Crisis hipertensiva
La crisis hipertensiva es una elevación aguda de la presión arterial (PA) que puede ser asintomática y suele tener consecuencias graves si no se controlan por el cuerpo médico. La crisis hipertensiva es una situación clínica que puede amenazar la vida del paciente hipertenso e incluso puede aparecer en personas que no tengan el diagnóstico de hipertensión arterial (HTA). Las crisis hipertensivas constituyen una causa de consulta frecuente en los servicios de Urgencias.[1] [2]
Crisis hipertensiva | ||
---|---|---|
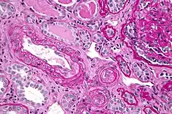
![]() Micrografía mostrando microangiopatía trombótica, una hallazgo histopatológico presente en las crisis hipertensivas. Biopsia de riñón teñida con ácido peryódico de Schiff | ||
Especialidad | cardiología | |
Sinónimos | ||
Hipertensión maligna | ||
![]() | ||
Concepto
Las crisis hipertensivas se definen como aumento agudo de la presión arterial (PA) que puede producir alteraciones estructurales o funcionales sobre los órganos diana. Las cifras para definir crisis hipertensiva es de una presión sistólica mayor o igual a 180 mmHg y una presión diastólica de 110 mmHg de acuerdo a la última recomendación de Joint National Committe (JNC). Se subdividen en emergencias y urgencias hipertensivas. Las primeras implican un estado de mayor gravedad y peor pronóstico por la presencia de daño a un órgano blanco y la evidencia inminente de un rápido o progresivo deterioro a nivel neurológico, cardiaco o renal.[3] De igual manera, una crisis hipertensiva es la situación clínica derivada de un alza de la presión arterial, que obliga a un manejo eficiente, rápido y vigilado de la presión arterial, ya sea por los riesgos que implican las cifras tensionales por sí mismas, o por su asociación a una condición clínica subyacente que se agrava con ascensos discretos de la presión arterial.[4]
Historia
Las emergencias hipertensivas fueron descritas por primera vez por Volhard y Fahr en 1914,[5] que vieron a los pacientes con hipertensión severa acompañados de signos de lesión vascular en el corazón, cerebro, retina y riñón. Este síndrome tuvo una evolución fulminante, que termina en un ataque al corazón, insuficiencia renal o accidente cerebrovascular. No fue, sin embargo, hasta 1939, cuando se realizó la primera investigación[6] a gran escala sobre la historia natural de la enfermedad.[7]
Clasificación
Existen dos tipos de crisis hipertensiva y el criterio para clasificarlas es el daño a órgano blanco:
- Urgencia hipertensiva: El ascenso de la PA no se acompaña de lesión aguda sobre órgano diana. El paciente puede estar asintomático o con síntomas inespecíficos (cefalea, mareo, ansiedad, etc) que en ningún caso pueden comprometer su vida de forma inmediata. Requiere el descenso de las cifras de presión arterial en las próximas 24-48 horas. Su tratamiento será oral y no suelen precisar asistencia hospitalaria. No es conveniente reducir las cifras de PA demasiado rápido, pues podría producir hipoperfusión en órganos diana. Las situaciones más habituales son la crisis asintomática idiopática, la HTA acelerada-maligna no complicada, HTA pre y postoperatorio y el abandono terapéutico.
- Emergencia hipertensiva: La elevación de la PA se asocia a lesión aguda de órganos diana que puede comprometer la vida del paciente de forma inminente. Requiere un descenso rápido de las cifras de PA (minutos-horas) con tratamiento específico preferentemente por vía parenteral precisando ingreso hospitalario (en planta o en UCI). Las formas clínicas de presentación más habituales son: el dolor torácico (27 %), disnea (22 %) y déficit neurológico (21 %). La mayoría de sujetos que presentan una emergencia hipertensiva son hipertensos conocidos con tratamiento antihipertensivo.
