Célula gigante de Touton
Las células gigantes de Touton son un tipo de células multinucleadas que pueden ser vistas lesiones con alto contenido de lipídico como en la necrosis grasa, xantoma, y xantelasma y xantogranulomas.También pueden encontrarse en los dermatofibromas.[1]

Historia
Se conocen como células gigantes de Touton por Karl Touton, un botánico alemán y dermatólogo.[2] Karl Touton observó por primera vez estas células en 1885 y las nombró "células gigantes xantelasmicas", un nombre que desde entonces ha caído en el olvido.[3]
Aspecto
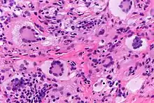
Las células gigantes de Touton, siendo células gigantes multinucleadas, puede ser distinguidas por la presencia de varios núcleos en un patrón distintivo. Contienen un anillo de núcleos que rodean un citoplasma homogéneo central, mientras que el citoplasma que rodea a los núcleos es espumoso.[4][5] El citoplasma rodeado por los núcleos ha sido descritos como anfófilo y eosinofílico, mientras que el citoplasma de la periferia celular tiene un aspecto pálido y espumoso.[6]
Causas
Las células gigantes de Touton están formadas por la fusión de células espumosas derivadas de macrófagos. Se ha sugerido que algunas citoquinas como el interferón gamma, la interleucina-3, y M-CSF pueden estar implicadas en la producción de estas células.[7][8]
Referencias
- Rapini, Ronald P.; Bolognia, Jean L.; Jorizzo, Joseph L. (2007). Dermatology: 2-Volume Set. St. Louis: Mosby. pp. 14, 15. ISBN 978-1-4160-2999-1.
- Aterman, K.; Remmele, W.; Smith, M. (Jun 1988). «Karl Touton and his "xanthelasmatic giant cell." A selective review of multinucleated giant cells». The American Journal of Dermatopathology 10 (3): 257-269. ISSN 0193-1091. PMID 3068999.
- Olson, James (1989). The History of Cancer: An Annotated Bibliography. ABC-CLIO. pp. 139. ISBN 9780313258893.
- Grant-Kels, Jane (2007). Color Atlas of Dermatopathology. City: Informa Healthcare. pp. 107, 119. ISBN 978-0-8493-3794-9.
- Carmen Gómez-Mateo, Maria; Monteagudo, Carlos (2013). «Nonepithelial skin tumors with multinucleated giant cells». Seminars in Diagnostic Pathology 30 (1): 58-72. PMID 23327730. doi:10.1053/j.semdp.2012.01.004.
- Sequeira, Fiona; Gandhi, Suneil (2012). «Named cells in dermatology». Indian Journal of Dermatology, Venereology and Leprology 78 (2): 207-16. PMID 22421663. doi:10.4103/0378-6323.93650.
- Quinn, Mark; Schepetkin, Igor (2009). «Role of NADPH Oxidase in Formation and Function of Multinucleated Giant Cells». Journal of Innate Immunology 1 (6): 509-26. PMC 2919507. PMID 20375608. doi:10.1159/000228158.
- Reiss, AB; Patel, CA (2004). «Interferon-gamma impedes reverse cholesterol transport and promotes foam cell transformation in THP-1 human monocytes/macrophages». Medical Science Monitor 10 (11): 420-5. PMID 15507847.