Célula de Leydig
Las células de Leydig o células intersticiales del testículo[1] son las células secretoras endócrinas encargadas de secretar cerca del 90% de la hormona masculina (testosterona), están localizadas en el compartimento intersticial entre los túbulos seminíferos del testículo.
Célula de Leydig | ||
---|---|---|
![]() Células de Leydig en marrón (flecha). Túbulos en celeste. | ||
Gray | pág.1243 | |
Información anatómica | ||
Sistema | Endocrino | |
| ||
![]() | ||
Estructura

Las células de Leydig están ubicadas en el espacio entre los túbulos seminíferos llamado compartimento intersticial, se encuentran rodeadas por el tejido conjuntivo laxo, con microvasculatura. Por su función endócrina, corresponden al parénquima ya que secrecretan la hormona masculina testosterona.[2] [3]
Microaquitectura
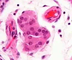
Con el microscopio óptico, las células intersticiales secretoras de Leydig, tienen forma redondeada o poligonal con un diámetro de 15-20 micrómetros (μm).
El núcleo celular es centralizado y presenta la cromatina periférica delgada, contra la membrana nuclear (heterocromatina). El nucléolo es grande y central.

Con la tinción clásica de H&E, el citoplasma se visualiza rosado (eosinofílico). También es rico en inclusiones lipídicas que se ven blancas.
En su interior se alojan los cristales de Reinke cuerpos de contenido proteico.
Se ven agrupamientos de estas células secretoras dentro del intersticio intertubular, en estrecha cercanía de los capilares sanguíneos.[3]
Ultraestructura

Con el microscopio electrónico las células de Leydig muestran las características típicas de las células secretoras de esteroides.
El núcleo es de aspecto claro, debido a la cromatina descondensada (eucromatina) que es la forma activa, poco compactada con una gran concentración de genes en transcripción genética. El nucléolo es grande y notorio con zonas de nucleolonema separados por áreas claras.
El citoplasma muestra numerosas mitocondrias grandes con crestas tubulares. El
retículo endoplasmático liso es abundante, con forma de red de túbulos interconectados. Son numerosas las vesículas de lípidos.[4] [3]
Función
Las células de Leydig (LC) sintetizan, almacenan y secretan la hormona testosterona, que es la hormona sexual más importante en el macho mamífero.[5]
Las LC muestran diferentes poblaciones, desde la etapa fetal (organogénesis) hasta la edad adulta, las cuales son identificables por sus marcadores moleculares característicos.
En el embrión aparecen las LC fetales (FLC) o primera generación de LC. Las FLC en humanos comienzan a aparecer en el mesénquima, de los testículos prenatales en desarrollo, en la semanas 7-8 de la gestación. Las FLC regulan la masculinización de los genitales masculinos y también regulan las funciones neuroendócrinos.[6]
En humanos y primates se desarrolla una segunda generación de LC, durante la activación transitoria del eje hipotálamo-hipofisario-testicular en los primeros 6 meses después del nacimiento. Las LC neonatales son importantes para la programación perinatal específica de género, al condicionar varios tipos de células en los órganos que serán dependientes de los andrógenos, incluido el cerebro.[7]
El desarrollo de las LC adultas (ALC en inglés) en la pubertad, es la tercera generación y es necesaria para el inicio y mantenimiento de la espermatogénesis, y para establecer los caracteres sexuales secundarios masculinos.
La ALC se origina a partir de una célula madre indiferenciada, llamada célula madre de Leydig (Stem Leydig Cell, SLC en inglés).[7]
[8]
Secreción de Testosterona
La producción de testosterona en las células de Leydig es consecuencia de un proceso que consta de varios pasos en tres lugares separados: el Hipotálamo, la Hipófisis y el Testículo.[9]
Es liberada la neurohormona llamada Hormona liberadora de gonadotropina (GnRH). Esta es vehiculizada hasta la glándula hipófisis mediante el sistema Porta hipotálamo-hipófisis.
En la Adenohipófisis la GnRH libera la gonadotropina llamada hormona luteinizante (LH). Esta abandona la glándula por vía sanguínea.
