Astrocitoma pilomixoide
El astrocitoma pilomixoide es un tumor del sistema nervioso central poco frecuente que se incluyó por primera vez en la clasificación de tumores de la OMS en 2007 como variante del astrocitoma pilocítico. Dado que las recidivas no son infrecuentes, el tumor se clasifica como de grado II según la clasificación de la OMS.
Comparte características con el astrocitoma pilocítico, el tumor más común del sistema nervioso central en la población pediátrica, aunque presenta sutiles diferencias histológicas. Cabe señalar que el astrocitoma pilocítico es un tumor de crecimiento lento con un pronóstico sustancialmente favorable. Sin embargo, no todos los pacientes con astrocitoma pilocítico tienen un pronóstico tan positivo. Una pequeña proporción presenta un comportamiento clínico diferente, con un periodo de supervivencia más corto y una mayor mortalidad.
Actualmente se reconoce que el hecho de que se produzcan astrocitomas pilocíticos especialmente agresivos se debe principalmente a la existencia de la variante pilomixoide. Por ello, algunos autores creen que nuevos estudios podrían llevar a reconocer al astrocitoma pilomixoide como un tumor diferenciado, con su propio pronóstico y tratamiento.[1]
Epidemiología y clínica
Los astrocitomas pilomixoides se dan sobre todo en niños pequeños, y con menor frecuencia en niños más mayores y adultos. Los tumores suelen localizarse en la zona hipotalámica o en el quiasma óptico, por lo que son clínicamente detectables, entre otros, por síntomas como las alteraciones visuales con pérdida del campo visual. En la resonancia magnética, los astrocitomas pilomixoides se presentan como tumores hipointensos con una captación de contraste homogénea en T1.
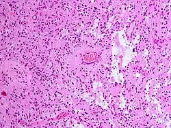
Neuropatología

Histopatológicamente, las células tumorales presentan una disposición angiocéntrica en una matriz mixoide. No hay un patrón de crecimiento bifásico típico como en los astrocitomas pilocíticos, ni son características las fibras de Rosenthal o los cuerpos granulares eosinófilos. Las mitosis son raras. La actividad proliferativa puede oscilar entre el 2% y el 20%.
Tratamiento y pronóstico
En comparación con los astrocitomas pilocíticos, el comportamiento biológico de los astrocitomas pilomixoides es más agresivo: incluso después de la resección neuroquirúrgica del tumor, pueden producirse recidivas locales o la diseminación de células tumorales en el espacio del líquido cefalorraquídeo.
Referencias
Notas
- Burger, P. C. et al. (2004). Pilomyxoid astrocytoma: a review. Medscape General Medicine, 6(4).
Bibliografía
- Burger PC et al. (2004). Pilomyxoid Astrocytoma: A Review. MedGenMed. 2004; 6(4): 42.
- David N. Louis DN et al. (2007). The 2007 WHO Classification of Tumours of the Central Nervous System. Acta Neuropathol (Berl) Agosto de 2007; 114(2): 97–109.
- Komotar RJ et al. (2005). Pilomyxoid astrocytoma: diagnosis, prognosis, and management. Neurosurg Focus 18 (6a): E7, 2005.
- Scheithauer et al.: Pilocytic Astrocytoma. In: Louis, D.D., Ohgaki, H., Wiestler, O., Cavenee, eds. World Health Organization classification of tumors. Pathology and genetics of tumours of the nervous system. Lyon, IARC Press; 2007