Elastosis solar
La elastosis solar es una condición asociada con los cambios en el tejido conectivo que reducen la resistencia y la elasticidad de la piel inducido por la exposición a los rayos ultravioleta. Presenta como aspecto principal un tono amarillento a la piel disparejo en las zonas afectadas. Con el envejecimiento, la capa externa de la piel (epidermis) se adelgaza, aun cuando la cantidad de capas celulares permanece sin cambio alguno, acumulando tejido elástico en la piel. También es conocida como elastosis actínica.[1] [2]

Signos y síntomas
La elastosis solar causa pocos signos o síntomas. Comienza con la aparición de un todo rojizo en la piel que va aumentando de intensidad a medida que pasa el tiempo, normalmente apareciendo después de la edad de 40 años. Es desigual o áspero a la superficie común de la piel y puede ser asociado a una sensación de picor o de ardor. Después la zona afectada comienza a volverse gruesa, amarilla y con la presencia de surcos, protuberancias o arrugas.
Estas lesiones aparecen primero en las áreas de la piel expuestas al sol más prolongadas, como la cara, los labios, los oídos, el cuello, los antebrazos o las manos. Esta condición puede aumentar el riesgo de exceso melanoma de la piel en adultos mayores.[3]
Causas
A pesar de que la causa principal de la elastosis solar es la exposición excesiva de la piel al sol, los trastornos del tejido también pueden ser causados por muchos factores con respecto a enfermedades del cuerpo,[1] como podrían ser:
- Enfermedades vasculares como la arteriosclerosis.
- Diabetes
- Cardiopatía
- Enfermedad hepática
- Deficiencias nutricionales
- Obesidad
- Reacciones a medicamentos
- Estrés.
De igual manera, también existen factores externos, tales como:
- Alergias a plantas y otras sustancias
- El clima
- Prendas de vestir
- Exposición a químicos industriales y domésticos
- Calefacción en la casa.
La exposición a los rayos ultravioletas también se ha vinculado directamente con los cánceres de piel, así como el epitelioma de células basales, el carcinoma escamocelular y el melanoma.
De igual forma existen varios factores que aumentan el riesgo de elastosis solar como la exposición a largo plazo a la radiación ultravioleta en la luz del sol, niveles bajos de la melanina en la piel, especialmente si la persona es de piel clara y rubia, y bajos niveles de inmunidad.[4]
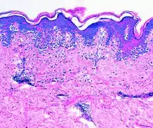
Diagnóstico
El diagnóstico se puede hacer analizando el aspecto distintivo de piel amarilla y gruesa en el área afectada. La elastosis solar también se puede diagnosticar mediante una biopsia de piel. Esto daría como resultado la baja de la eosina que mancha en las capas superiores de la piel dando por resultado una mancha de óxido. Algunas de estas lesiones si no se detectan a tiempo pueden llegar a convertirse en cáncer de piel. Ésta es una forma curable del cáncer si está cogida temprano, por eso se recomienda una investigación anual para prevenir riesgos.[3]
Tratamiento
La eficacia de las opciones de tratamiento para la piel afectada por la elastosis solar varía dependiendo el caso, pero algunas de estas son:[5]
- Aplicación tópica del ácido retinoico
- Inyección de ácido hialurónico en la dermis
- Dermoabrasión
- Rellenos dérmicos
- Rejuvenecimiento con láser de dióxido de carbono
- Terapia de estrógenos tópicos
- Ungüento de tacrolimus
- Tratamientos láser ablativos y no ablativos.
- Inyecciones de neurotoxinas (toxina botulínica).
Prevención
Si se desea prevenir con una buena eficacia la salud de la piel, se deben tomar ciertas medidas de seguridad, sobre todo si la persona es de tez blanca ya que estos suelen tener mayor riesgo. La exposición al sol se debe evitar especialmente entre 10 y 2 de la tarde, que es cuando la intensidad de la luz del sol se vuelve más intensa. El uso de la protección solar es vital para proteger la piel contra los efectos dañinos de la luz del sol. La protección solar se debe aplicar por lo menos 15 minutos antes de salir, y renovarse regularmente cada dos horas después del uso. Por último, es importante verificar el estado de la salud de la piel regularmente con un profesional para evitar riesgos.[4]
Referencias
- «Cambios en la piel por el envejecimiento: MedlinePlus enciclopedia médica». medlineplus.gov. Consultado el 12 de marzo de 2020.
- `Elastosis
- «Elastosis solar/Elastosis actínico». News-Medical.net (en inglés). 30 de agosto de 2017. Consultado el 12 de marzo de 2020.
- «Prevención de Elastosis solar». News-Medical.net (en inglés). 5 de septiembre de 2017. Consultado el 12 de marzo de 2020.
- Cidranes, Dr Prof Ernesto Delgado. «Elastosis solar: causas, síntomas, tratamiento, prevención, fisiopatología, diagnóstico». Dolor (en inglés estadounidense). Consultado el 12 de marzo de 2020.