Entre otros términos asociados encontramos:
- Hipertensión maligna: Es otro término frecuentemente encontrado, se define como un síndrome caracterizado por elevación de la presión arterial acompañada de encefalopatía o nefropatía.[8] El término ha sido removido de los lineamientos del National and International Blood Presure Control y se prefiere el término emergencia hipertensiva.[7]
- Crisis hipertensiva falsa: Las falsas crisis hipertensivas consisten en cifras elevadas de TA que aparecen en distintas patologías, sin que la HTA determine la progresión del daño. Son fenómenos secundarios a la patología clínica inicial. En estos casos el tratamiento debe orientarse hacia la enfermedad original, ya que las cifras de TA se normalizarán una vez solucionada la causa.[2]
Epidemiología
Ocurre aproximadamente en el 1 % de la población hipertensa, esta entidad es responsable de gran número de muertes en el mundo, debido a que es un factor de riesgo para numerosas enfermedades crónicas no transmisibles, planteándose que en individuos con tensión arterial por encima de 115/75 mmHg se dobla el riesgo de enfermedad cardiovascular (cardiopatía, nefropatía, enfermedad vascular cerebral, retinopatía y vasculopatía hipertensiva) por cada incremento de 20/10 mmHg.[1][9] Existen varios factores de riesgo asociados con la aparición de daño a órgano blanco secundario a HTA entre los cuales encontramos edad, sexo, obesidad el sedentarismo, hábitos tóxicos, ingestión excesiva de sal, control de la hipertensión, tiempo de evolución de la enfermedad, entre otros.[9] En un estudio realizado en el Hospital General Universitario, se examinaron 100 pacientes con daño a órganos diana entre los cuales predominó la cardiopatía hipertensiva con 47 casos (36,15 %), seguido de retinopatía hipertensiva con 43 (33,07 %), las enfermedades vasculares encefálicas con 18 (13,84 %), la neuropatía hipertensiva con 14 (10,76 %) y finalmente la vasculopatía periférica con 8 (6,15 %).[9]
La incidencia de crisis hipertensivas en el postoperatorio varía de acuerdo a la población examinada. Se ha demostrado que entre un 3 y un 35 % de los pacientes desarrollan hipertensión en el postoperatorio inmediato.[8][10]
Etiología
|
Causas de urgencia hipertensiva |
|
Causas de emergencia hipertensiva |
|
Las crisis hipertensivas usualmente se presentan en enfermos con hipertensión arterial sistémica; sin embargo, también pueden ocurrir en enfermos en quienes la HTA es de reciente detección. Entre las causas más frecuentes de crisis hipertensiva encontramos las listadas en la tabla.
Los factores predisponentes son la herencia (los pacientes que tienen antecedentes heredo-familiares de hipertensión arterial sistémica tienen más probabilidades de padecer la enfermedad), la hipertensión arterial crónica no controlada y la suspensión del tratamiento antihipertensivo[3]
Patogenia
La hipertensión aguda severa puede desarrollarse de novo o complicarse de hipertensión esencial o secundaria. Los factores que condicen a un elevamiento súbito de la PA en pacientes con crisis hipretensivas no han sido aclarados aún. La rapidez del comienzo sugiere que existe un factor gatillo (un desencadenante) subyacente a la hipertensión existente,[11] en caso de pacientes no hipertensos que consumen drogas hipertensivas (p ej. cocaína) este puede considerarse como el factor gatillo. Se cree que las crisis hipertensivas inician por un incremento abrupto en la resistencia vascular.[12] Además de que se ha notado la presencia de natriuresis, lo que estimula la secreción de sustancias vasoconstrictoras por el riñón.[7][8]
Consecuencias del aumento de presión
El aumento abrupto de la PA genera estrés mecánico y daño al endotelio vascular lo cual activa a la cascada de la coagulación y plaquetas seguido del depósito de fibrina, si el aumento se vuelve más pronunciado el daño puede causar necrosis arteriolar. Cuando existe aumento de la PA este proceso da lugar a la isquemia y la liberación de otros mediadores vasoactivos generando un círculo vicioso y una lesión permanente. El sistema renina-angiotensina con frecuencia se activa, lo que lleva a la vasoconstricción causando una mayor producción de citocinas proinflamatorias como la interleucina 6.[13] Todo esto resulta en hipoperfusión del órgano blanco que se manifiesta como emergencia hipertensiva.[7][8]
Cuadro clínico
Los pacientes hipertensos a menudo se presentan con pocos o ningún síntomas inespecíficos. La mayoría de los pacientes tienen persistente elevación de la presión arterial durante años antes de manifestar una urgencia hipertensiva. La sintomatología que presenta el paciente está relacionada directamente con el órgano blanco y varían de paciente a paciente.
