Bastones de Auer
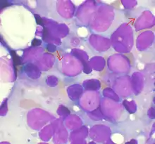
Los bastones de Auer son inclusiones que se tiñen en el citoplasma de precursores de granulocitos. Consisten en material granulado, compuesto de lisosomas fusionados que contienen peroxidasa, enzimas lisosomales y cristales, y que se tiñen con preferencia al lapislázuli. Por lo general, aparecen caracteristicamente en mieloblastos de la leucemia mieloide aguda, en especial las de tipo M1, M2, M3 y M4. El epónimo proviene del fisiólogo estadounidense John Auer (1875-1948).[1]

Aspirado de médula ósea que muestra (flechas rojas) blastocitos con bastones de Auer.
Referencias
- Auer, John (1906). «Some hitherto undescribed structures found in the large lymphocytes of a case of acute leukaemia». American Journal of the Medical Sciences 131 (6): 1002-1015. ISSN 0002-9629.
Este artículo ha sido escrito por Wikipedia. El texto está disponible bajo la licencia Creative Commons - Atribución - CompartirIgual. Pueden aplicarse cláusulas adicionales a los archivos multimedia.