Órgano neurohemático

Los órganos circunventriculares (CVO por sus siglas en inglés) u órganos neurohemáticos[2] son estructuras pequeñas de ciertas áreas de las paredes de los ventrículos cerebrales, formados por neuronas que monitorean moléculas en sangre a través de capilares fenestrados y desencadenan respuestas neuro-hormonales para mantener la homeostasis.
Los órganos neurohemáticos perciben estímulos químicos en forma de concentraciones, monitorean los cambios en la composición osmótica, iónica y hormonal.[3]

Ubicación de los NHO/CVO en el cerebro humano.Imagen sagital de RMN. En rojo los CVO sensoriales; en azul los secretores. * NH: neurohipófisis * AP: área postrema. * ME:Eminencia media. * PG:Glándula pineal * SFO:Órgano subfortcial. *OVLT:Órgano vasculoso de la lamina terminalis.[1]

Estructura

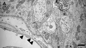
[[File:CVO Estruct.jpg|400px|alt={{{Alt|MVs= microvaso. Procesos celulares de las NSC (flechas sólidas). Asteriscos: dendritas similares a astrocitos/tanicitos. Microscopio electrónico]]
MVs= microvaso. Procesos celulares de las NSC (flechas sólidas). Asteriscos: dendritas similares a astrocitos/tanicitos. Microscopio electrónico

Los órganos neurohemáticos circunventriculares (CVO por sus siglas en inglés), son de tamaño pequeño; están compuestos por capilares fenestrados, espacios perivasculares relativamente grandes y células ependimarias especializadas.
Algunos órganos neurohemáticos (NHO) son áreas especializadas, en las cuales las neuronas que las integran, secretan neuropéptidos que entran en la circulación. Otros órganos NH contienen neuronas receptoras de sustancias, y funcionan como zonas quimiorreceptoras que pueden desencadenar cambios en la función cerebral.[4]

Capilares fenestrados

Capilar fenestrado (puntas de flecha). Eminencia Media: NHO/CVO secretor.

Los NHO presentan capilares fenestrados con poros en su endotelio, de 30-80 nanómetros (nm) de diámetro. Estas fenestraciones se encuentran cubiertas por prolongaciones de las células perivasculares pericitos/tanicitos en los órganos NH sensoriales.[5]

Espacio perivascular

Los espacios perivasculares son relativamente grandes, se disponen entre las membranas basales; la externa, la más cercana al parénquima y la interna en estrecho contacto con el endotelio. El espacio contiene pericitos, fibroblastoss y microglías.[6]

Tanicitos

Espacio perivascular (en rosa). Tanicitos en verde. Neuronas en amarillo. Órgano neurohemático secretor (NHOsc/CVO-sc).

Los órganos NHO contienen tanicitos células ependimarias que poseen procesos apicales y distales. Los procesos apicales se extienden hacia el ventrículo cerebral, en tanto los distales contactan con los capilares fenestrados. Así controlan la composición del líquido cefalorraquídeo (LCR) y controlan el intercambio de sustancias entre el plasma sanguíneo y el LCR.[7]
Los tanicitos envían extensiones largas al parénquima para contactar con las neuronas.[8]
Los tanicitos forman uniones adherentes y estrechas, tanto entre los tanicitos, como entre los tanicitos y los axones neurosecretores en los órganos NH secretores (NHO-sc).[5]

Tipos de CVO

Esquema de ubicación de los NHO-CVO en el humano.

En 2021 se listaban como órganos neurohemáticos circunventriculares (NHO/CVO) a los siguientes: órgano vasculoso de la lámina terminal (OVLT), órgano subfornical (SFO), neurohipófisis (NHip), eminencia media (ME), órgano subcomisural (SCO), glándula pineal (PG), área postrema (AP). A estos se suma el Plexo coroideo (CP) que presenta caracteres similares.[9]

Los HMO/CVO se pueden dividir según su función en: CVO sensoriales y CVO secretores. Se han identificado tres CVO sensoriales y cuatro CVO secretores.[10][11]

CVO sensoriales

Capilares fenestrados cubiertos por prolongaciones de células madre NSC similares a astrocitos/tanicitos y dendritas, además de un amplio espacio perivascular. OVLT un órgano CVOsn.