Entre los signos y síntomas más frecuentes encontramos Dolor torácico (27 %), Disnea (21 %) y déficits neurológicos (20 %). Como se ha mencionado, casi no se observa daño a órgano blanco con PAD < 130 mmHg.[14] Se ha visto que el nivel absoluto de la presión arterial no es tan importante como la tasa de aumento. Por ejemplo, en pacientes con hipertensión de larga data, una PAS de 200 mmHg o PAD hasta de 150 mmHg pueden ser bien toleradas sin desarrollo de encefalopatía mientras que en niños y mujeres embarazadas, la encefalopatía puede desarrollarse con una PAD de 100 mmHg.[7][8][15]
Signos y síntomas | Crisis
hipertensivas |
Urgencias
hipertensivas |
Emergencias
hipertensivas |
---|---|---|---|
Cefalea | 17 | 22 | 3 |
Epistaxis | 13 | 22 | 3 |
Dolor torácico | 13 | 9 | 27 |
Disnea | 12 | 9 | 22 |
Mareos | 10 | 10 | 10 |
Agitación psicomotriz | 7 | 10 | 0 |
Déficit neurológico | 7 | 3 | 21 |
Vértigo | 6.5 | 7 | 3 |
Parestesias | 6.5 | 6 | 8 |
Vómitos | 2.5 | 2 | 3 |
Arritmias | 1 | 6 | 0 |
Otros | 5.6 | 2 | 3 |
El dolor de cabeza, la alteración de la conciencia y algunos signos leves de disfunción cerebral son las manifestaciones clásicas de la encefalopatía hipertensiva. La presencia de retinopatía avanzada con cambios arteriolares, hemorragias y exudados, así como edema de papila, se observan con frecuencia en el examen de fondo de ojo en pacientes con encefalopatía hipertensiva.
En el embarazo, la presentación de una paciente con preeclampsia va desde la presencia de manifestaciones leves hasta una enfermedad que amenaza la vida. Las características clínicas de la enfermedad grave son defectos de la vista, dolores de cabeza, convulsiones, alteración de la conciencia, accidente cerebrovascular, dolor intenso en el cuadrante superior derecho abdominal, insuficiencia cardíaca congestiva y oliguria. Este proceso se puede terminar mediante el alumbramiento. La decisión de continuar o terminar el embarazo debe ser realizado por el obstetra.[16]
Diagnóstico
El diagnóstico de las crisis hipertensivas es clínico o emocionales y la búsqueda de signos y síntomas se enfoca en evidenciar daño a órgano blanco.put
Evaluación inicial
Los pacientes con emergencia hipertensiva suelen presentarse para su evaluación como resultado de un complejo sintomático nuevo relacionado con su presión arterial elevada. El triaje y la evaluación médica deben ser rápidos para evitar daño a órgano blanco. La confirmación de la presión arterial se obtiene de la medición de la PA en ambos brazos con un manguito del tamaño adecuado para el paciente.[7] Se ha observado que una variación en el tamaño del manguito tiene consecuencias importantes importante porque el uso de un manguito demasiado pequeño para el brazo se ha demostrado que elevar artificialmente lecturas de la PA en los pacientes obesos.[17][18]
Anamnesis
La clave para el éxito en el tratamiento de los pacientes con presión arterial muy elevada es diferenciar las crisis hipertensivas de las urgencias hipertensivas. Esto se logra mediante una historia específica y examen médico con el apoyo de la adecuado de laboratorio. Entre la información que puede considerar el médico para efectuar el diagnóstico de esta enfermedad se encuentra:[2][3]
- Antecedentes de HTA, crisis hipertensivas previas, medicación antihipertensiva.