En las células de Leydig ubicadas en el compartimento intersticial, la hormona LH se une a su receptor específico (LH-R). Este forma parte de la superfamilia de receptor acoplado a proteína G (GPCR)/receptores de siete dominios transmembrana, subfamilia de receptores de hormonas glicoproteínas.[10] [11]
A continuación se produce un aumento de la concentración de AMPc en el citoplasma, gracias a la activación de la enzima adenil ciclasa, que como consecuencia produce la expresión de enzimas que catalizan las reacciones desde colesterol hasta testosterona.
Las enzimas mitocondriales escinden la cadena lateral del colesterol para formar pregnenolonas y otras enzimas contribuyen a la biosíntesis de testosterona a partir de este precursor:
pregnenolona⇒ progesterona⇒dihidroepiandrostendiona⇒ androstenediona⇒ Testosterona [5]
Un testículo adulto produce mediante las células de Leydig, de 4 a 7 miligramos (mg) de testosterona al día, que representa el 90% del total. El 10% restante es producido por las glándulas suprarrenales.[12] [13]
La secreción de testosterona se ajusta a un ritmo circadiano, con mínimos a última hora del día y máximos de madrugada y a primera hora del día (sobre las 8 a.m. se llega a la máxima concentración de progesterona en sangre). Las variaciones en cuanto a su producción, pueden llegar a tener una amplitud del 36%.[12]
La fuente principal de testosterona en el hombre, son las células de Leydig (LC).
Una disminución de las (LC) y por tanto, una menor secreción de testoterona, puede estar relacionado en algunos casos con el desarrollo de síndrome de resistencia androgénica en el hombre adulto (ADAM). Este síndrome está frecuentemente asociado a la edad.
A medida que los hombres envejecen, el número de células de Leydig se reduce y la producción de testosterona por célula también se reduce.[14]
Recambio celular de Leydig
Las células de Leydig adultas (ALC) son generadas durante la pubertad por las células madre de Leydig (Stem Leydig Cell, SLC en inglés).
Las SLC persisten en los testículos adultos.[8]
Luego de una lesión química de las LC, se desarrollan las células progenitoras y se expresan los biomarcadores del linaje de células de Leydig. Estas células progenitoras se transforman en células de tipo inmaduro. Las células inmaduras maduran como ALC hasta 56 días después en ratas.[15] [16]
Patología
- El hipogonadismo primario del adulto
se refiere a la disfunción testicular asociada a una deficiencia en la secreción de andrógenos por la célula de Leydig, establecido durante la vida fetal o la infancia.[17]
- Los tumores de células de Leydig
representan un número muy pequeño 1-3 % del total de los tumores testiculares. Se detectan con mayor frecuencia en hombres entre los 30 y los 60 años.[18] [19]
El neoplasma de células de Leydig se puede presentar con diferentes síntomas como: orquiepididimitis, hidrocele, infertilidad, ginecomastia o síndrome adrenogenital. Se detectan importantes alteraciones en los niveles hormonales en sangre, sobre todo de la testosterona pero también de los estrógenos y la progesterona.[20]
Historia
Fueron descubiertas en el año 1851 por Franz Leydig, al que debe su nombre.[21]
Referencias
- OMS,OPS (ed.). «Células Intersticiales del Testículo». Descriptores en Ciencias de la Salud, Biblioteca Virtual en Salud.
- Gao Y.; Wu X.; Zhao S.; Zhang Y.; Ma H.; Yang Z.; Yang W.; Zhao C. ; Wang Li ; Zhang Q. (2019). «Melatonin receptor depletion suppressed hCG-induced testosterone expression in mouse Leydig cells». Cellular & Molecular Biology Letters 24 (21). Consultado el 26 de febrero de 2022.
- Wolfgang Kühnel (2005). «Células de Leydig, lámina 522». Atlas color de citología e histología. Médica Panamericana. p. 384.
- Redins C.A.; Redins G.M.; Novaes J.C. (2002). «The effects of treatment with melatonin on the ultrastructure of mouse leydig cells: a quantitative study». Brazilian journal of biology = Revista brasleira de biologia 62 (3): 517-523. doi:10.1590/S1519-69842002000300017.
- Mesiano S. (2022). «54: Sistema Reproductor Masculino». En Walter F. Boron; Emile L. Boulpaep, eds. Boron y Boulpaep. Manual de fisiología médica. Elsevier Health Sciences. pp. 577-581.
