Enfermedad de Kikuchi-Fujimoto

La enfermedad de Kikuchi-Fujimoto o linfadenitis necrotizante histiocitaria es una enfermedad poco frecuente, de causa desconocida y evolución benigna, que se caracteriza por la aparición de adenopatías (ganglios inflamados) dolorosas en el cuello y fiebre.[1][2]

Enfermedad de Kikuchi-Fujimoto

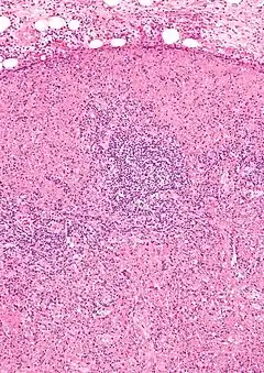
Microfotografia de un nódulo linfático de un paciente afectado por la enfermedad de Kikuchi-Fujimoto. Existen áreas de necrosis y abundantes histiocitos.
Especialidad angiología
Sinónimos
Linfadenitis histiocítica necrosante
 Aviso médico 

Epidemiología

La enfermedad de Kikuchi-Fujimotos es muy poco frecuente. La mayor parte de los casos han sido diagnósticados en Japón y aisladamente en otros países de Europa, Asia o América. Es más frecuente en mujeres y en adultos jóvenes de entre 20 y 30 años.

Etiología

Aunque la causa no es conocida, se han propuesto diversas teorías para explicar su origen. Ha sido atribuida a infección por diferentes virus, como el virus de Epstein-Barr, herpesvirus u otros gérmenes como yersinia enterocolítica y toxoplasma gondii. Sin embargo, estas hipótesis no han podido confirmarse.

Cuadro clínico

Sigue un curso agudo o subagudo. Aparecen adenopatías dolorosas en la región cervical que oscilan entre los 0,5 y 4 cm de diámetro. Es habitual la existencia de fiebre que en ocasiones se acompaña de náuseas, vómitos y perdida de peso. Las manifestaciones cutáneas pueden ser muy variables, desde la aparición de eritema a maculopápulas que afectan sobre todo a la cara. Las pruebas de laboratorio no dan manifestaciones específicas, el hallazgo más habitual es disminución de leucocitos en sangre (leucopenia). En el 30% de los casos se observa la existencia de leucocitos atípicos. En ocasiones los síntomas iniciales dan paso a otro enfermedad más grave conocida como lupus eritematoso sistémico, existen controversia en la comunidad médica sobre la posible relación entre la enfermedad de Kikuchi-Fujimoto y el lupus eritematoso sistémico.

Diagnóstico

Para realizar el diagnóstico, la prueba clave es la biopsia de uno de los ganglios afectados, que muestra hallazgos microscópicos característicos, principalmente áreas de necrosis que distorsionan la estructura del ganglio y la presencia de numerosos histiocitos en las zonas limítrofes de las áreas con necrosis, con escasa presencia de polimorfonucleares neutrófilos y células plasmáticas. Con base en estos hallazgos la enfermedad ha sido denominada linfadenitis histiocítica necrosante.

Diagnóstico diferencial

La enfermedad de Kikuchi-Fujimoto debe distinguirse de otros procesos que cursan con adenopatías en el cuello, entre ellos la tuberculosis, linfoma, lupus eritematoso sistémico, linfadenitis por virus del herpes simple y algunos tipos de leucemia.

Pronóstico

El trastorno sigue en general un curso benigno y tiende a la curación espontánea en un plazo de entre 1 y 4 meses. En menos del 5% de los casos se presentan recurrencias. Muy raramente se han descrito complicaciones graves. Se recomienda vigilar periódicamente a los paciente por la posibilidad de que meses o años después de la enfermedad presenten un lupus eritematoso sistémico.

Tratamiento

No existe un tratamiento específico, por lo que las medidas terapéuticas se basan en el control de los síntomas. Se han ensayado diferentes terapias sin resultados concluyentes.

Referencias

  1. Xavier Bosch, Antonio Guilabert: Enfermedad de Kikuchi-Fujimoto. Medicina Clínica, Vol. 123. Núm. 12. 09 octubre 2004. Consultado el 12 de junio de 2016
  2. Orphanet: Enfermedad de Kikuchi. Consultado el 12 de junio de 2016
Este artículo ha sido escrito por Wikipedia. El texto está disponible bajo la licencia Creative Commons - Atribución - CompartirIgual. Pueden aplicarse cláusulas adicionales a los archivos multimedia.