- Duración de la hipertensión: Una hipertensión de corta evolución es más propensa a desarrollar la enfermedad.
- Incumplimiento terapéutico. El rebote terapéutico es de las causas más comunes.
- Fármacos actuales. Algunos medicamentos de libre venta pueden ser hipertensores (p ej. inhibidores de la monoamino oxidasa).
- Consumo de drogas, el consumo de drogas adrenérgicas puede ser un factor importante
- Presencia de factores de riesgo cardiovascular:
- Diabetes mellitus
- Dislipidemias
- Tabaquismo: El tabaquismo se ha identificado como un factor predisponente a la hipertensión y el daño cardiovascular.
Exploración física
La evaluación por parte del clínico debe incluir dos exploraciones básicas, la toma de presión arterial (se recomienda realizarla en todos los miembros y en decúbito dorsal) y la fundoscopía para detectar signos de retinopatía hipertensiva.
- Medición de TA. Esta revisión debe hacerse por el médico con el paciente en reposo. Manguito adecuado al brazo. Se recomienda hacer 3 mediciones separadas por dos minutos. Despreciar la primera y hacer la media de las dos últimas.[2]
- Auscultación cardiopulmonar.
- Exploración neurológica
- Fundoscopía para determinar la presencia de retinopatía hipertensiva.
Pruebas de laboratorio y gabinete
Entre las pruebas de laboratorio y gabinete que se usan como auxiliar de diagnóstico se encuentran:[2]
- Hemograma. Es una prueba para observar y contar las células de la sangre. Sirve para descartar la presencia de anemia hemolítica microangiopática
- Química sanguínea que evalúe glucemia y creatinina.
- Ionograma sérico. En esta prueba sirve para titular las concentraciones de iones en el plasma sanguíneo. Sirve para descartar alteraciones electrolíticas que causen crisis hipertensiva.
- Marcadores de daño tisular cardíaco, se solicitan si se presenta sintomatología de enfermedad coronaria o de daño miocárdico
- Examen general de orina. Que sirve para detectar proteinuria o hematuria.
- Electrocardiograma. Sirve para descartar patologías cardíacas. Se indica en sospecha de las mismas
- Radiografía de tórax. Sirve para evaluar el índice cardiotorácico, silueta cardíaca, arco aórtico y vascularización pulmonar.
- Ecografía abdominal. Se realiza para descartar feocromocitoma, hipoaldosteronismo primario o sospecha de hipertensión vasculorenal. Se indica en la sospecha de las mismas.
- Tomografía axial computarizada. Sirve para estratificar un daño neurológico. Se indica en sospecha de daño neurológico.
Diagnóstico diferencial
El médico debe tomar una decisión prospectiva sobre la etiología de los síntomas para determinar el manejo de la presión arterial. Si el dolor de un paciente hipertenso es en el pecho, posiblemente se trate de una angina de pecho, y puede ser necesario el control inmediato de la presión arterial a través de la terapia parenteral. Sin embargo, si el médico determina que el dolor no es cardiovascular, el paciente no necesita tratamiento inmediato para la elevación de la presión arterial. La evaluación del paciente determina el tratamiento necesario.