Los órganos neurohemáticos circunventriculares sensoriales (HMO-sn/CVO-sn) incluyen el órgano subfornical (SFO), el órgano vasculoso de la lámina terminal (OVLT) y el área postrema (AP).

La microscopía electrónica ha demostrado que los CVO-Sn, presentan poros en el endotelio de 30 a 80 nanómetros (nm) de diámetro. Estas fenestraciones se encuentran cubiertas por prolongaciones de las células perivasculares similares a pericitos/tanicitos.[5]

Las neuronas presentes dentro de los órganos CVO, responden a las concentraciones de determinadas moléculas presentes en la sangre, porque estas zonas del tercer ventrículo y cuarto ventrículo no presentan la barrera hematoencefálica (BHE) habitual. Los CVO detectan los niveles plasmáticos de sodio (Na+) y la presión osmótica. Se ha demostrado que las neuronas responden a aumentos en los niveles de angiotensina II y Na+ en el plasma y el líquido cefalorraquídeo (LCR). Los CVO también detectan hormonas circulantes como la colecistoquinina, la amilina y la grelina.[5]

Cada uno de los CVO-Sn establece redes neuronales con el hipotálamo de forma directa o indirecta. La señalización en los CVO sensoriales modula amplios parámetros del metabolismo a través del control hipotalámico.[12]

CVO secretores

Los órganos neurohemáticos circunventriculares secretores (NHO-sc/CVO-sc) son las denominadas regiones de neurosecreción:

Función

Las señales generadas por la acción de las hormonas circulantes sobre las neuronas de los NHO-sn/CVO-sn, se transmiten a varios sitios en la corteza cerebral para estimular o inhibir la sed o el hambre.

El órgano subfornical (SFO) y el órgano vasculoso de la lámina terminal (OVLT) responden a la angiotensina II, la relaxina y la hipertonicidad circulante para impulsar las vías neurales relacionadas con la sed.
La amilina, la leptina y posiblemente el péptido similar al glucagón tipo 1 actúan en el área postrema (AP) para influir en las vías neurales que inhiben la ingesta de alimentos.[14][15]

Patología

Los órganos NHO/CVO desempeñan un papel en la inflamación, ya que pueden ser puntos de entrada para las células inflamatorias (linfocitos) y están involucrados en la secreción de citocinas.[7]

Debido a la ausencia de una BHE, los CVO y el plexo coroide, pueden infectarse con patógenos que circulan en el torrente sanguíneo, permitiendo la penetración en el cerebro.[16]

