Cuerpos de Russell
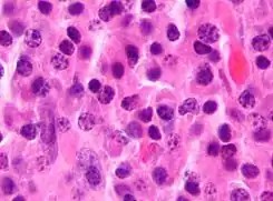
Los cuerpos de Russell son grandes inclusiones homogéneas, de aspecto redondeados y eosinofílicas producidas por la acumulación de inmunoglobulinas recién sintetizadas, en el retículo endoplasmático rugoso de algunas células plasmáticas. Es un tipo celular encontrado en el mieloma múltiple.[1]

Plasmacitoma con un cuerpo de Russell (centro-izquierda). Tinción hematoxilina-eosina.
Referencias
- Martín-Noya A, Ríos-Herranz E, Rafel-Ribas E (febrero de 1999). «Multiple myeloma with numerous intranuclear Russell bodies». Haematologica 84 (2): 179-80. PMID 10091418.
Este artículo ha sido escrito por Wikipedia. El texto está disponible bajo la licencia Creative Commons - Atribución - CompartirIgual. Pueden aplicarse cláusulas adicionales a los archivos multimedia.