Las manifestaciones cardiovasculares de las crisis hipertensivas pueden incluir angina de pecho o infarto agudo de miocardio. Descompensación cardiaca puede conducir a síntomas de disnea, ortopnea, astenia, tos o edema pulmonar.[19] Una lesión severa en el riñón puede conducir a insuficiencia renal con oliguria o hematuria.[8]
Tratamiento
La terapia de elección depende del tipo de crisis hipertensiva (urgencia o emergencia), por lo que es importante establecer un diagnóstico correcto. El objetivo primordial del tratamiento es evitar el daño sobre el órgano diana afectado y no específicamente regresar al paciente a cifras de PA normales. Tanto la velocidad como el grado de descenso de las cifras de TA depende del tipo de emergencia hipertensiva que presente el paciente.[2]
Manejo inicial
El manejo inicial de una crisis hipertensiva depende del tipo de esta, una urgencia hipertensiva debe manejarse en el primer nivel de atención; una emergencia hipertensiva debe ser referida a un hospital de tercer nivel para el manejo de las complicaciones subsecuentes teniendo en cuenta las siguientes consideraciones:[3]
- Todos los pacientes con sospecha de emergencia hipertensiva deben ser referidos a un hospital de segundo o tercer nivel.
- El traslado debe hacerse preferentemente en una ambulancia con cuidados intensivos (equipadas con bombas de infusión, equipo de reanimación y médico).
- El traslado debe hacerse al hospital de segundo o tercer nivel más cercano para asegurar su atención inmediata.
Manejo de la crisis hipertensiva
Se recomienda la medicación oral como medida para disminuir la presión arterial. Para una urgencia hipertensiva se recomienda un descenso gradual, llegando a cifras normales en 24 a 48 horas[1] y tratamiento en un hospital de primer nivel de atención.[3] Los fármacos recomendados para el tratamiento en este nivel son:
Inhibidores de la enzima convertidora de angiotensina:
- Metoprolol: 50-100 mg cada 12 horas
- Atenolol: 50 mg cada 12-24 horas
Antagonista de los receptores de angiotensina II:
- Losartan: 50 mg cada 12 horas
- Candesartan: 8-16 mg cada 24 horas
- Telmisartan 40-80 mg cada 24 horas
- Amlodipino: 5-10 mg cada 24 horas
- Nifedipino: 30-60 mg cada 24 horas
- Hidroclorotiazida
- Clortalidona: 25 mg cada 24 horas
Manejo de la emergencia hipertensiva
La elección de los fármacos para el tratamiento de una emergencia hipertensiva depende del órgano blanco y la presentación clínica. En estos casos es necesario reducir de manera inmediata las cifras tensionales[1] y su tratamiento debe de ser en un hospital de segundo o tercer nivel de atención. Entre los medicamentos más comunes encontramos:[3]
- Bolo intravenoso
- Dosis de impregnación: 20 mg
- Dosis de incremento: 20 a 80 mg, intervalos de 10 minutos hasta alcanzar el efecto deseado.
- Infusión intravenosa
- Dosis: 1 a 2 mg/min
- Infusión intravenosa:
- Infusión inicial: 5 mg/h
- Aumento: 2.5 mg/h cada 5 min
- Dosis máxima: 15 mg/h
- Infusión intravenosa
- Dosis máxima: 2 gr/kg/min
- Infusión intravenosa
- Dosis: 5 μg/min
- Dosis máxima: 20 μg.
- dosis máxima: 32 urg.
Profilaxis
Se ha descrito que, como medida preventiva, el consumo de una dieta hiposódica en pacientes con hipertensión arterial establecida genera beneficios en su cuadro clínico.
Véase también
Referencias
- M. Rodríguez Cerrillo; P. Mateos Hernández; C. Fernández Pinilla; N. Martell Claros; M. Luque Otero. «Crisis hipertensiva: prevalencia y aspectos clínicos» (PDF). Rev Clin Esp (España: Elsevier) 202 (5): 255-8. PMID 12060538. Consultado el 28 de diciembre de 2011. (requiere suscripción).
