Adenoma pleomórfico
Un adenoma pleomórfico es el tumor benigno más frecuente de las glándulas salivales y parótidas. Su nombre deriva del pleomorfismo en su constitución, es decir, su apariencia es grandemente variable, al visualizarse en el microscopio de luz. Se conoce también como tumor mixto de tipo glándula salival, describiendo su característica pleomórfica en vez de su origen, que es tanto epitelial como mioepitelial.[1]
Adenoma pleomórfico | ||
---|---|---|
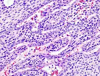
![]() Adenoma pleomórfico con epitelio mixto (izq) y componentes celulares mesenquimatosos (der). Estos últimos exhiben apariencia mixofibroso y cierta diferenciación condromatosa. | ||
Especialidad | oncología | |
![]() | ||
Epidemiología
De acuerdo a la clasificación de la Organización Mundial de la Salud, publicada en 1991, existen más de 30 variedades histológicos de neoplasias de la glándula parótida.[2] El adenoma pleomórfico de la glándula parótida es el tipo de tumor salival benigno más común, cerca de un 80% de todos los casos de tumores salivales. Tiende a ser más frecuente en personas de raza blanca que en otras razas, las mujeres son afectadas predominantemente sobre los hombres en una proporción cercana al 3:2 y ocurren típicamente entre la cuarta y sexta década de vida—edad promedio de los pacientes es aproximadamente 43 años—siendo muy raro encontrar estos tumores en niños.[3]
Cuadro clínico
El adenoma pleomórfico es un tumor usualmente solitario y se presenta como una masa nodular firme, de crecimiento lento y sin dolor, 85% de las veces de una de las glándulas parótidas y el resto en las glándulas submandibulares y sublinguales. Los nódulos aislados usualmente son crecimientos de un solo nódulo, en vez de tener una presentación multinodular y rara vez se presentan como tumores en ambas parótidas a la vez.[4] Por lo general son móviles a menos que se encuentren en el paladar y pueden causar atrofia de la mandíbula cuando se ubican en la glándula parótida. Si se encuentran en la cola de la parótida, puede presentarse una eversión del lóbulo de la oreja. Aunque clasificados como tumores benignos, los adenomas pleomórficos tienen la capacidad de crecer a proporciones muy grandes y tienen la capacidad de eventualmente transformarse en un carcinoma maligno, un riesgo que incrementa con el paso del tiempo. Puede también tener recurrencias después de ser removido, puede invadir tejido normal adyacente y de causar metástasis hacia otros tejidos distantes, en especial al transcurrir intervalos de tiempo mayores de 10 años.
Histología
_parotid_gland.jpg.webp)
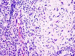
Bajo el microscopio, tienen una apariencia altamente variable, incluso dentro de un mismo tumor. Clásicamente, es un tumor bifásico y se caracteriza por tener una mezcla de epitelio poligonal y elementos mioepiteliales de forma de huso en un trasfondo de estroma muy variable que puede ser mucoide, mixoide, cartilaginoso o hialino.[1] Los elementos epiteliales pueden acomodarse en forma de estructuras ductales, o bien en forma laminar, agrupados o en filamentos que se entrelazan. Las células que conforman el epitelio son de dos tipos, luminales (epiteliales) y no-luminales (mesenquimatosos) y pueden también ser poligonales, laminares o estrellados (por ello el término pleomórficos). Puede haber presentes áreas de metaplasia escamosa y perlas epiteliales.
El tumor no está envuelto, pero está por lo general rodeado de una seudo-cápsula de grosor variable. El tumor se extiende en sus dimensiones a velocidades variables, entrando en el parénquima glandular normal, formando un frente de forma de dedo, aunque ésta variación no implica una transformación maligna.
A menudo, las células del tumor evidencian un translocación característica entre los cromosomas #3 y #8. Esto causa que el gen PLAG esté yuxtapuesto sobre el gen β-catenina. Ello activa el paso de la catenina, lo que conlleva a una división celular inadecuada.
Tratamiento
Se recomienda que el diagnóstico sea confirmado por medio de una biopsia. El tratamiento se logra por escisión quirúrgica extensa con un amplio margen de tejido sano para disminuir la posibilidad de recidiva local del trastorno.[5] Resecciones de este tipo vienen acompañadas con raras recurrencias, las cuales ocurren cuando el tumor es tratado muy conservadoramente, es decir, la enucleación de la porción principal de la masa tumoral deja focos microscópicos de células tumorales en el área circundante que vuelven a crecer en la forma de un tumor recurrente o en un carcinoma.
Estas son operaciones con una gran lista de secuelas, incluyendo daños nerviosos, el síndrome de Frey,[5] problemas cosméticos, etc.
Véase también
Referencias
- BENTO, Patrícia Meira, FREITAS, Roseana de Almeida, PINTO, Leão Pereira et al. Tenascina e fibronectina em adenoma pleomórfico de glândula salivar. J. Appl. Oral Sci. [online]. 2006, vol. 14, no. 32008-02-09], pp. 198-202. . ISSN 1678-7757. doi: 10.1590/S1678-77572006000300010
- Seifert G, Sobin L. Histological typing of salivary gland tumors. World Health Organization. International histological classification of tumors, 2nd ed., Berlin: Springer-Verlag; 1991.
- Andrew L Wagner, Jason Haag. (abril de 2007) Parotid, Pleomorphic Adenoma (en inglés). eMedicine.com - Último acceso: 9 de febrero de 2008.
- TIAGO, Romualdo Suzano Louzeiro, CASTRO, Gilson Araújo, RICARDO, Luiz Artur da Costa et al. Parotid pleomorphic adenoma: clinical, diagnostic and therapeutical aspects. Rev. Bras. Otorrinolaringol. [online]. 2003, vol. 69, no. 4 [citado 9 de febrero de 2008], pp. 485-489. Disponible de: . ISSN 0034-7299. doi: 10.1590/S0034-72992003000400008
- SANTOS, Regiane Cristina, CHAGAS, Jose Francisco de Salles, BEZERRA, Thiago Freire Pinto et al. Frey syndrome prevalence after partial parotidectomy. Rev. Bras. Otorrinolaringol. [online]. 2006, vol. 72, no. 1 [cited 2008-02-09], pp. 112-115. Disponible de la World Wide Web: . ISSN 0034-7299. doi: 10.1590/S0034-72992006000100017