Véase también

Referencias

  1. Verheggen, Inge C. M.; de Jong, Joost J. A.; van Boxtel, Martin P. J.; Postma, Alida A.; Verhey, Frans R. J.; Jansen, Jacobus F. A.; Backes, Walter H. (28 de octubre de 2020). «Permeability of the windows of the brain: feasibility of dynamic contrast-enhanced MRI of the circumventricular organs». Fluids and Barriers of the CNS 17 (1): 66. ISSN 2045-8118. PMC 7594295. PMID 33115484. doi:10.1186/s12987-020-00228-x. Consultado el 18 de marzo de 2022.
  2. OMS,OPS (ed.). «Órganos neurohemáticos». Descriptores en Ciencias de la Salud, Biblioteca Virtual en Salud.
  3. Sisó S.; Jeffrey M.; González L. (2010). «Sensory circumventricular organs in health and Disease». Acta Neuropathol (Artículo de revisión) (en inglés) (Research Gate) 120 (6): 689-705. Consultado el 13 de marzo de 2022.
  4. García Hernández-Abad L.; Ruiz-Mayor M.L. (2017). «Comportamiento de los órganos circunventriculares en la hipertensión sistémica.». Majorensis (Artículo de revisión) 13: 69-79. Consultado el 15 de marzo de 2022.
  5. Miyata S. (2015). «New aspects in fenestrated capillary and tissue dynamics in the sensory circumventricular organs of adult brains». Frontiers in Neuroscience (Artículo de revisión). Neuroendocrine Science (en inglés) 9: 390. Consultado el 13 de marzo de 2022.
  6. Morita S.; Miyata S. (2012). «Different vascular permeability between the sensory and secretory circumventricular organs of adult mouse brain.». Cell and Tissue Research 349: 589-603. Consultado el 17 de marzo de 2022.
  7. Verheggen I.CM.; de Jong J.JA; van Boxtel M.PJ; Postma A.A.; Verhey F.RJ; Jansenv J.FA; Backes W.H. (2020). Permeability of the windows of the brain: feasibility of dynamic contrast-enhanced MRI of the circumventricular organs (en inglés) 17 (66). BMC. Consultado el 15 de marzo de 2022.
  8. Prevot V.; Dehouck B.; Sharif A.; Ciofi P.; Giacobini P.; Clasadonte J. (2018). «The Versatile Tanycyte: A Hypothalamic Integrator of Reproduction and Energy Metabolism.». Endocrine Reviews (Review) (en inglés) (Europe PMC) 39 (3): 333-368. PMID 29351662. doi:10.1210/er.2017-00235. Consultado el 16 de marzo de 2022.
  9. Susan Standring (2021). «25: Meninges and ventricular system». Gray's Anatomy (en inglés). ScienceDirect Topics.
  10. Rudolf Nieuwenhuys; Voodgd; van Huijzen (2009). «4: Irrigación meninges y circulación del líquido cefalorraquídeo». El sistema Nervioso Central Humano 1 (4a. edición). Médica Panamericana. pp. 98-99. Consultado el 14 de marzo de 2022.
  11. Kim E. Barrett; Susan M. Barman; Scott Boitano; Heddwen L. Brooks (2013). «33: Circulación por regiones especiales». Ganong. Fisiología médica (24a. edición).
  12. Jeong J.K.; Dow S.A.; Young C.N. (2021). «Sensory Circumventricular Organs, Neuroendocrine Control, and Metabolic Regulation». Metabolites (Artículo de revisión) (en inglés) 11 (8): 494. Consultado el 13 de marzo de 2022.
  13. Kiecker C. (2018). «The origins of the circumventricular organs». J Anat 232 (4): 540-553. PMID 29280147. doi:10.1111/joa.12771. Consultado el 14 de marzo de 2022.
  14. McKinley M.J.; Denton D.A.; Ryan P.J.; Yao S.T.; Stefanidis A.; Oldfield B.J. (2019). «From sensory circumventricular organs to cerebral cortex: Neural pathways controlling thirst and hunger». J Neuroendocrinol (Artículo de revisión) (en inglés) (Epub) 31 (3): e12689. doi:10.1111/jne.12689. Consultado el 13 de marzo de 2022.
  15. Ronald M. Lechan (2020). «cap.7: Neuroendocrinology». En Shlomo Melmed, ed. Williams Textbook of Endocrinology (en inglés). Consultado el 16 de marzo de 2022.
  16. Bentivoglio M.; Kristensson K.; Rottenberg M.E. (2018). «Circumventricular Organs and Parasite Neurotropism: Neglected Gates to the Brain?». Front. Immunol. Consultado el 17 de marzo de 2022.

Enlaces externos

Este artículo ha sido escrito por Wikipedia. El texto está disponible bajo la licencia Creative Commons - Atribución - CompartirIgual. Pueden aplicarse cláusulas adicionales a los archivos multimedia.