Displasia arritmogénica

La displasia arritmogénica es una enfermedad catalogada dentro del grupo de las cardiopatías congénitas. Es una enfermedad hereditaria de carácter autosómico dominante, es decir, basta que el sujeto tenga el gen en un cromosoma del par para sufrir la enfermedad. Frecuentemente afecta al ventrículo derecho.

Displasia arritmogénica

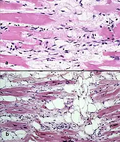
Photomicrograph of an ARVC heart.
Especialidad cardiología
 Aviso médico 

Su estudio exhaustivo comenzó en 1977, cuando un joven médico italiano murió repentinamente mientras practicaba tenis,[1] y el estudio de su caso inició la investigación profunda de esta enfermedad en Italia. La enfermedad es poco común, pero tiene delimitación geográfica: ha sido observada con mayor frecuencia en personas originarias de la región del Véneto (Italia) y en sus descendientes, aunque se han presentado casos en todo el mundo.

La enfermedad se debe al reemplazo del miocardio en el ventrículo derecho por tejido cicatricial y adiposo o fibroadiposo. La corriente eléctrica que circula por el corazón se ve afectada por dicho tejido, pues la conductividad eléctrica es distinta, produciendo los latidos arrítmicos, y el desenlace en casi la totalidad de casos es la muerte súbita. Afecta a varones en un 90% de los casos registrados.

Es una enfermendad que se caracteriza por hacer acto de presencia en individuos de 20 a 30 años, sin importar factores de riesgo, como tensión arterial, colesterol, dieta o cualquier otro. Han sido muy divulgadas las muertes súbitas de deportistas que tienen una dieta sana y buena forma física.

Diagnóstico

El diagnóstico de esta enfermedad se basa en:

  • Criterios electrocardiográficos: estudio de la onda épsilon a nivel de las precordiales derechas.
  • Resonancia nuclear magnética: aumento en las dimensiones de las cámaras cardíacas e identificación de tejido adiposo dentro del miocardio. Formaciones aneurismáticas del Ventrículo Derecho.
  • Angiografía ventricular derecha: el único signo angiográfico específico es la presencia de pequeñas dilataciones (aneurismas) en el infundíbulo, ápex y región póstero-inferior ventricular derecha, por debajo de la valva tricuspídea
  • Biopsia endomiocárdica: se dan dos patrones histopatológicos:
a) infiltración grasa de la pared libre del ventrículo derecho, especialmente en la pared anterior y en el infundíbulo,
b) patrón fibro-adiposo: alta incidencia de aneurismas del ventrículo derecho y miocarditis focal con parches de infiltrados inflamatorios asociados con necrosis miocárdica.[2]

No obstante, el estudio de la onda épsilon puede no ser concluyente y la imagen del tejido adiposo obtenido con la resonancia con frecuencia es borrosa, por lo que su diagnosis con métodos convencionales puede resultar muy complicado. Además el paciente no tiene porque haber sufrido desvanecimientos o arritmias anteriores.

Tratamiento

A pesar de lo negativo, la enfermedad es tratable si se identifica a tiempo. El tratamiento se basa, dependiendo del riesgo del sujeto, en:

Bajo riesgo

Sin tratamiento

Riesgo Moderado

Tratamiento farmacológico (sotalol, amiodarona)

Riesgo Alto

a) Implantación de Cardiodesfibrilador Automático.

b) Tratamiento farmacológico (amiodarona, sotalol), frente a arritmias sintomáticas, en presencia de taquicardia ventricular muy frecuente que motiva descargas del cardiodefibrilador, o para modificar la frecuencia cardíaca de la taquicardia.

c) Ablación tans-catéter: terapias muy frecuentes impartidas por el cardiodesfibrilador implantable

d) Podría ser necesario un trasplante de corazón.[2]

Referencias

Este artículo ha sido escrito por Wikipedia. El texto está disponible bajo la licencia Creative Commons - Atribución - CompartirIgual. Pueden aplicarse cláusulas adicionales a los archivos multimedia.