- P. Herrero Puentea, J. Vázquez Álvareza, A. Álvarez Cosmeac y F. Fernández Vega. Abordaje diagnóstico y terapéuticode las crisis hipertensivas Hipertensión 2003;20(6):273-82 En caché (enlace roto disponible en Internet Archive; véase el historial, la primera versión y la última). Fecha de consulta Sáb 24 de dic 2011
- CENETEC SSA-155-08 Guía de práctica clínica: Prevención, diagnóstico y tratamiento de las crisis hipertensivas. (Guía de referencia rápida) México:Secretaría de Salud 2008. Consejo de salubridad general Actualización 2008. ISBN en trámite
- VALDES S, Gloria y ROESSLER B, Emilio. Recomendaciones para el manejo de las crisis hipertensivas: Documento de Consenso de la Sociedad Chilena de Hipertensión Arterial. Rev. méd. Chile [online]. 2002, vol.130, n.3 [citado 2011-12-24], pp. 322-331. ISSN 0034-9887. doi 10.4067/S0034-98872002000300013.
- Volhard F. Fahr T. Die brightsche Nierenkranbeit: Klinik Pathologie und Atlas. Berlin, Germany: Springer, 1914
- Keith NM, Wagener HP Barker NW. Some different types of essential hypertension: their course and prognosis. Am J Med Sci 1939; 197:332-343 PubMed
- Paul E. Marik, Joseph Varon. Hypertensive Crises: Challenges and Management. Chest 2007; 131:1949-1962 ISSN 1070-5295doi 10.1378/chest.06-2490PubMed
- Álvarez Aliaga A.; Rodríguez Blanco L.H.; Fonseca Aguilera A.A.; Fonseca Muñoz J.C.; López Costa C.; Hernández Galano M.E. (27/7/07). «Factores de riesgo de daño a órgano diana por hipertensión arterial» (PDF). Escrito en Cuba. MAPFRE Medicina (España: Fundación Mapfre) 18 (3): 190-200. ISSN 1130-5665. Archivado desde el original el Desconocida. Consultado el 7 de enero de 2012.
- Gal TJ, Cooperman LH: Hypertension in the Immediate Postoperative Period. Br J Anesth 1975;47:70-4.PubMeddoi 10.1093/bja/47.1.70
- Wallach R, Karp RB, Reves JG, et al. Pathogenesis of paroxysmal hypertension developing during and after coronary bypass surgery: a study of hemodynamic and humoral factors. Abstract Am J Cardiol 1980; 46:559–565 PubMeddoi 10.1016/0002-9149(80)90503-2
- Ault MJ, Ellrodt AG. Pathophysiological events leading to the end-organ effects of acute hypertension. Abstract Am J Emerg Med 1985; 3:10–15doi 10.1016/0735-6757(85)90227-XPubMed
- Funakoshi Y, Ichiki T, Ito K, et al. Induction of interleukin-6 expression by angiotensin II in rat vascular smooth muscle cells. Abstract Hypertension 1999; 34:118–125doi 10.1161/01.HYP.34.1.118PubMed
- Zampaglione B, Pascale C, Marchisio M, et al. Hypertensive urgencies and emergencies: prevalence and clinical presentation. Abstract Hypertension 1996; 27:144–147 doi 10.1161/01.HYP.27.1.144PubMed
- Rey E, LeLorier J, Burgess E, et al. Report of the Canadian Hypertension Society Consensus Conference: 3. Pharmacologic treatment of hypertensive disorders in pregnancy. Can Med Assoc J 1997; 157:1245–1254PubMed
- Roberts JM, Redman CWG. Pre-eclampsia: more than pregnancy-induced hypertension. Lancet 1993; 341:1447-1454PubMeddoi 10.1016/0140-6736(93)90889-O
- Graves JW. Prevalence of blood pressure cuff sizes in a referral practice of 430 consecutive adult hypertensives.Abstract Blood Press Monit 2001; 6:17–20PubMed
- Linfors EW, Feussner JR, Blessing CL, et al. Spurious hypertension in the obese patient: effect of sphygmomanometer cuff size on prevalence of hypertension.Abstract Arch Intern Med 1984; 144:1482–1485PubMed
- Bennett NM, Shea S. Hypertensive emergency: case criteria, sociodemographic profile, and previous care of 100 cases. Abstract Am J Public Health 1988; 78:636-640 PubMeddoi 10.2105/AJPH.78.6.636