Cistoadenoma seroso del páncreas

El cistoadenoma seroso del páncreas es un tumor benigno de este órgano. Generalmente se encuentra en la cola del páncreas,[1] y puede estar asociado con el síndrome de von Hippel-Lindau.[2]

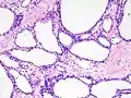
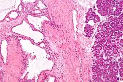
Cistoadenoma seroso del páncreas

Micrografía mostrando un cistoadenoma seroso del páncreas. H&E stain.
Especialidad cirugía general, oncología
 Aviso médico 

En contraste con algunos de los otros tumores del páncreas que forman quistes (como la neoplasia mucinosa papilar intraductal y la neoplasia quística mucinosa), las neoplasias quísticas serosas son casi siempre completamente benignas. Hay algunas excepciones; en raras ocasiones, se han descrito casos de cistoadenocarcinomas serosos malignos aislados.[3] Además, las neoplasias quísticas serosas crecen lentamente y, si crecen lo suficiente, pueden presionar los órganos adyacentes y causar síntomas.

Clasificación

Los patólogos clasifican las neoplasias quísticas serosas en dos grandes grupos. Aquellas que son benignas, que no se han diseminado a otros órganos, se denominan "cistoadenomas serosos".[4] Los cistoadenomas serosos pueden subdividirse en microquístico, oligocístico (o macrocístico), sólido, neoplasia endocrina mixta y neoplasia serosa asociada a VHL. Este último esquema de clasificación es útil porque destaca la variedad de aspectos y las asociaciones clínicas de estas neoplasias. Las neoplasias quísticas serosas que se han diseminado ("metastatizado") a otro órgano se consideran malignas y se denominan "cistoadenocarcinoma seroso".

Patología

Tratamiento

Estas lesiones rara vez requieren cirugía excepto si son sintomáticas o el diagnóstico está en duda. Dado que no tienen potencial maligno, la observación a largo plazo es innecesaria. La cirugía puede incluir la extirpación de la cabeza del páncreas (una duodenopancreatectomía), la extirpación del cuerpo y la cola del páncreas (una pancreatectomía distal) o, rara vez, la extirpación de todo el páncreas (una pancreatectomía total).[5] En algunos casos, la cirugía se puede realizar utilizando técnicas mínimamente invasivas, como la laparoscopia.[6]

Véase también

  • Cistoadenoma seroso ovárico
  • Tumor pseudopapilar sólido

Referencias

  1. Colonna, J.; Plaza, JA.; Frankel, WL.; Yearsley, M.; Bloomston, M.; Marsh, WL. (2008). «Serous cystadenoma of the pancreas: clinical and pathological features in 33 patients». Pancreatology 8 (2): 135-41. PMID 18382099. doi:10.1159/000123606.
  2. Eras, M.; Yenigun, M.; Acar, C.; Kumbasar, B.; Sar, F.; Bilge, T. «Pancreatic involvement in Von Hippel-Lindau disease». Indian J Cancer 41 (4): 159-61. PMID 15659868.
  3. «Resected serous cystic neoplasms of the pancreas: a review of 158 patients with recommendations for treatment». J. Gastrointest. Surg. 11 (7): 820-6. julio de 2007. PMID 17440789. doi:10.1007/s11605-007-0157-4.
  4. «Pathology of Neoplasms of the Pancreas». Johns Hopkins University. Consultado el 25 de abril de 2010.
  5. «Pancreatic Surgery». Johns Hopkins University. Consultado el 25 de abril de 2010.
  6. «Laproscopic Pancreatic Surgery». Johns Hopkins University. Consultado el 25 de abril de 2010.

Enlaces externos

Clasificación
re
Recursos externos
Este artículo ha sido escrito por Wikipedia. El texto está disponible bajo la licencia Creative Commons - Atribución - CompartirIgual. Pueden aplicarse cláusulas adicionales a los archivos multimedia.