Depósito de Ommaya
El depósito de Ommaya es un catéter especial inventado por el neurocirujano pakistaní Ayub K. Ommaya en 1963. También se le conoce como dispositivo de acceso intratecal.


Usos
El depósito de Ommaya fue diseñado para administrar medicamentos antibióticos, analgésicos, y fármacos quimioterapéuticos directamente en el líquido cefalorraquídeo que se halla llenando un ventrículo cerebral lateral (derecho o izquierdo). Ha tenido amplio uso en la clínica oncológica.
Ventajas
La ventaja principal es que con este dispositivo se puede evitar la barrera hematoencefálica, principal bloqueador de la entrada de fármacos al fluido intrarraquídeo. Muchas infecciones requieren varias punciones lumbares muy dolorosas e incapacitantes para los pacientes, pero con este reservorio se ahorra a los pacientes que requieren tratamientos a largo plazo, las molestias y los riesgos.[1]
El depósito de Ommaya proporciona un acceso fácil, rápido e indoloro al sistema nervioso central, además que permite una distribución más uniforme, predecible y equilibrada de los fármacos que la otorgada por la punción lumbar.
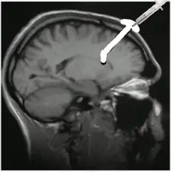
Técnica

El dispositivo se implanta por medio de cirugía debajo del cuero cabelludo del paciente. El cirujano taladra un orificio mediante un buril en el cráneo a nivel del lóbulo frontal del cerebro e introduce el catéter del dispositivo a través del lóbulo del paciente en el ventrículo cerebral lateral. El depósito del dispositivo queda entonces situado encima del orificio del buril, por debajo de un colgajo de piel cabelluda; los fármacos se administran por inyección en el depósito.
Referencias
- Optimal use of the Ommaya reservoir in clinical oncology. Autores: Sundaresan N, Suite ND. Doctors Hospital, Columbia University College of Physicians and Surgeons.Oncology (Williston Park). 1989 Dec 3