- Svechnikov K.; Izzo G.; Landreh L.; Weisser J.; Söder O. «Endocrine Disruptors and Leydig Cell Function». BioMed Research International (Revisión) (Hindawi) 2010: 684504. Consultado el 27 de febrero de 2022.
- Ye L.; Li X.; Li L.; Chen H.; Ge R-S. (2017). «Insights into the Development of the Adult Leydig Cell Lineage from Stem Leydig Cells». Front. Physiol. (Revisión) (Frontiers (editorial)) 8: 430. Consultado el 27 de febrero de 2022.
- Chen P.; Zirkin B.R.; Chen H. (2020). «Stem Leydig Cells in the Adult Testis: Characterization, Regulation and Potential Applications». Endocr Rev. 41 (1): 22-32. PMC 7753054. PMID 31673697. doi:10.1210/endrev/bnz013. Consultado el 27 de febrero de 2022.
- Melmed S.; Auchus R.J.; Goldfine A.B.; Koenig R.J.; Rosen C.J. (2021). «cap7:Neuroendocrinología». Williams. Tratado de endocrinología (14a. edición). Elsevier Health Sciences. p. 161-167. Consultado el 26 de noviembre de 2021.
- Dufau M.L. (1998). «The luteinizing hormone receptor». Revisar Annu Rev Physiol (Artículo de revisión) 60: 461-496. doi:10.1146/annurev.fisiol.60.1.461. Consultado el 28 de febrero de 2022.
- Puett D.; Li Y.; DeMars G.; Angelova K.; Fanellib F. (2007). «A functional transmembrane complex: The luteinizing hormone receptor with bound ligand and G protein». Mol Cell Endocrinol. 260-262: 126-136. Consultado el 28 de febrero de 2022.
- José Luis Arrondo (2004). Tema 1: Fisiología hormonal masculina (PDF). Asociación Española de Urología.
- Bradley D. Anawalt; Glenn D. Braunstein. «12: Testículos». En Gardner D.G.; Shoback D., eds. Greenspan. Endocrinología básica y clínica. (10a. edición).
- Rebourcet D.; O’Shaughnessy P.J.; Monteiro A.; Milne L.; Cruickshanks L.; Jeffrey N.; Smith L.E.; Guillou F.; Freeman T.C.; Mitchell R.T. (2014). «Sertoli Cells Maintain Leydig Cell Number and Peritubular Myoid Cell Activity in the Adult Mouse Testis.». PLoS ONE (en inglés) 9 (8): e105687. doi:10.1371/journal.pone.0105687. Consultado el 25 de febrero de 2022.
- Chen L.; Li X.; Wang Y.; Song T.; Li H.; Xie L.; Li L.; Chen X. ; Ma L. ; Chen Y. ; Lv Y. ; Li X. ; Ge R-S. (2019). «Fibroblast Growth Factor 1 Promotes Rat Stem Leydig Cell Development». Front. Endocrinol. (Frontiers). Consultado el 27 de febrero de 2022.
- Guan X.; Chen P.; Ji M.; Wen X.; Chen D.; Zhao X.; Huang F.; Wang J. , Shao J. , Xie J. , Zhao X. , Chen F. , Tian J. , Lin H. , Zirkin Br. , Duan P. , Su Z. , Chen H. (2022). «Identification of Rat Testicular Leydig Precursor Cells by Single-Cell-RNA-Sequence Analysis. (2022)». Front. Cell Dev. Biol. (Frontiers). Consultado el 27 de febrero de 2022.
- Grinspon R.P.; Loreti N.; Braslavsky D.; Bedecarrás P.; Ambao V.; Gottlieb S.; Bergadá I.; Campo S.M. ; Rey R.A. (2014). «Utilidad de la hormona anti-Mülleriana (AMH) y la inhibina B en el diagnóstico del hipogonadismo en el niño.». Rev. Venez. Endocrinol. Metab. (Mérida, Venezuela: SciELO) 12 (2). Consultado el 26 de febrero de 2022.
- «Tumor testicular de células de Leydig». MedlinePlus. 2022.
-
- Who named it?, Leydig's cells, consultado el 5 de octubre de 2010