando la enfermedad es leve o el paciente tiene un riesgo quirúrgico elevado, pero existen pocos datos que demuestren su eficacia a corto o largo plazo.[3] Los anticoagulantes como la warfarina son raramente utilizados en el tratamiento de niños con moyamoya, debido a la dificultad para mantener niveles sanguíneos terapéuticos y el riesgo de hemorragia después de traumas leves. Se han utilizado heparinas de bajo peso molecular y también, antagonistas de los canales del calcio para intentar tratar la cefalea y prevenir la frecuencia y severidad de los episodios de isquemia cerebral transitoria refractaria.
Quirúrgico
Los procedimientos de revascularización quirúrgica son utilizados ampliamente en el tratamiento de la enfermedad de Moyamoya, particularmente en pacientes con deterioro cognitivo o con síntomas recurrentes y progresivos. La cirugía de conexión anastomótica directa de la arteria temporal superficial a la arteria cerebral media, es, con frecuencia, técnicamente compleja de realizar en los niños debido al pequeño calibre de los vasos en la piel cabelluda y de la arteria cerebral media receptora.[3] Los procedimientos de revascularización indirecta incluyen la encefaloduroarteriosinangiosis y la encefalomioarteriosinangiosis. Existen variantes de estos procedimientos, desde la simple realización de múltiples trepanos craneales sin sinangiosis de las arterias, la craneotomía con inversión de la dura con la esperanza de incrementar la neovascularidad del cerebro a partir de la duramadre. Algunos pacientes se estabililizan sin tratamiento, sin embargo, con frecuencia esto sucede después de que han desarrollado defectos neurológicos severos.[3] Las complicaciones potenciales de la cirugía para el tratamiento de la enfermedad de moyamoya incluyen: accidente cerebrovascular isquémico, hematoma subdural espontáneo o traumático y hemorragia intra-cerebral.
Pronóstico
El pronóstico de la enfermedad de moyamoya es difícil de predecir debido a que su historia natural no está firmemente establecida. Entre el 50 y el 66 % de los pacientes con moyamoya que no sean tratados sufrirán deterioro neurológico severo comparado con un 2’6 % de deterioro en niños tratados quirúrgicamente.[8] La evolución depende de la presentación clínica: los AITs y las crisis convulsivas sugieren una evolución relativamente benigna, con un 96% de los pacientes llevando una vida normal y un 37 % que muestren un pobre desarrollo mental.[6] El inicio de los síntomas antes de los seis años de vida, infartos cerebrales y hallazgos angiográficos tipo lll tienen un pronóstico grave, con trastornos severos mentales y de la función motora que ocurren en un 44 % de los pacientes.[6]
Referencias
- Maki Y; Enomoto T (1988). «moyamoya disease». Childs Nerv Syst 4 (204).
- Shinichi Kuriyama, Yasuko Kusaka (2008). «Prevalence and Clinicoepidemiological Features of Moyamoya Disease in Japan». Stroke 32 (42-47).
- E. Steve Roach; Meredith R. Golomb; Robert Adams (2008). «Management of Stroke in Infants and Children». Stroke 39.
- Kang HS; Kim SK; Cho BK (2006). «Single nucleotide polymorphisms of tissue inhibitor of metalloproteinase genes in familial moyamoya disease». Neurosurgery 58 (6). ISSN 0148-396X.
- Roy Sucholeiki, Jasvinder Chawla (31 de agosto de 2010). «Moyamoya Disease» (en inglés). eMedicine.
- Carter L.P; Spetzler RF (1996). Neurovascular surgery. McGraw Hill.
- Lasjaunias P, Berenstein A. Surgical Neuroangiography 3.
- Fung LW, Thompson D, Ganesan V (2005). «Revascularisation surgery for paediatric moyamoya: a review of the literature». Childs Nerv Syst 21 (358-361).